Wu Gang, Liu Xuanlin, Xiong Yan, Ran Jun, Li Xiaoming
Department of Radiology, Tongji Hospital, Tongji Medical College, Huazhong University of Science and Technology, Wuhan, China.
Medicine (Baltimore). 2018 Dec;97(50):e13641. doi: 10.1097/MD.0000000000013641.
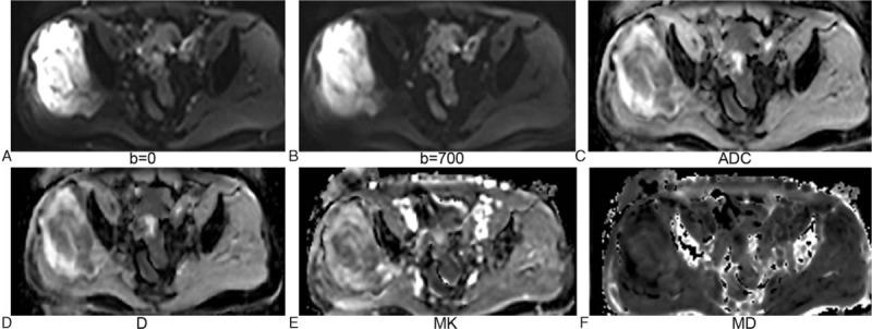
To investigate the feasibility of intravoxel incoherent motion (IVIM) diffusion-weighted imaging (DWI) and diffusion kurtosis imaging (DKI) in discriminating soft tissue sarcoma from vascular anomalies.Twenty-two patients with lower extremity soft tissue sarcoma and 15 patients with lower extremity vascular anomalies underwent IVIM-DWI and DKI. IVIM model generated true diffusion (D), perfusion fraction (f), and pseudo-diffusion coefficient (D). DKI model generated mean kurtosis (MK) and mean diffusion (MD). These parameters were measured by 2 radiologists separately through drawing region of interest. Intraclass correlation coefficient (ICC) was calculated to evaluate the inter-reader viability in measurement. The Mann-Whitney test was used to compare the parameters between vascular anomalies and soft tissue sarcoma. Receiver operating characteristic curves were constructed for assessing diagnostic accuracies.ICC was more than 0.8 for apparent diffusion coefficient (ADC), D, D, f, MK, and MD. Mean ADC, D, and MD were significantly lower in soft tissue sarcoma versus vascular anomalies (P < .05). Mean D and f were not significantly different (P > .05). Soft tissue sarcoma had significantly higher MK than vascular anomalies (P < .05). Areas under curve for ADC, D, MK, and MD were 0.876, 0.885, 0.894, and 0.812, respectively.IVIM and DKI are feasible in discriminating soft tissue sarcoma from vascular anomalies.
探讨体素内不相干运动(IVIM)扩散加权成像(DWI)和扩散峰度成像(DKI)鉴别软组织肉瘤与血管畸形的可行性。22例下肢软组织肉瘤患者和15例下肢血管畸形患者接受了IVIM-DWI和DKI检查。IVIM模型生成真扩散系数(D)、灌注分数(f)和伪扩散系数(D*)。DKI模型生成平均峰度(MK)和平均扩散系数(MD)。这些参数由2名放射科医生分别通过绘制感兴趣区域进行测量。计算组内相关系数(ICC)以评估测量中阅片者间的一致性。采用曼-惠特尼检验比较血管畸形与软组织肉瘤之间的参数。构建受试者工作特征曲线以评估诊断准确性。表观扩散系数(ADC)、D、D*、f、MK和MD的ICC均大于0.8。软组织肉瘤的平均ADC、D和MD显著低于血管畸形(P<0.05)。平均D*和f无显著差异(P>0.05)。软组织肉瘤的MK显著高于血管畸形(P<0.05)。ADC、D、MK和MD的曲线下面积分别为0.876、0.885、0.894和0.812。IVIM和DKI在鉴别软组织肉瘤与血管畸形方面是可行的。