Suppr超能文献

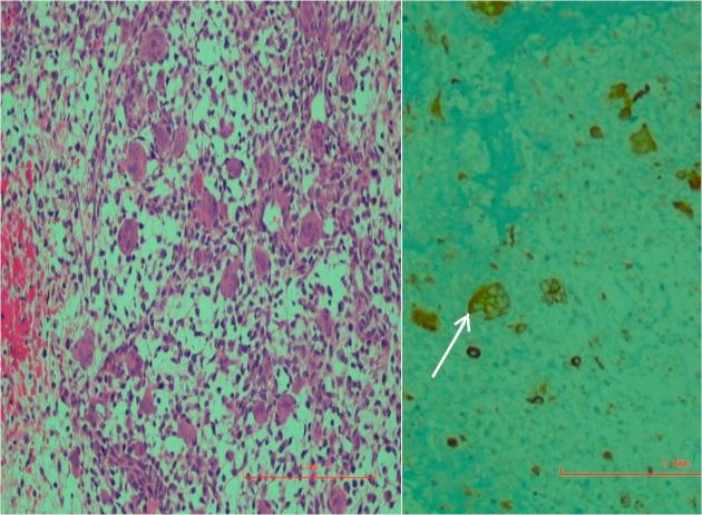
Osteoclast-type giant cell carcinoma of the urinary bladder: An unusual and aggressive variant of urothelial carcinoma.

作者信息

Osman Can, Muammer Bozkurt, Murat Ozer, Tamer Aydin, Fatih Altunrende

机构信息

Department of Urology, University of Health Sciences, Okmeydani Training and Research Hospital, Istanbul, Turkey.

Department of Pathology, University of Health Sciences, Okmeydani Training and Research Hospital, Istanbul, Turkey.

出版信息

Urol Case Rep. 2018 Dec 17;23:50-51. doi: 10.1016/j.eucr.2018.12.007. eCollection 2019 Mar.

Abstract
摘要
https://cdn.ncbi.nlm.nih.gov/pmc/blobs/29d1/6302127/b73a91eb747b/egi10R5LZDNN19.jpg

文献AI研究员

20分钟写一篇综述,助力文献阅读效率提升50倍。

立即体验

用中文搜PubMed

大模型驱动的PubMed中文搜索引擎

马上搜索

文档翻译

学术文献翻译模型,支持多种主流文档格式。

立即体验