Suppr超能文献

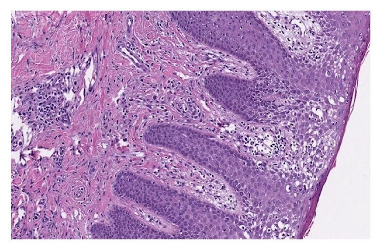
蕈样肉芽肿累及舌背。

Mycosis Fungoides Involving the Dorsal Tongue.

作者信息

Brown Ashley E, Schmidtberger Lindsey, Kroger Kathleeen, Jahan-Tigh Richard R, Pinney Sarah S

机构信息

McGovern Medical School, University of Texas Health Science Center at Houston, Houston, TX, USA.

Department of Dermatology, University of Texas McGovern Medical School at Houston, Houston, TX, USA.

出版信息

Case Rep Dermatol Med. 2018 Nov 19;2018:5235246. doi: 10.1155/2018/5235246. eCollection 2018.

Abstract

Mycosis fungoides (MF) is a rare cutaneous T-cell lymphoma (CTCL) which can cause significant morbidity. During the disease course, it classically will progress through three clinical stages in the skin: patch-, plaque-, and tumor-stage. The early stages exhibit various histopathological mimics that often lead to misdiagnosis. It rarely affects the oral cavity. Oral MF is historically associated with poor prognosis. We present a rare case of MF afflicting the dorsal tongue and extremities of a 72-year-old male.

摘要

蕈样肉芽肿(MF)是一种罕见的皮肤T细胞淋巴瘤(CTCL),可导致严重的发病情况。在疾病过程中,它通常会在皮肤中经历三个临床阶段:斑片期、斑块期和肿瘤期。早期阶段表现出各种组织病理学上的相似情况,常常导致误诊。它很少累及口腔。从历史上看,口腔MF的预后较差。我们报告了一例罕见的蕈样肉芽肿病例,该病例累及一名72岁男性的舌背和四肢。

https://cdn.ncbi.nlm.nih.gov/pmc/blobs/3b9d/6276500/feb03332ca19/CRIDM2018-5235246.001.jpg

文献AI研究员

20分钟写一篇综述,助力文献阅读效率提升50倍。

立即体验

用中文搜PubMed

大模型驱动的PubMed中文搜索引擎

马上搜索

文档翻译

学术文献翻译模型,支持多种主流文档格式。

立即体验