Suppr超能文献

具抗肿瘤活性的库尼兹型蛋白酶抑制剂安布罗明-X的临床前评估

Preclinical evaluation of Amblyomin-X, a Kunitz-type protease inhibitor with antitumor activity.

作者信息

Maria Durvanei A, Will Sonia Elisabete A L, Bosch Rosemary V, Souza Jean G, Sciani Juliana M, Goldfeder Mauricio B, Rondon Giuliana G, Chudzinski-Tavassi Ana M

机构信息

Laboratório de Biologia Molecular, Instituto Butantan, Av. Vital Brasil, 1500, São Paulo, 05503-900, SP, Brazil.

出版信息

Toxicol Rep. 2018 Dec 1;6:51-63. doi: 10.1016/j.toxrep.2018.11.014. eCollection 2019.

Abstract

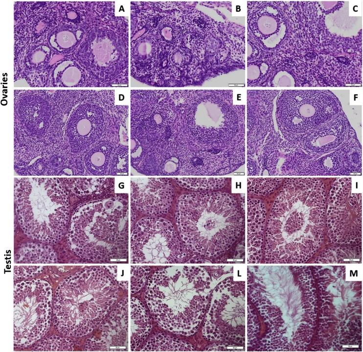
Amblyomin-X, a Kunitz-type protease inhibitor, is a recombinant protein that selectively induces apoptosis in tumor cells and promotes tumor reduction in melanoma animal models. Furthermore, Amblyomin-X was able to drastically reduce lung metastasis in a mice orthotopic kidney tumor model. Due to its antitumor activity, Amblyomin-X potential to become a new drug is currently under investigation, therefore the aim of the present study was to perform preclinical assays to evaluate Amblyomin-X toxicity in healthy mice. Exploratory toxicity assays have shown that treatment with 512 mg/kg of Amblyomin-X lead to animal mortality, therefore two groups of treatment were evaluated in the present work: in the acute toxicity assay, animals were injected once with doses ranging from 4 to 256 mg/kg of Amblyomin-X, while in the subacute toxicity assay, animals were injected with 0.25, 0.57 and 1 mg/kg of Amblyomin-X daily, during 28 days. Following this treatment regimens, Amblyomin-X did not cause any mortality; moreover, toxicity signs were discrete, reversible and observed only at the higher doses, thus establishing a safety profile for administration in mice, which can be further used to determine the dose translation of this novel drug candidate for treatment in other species.

摘要

Amblyomin-X是一种库尼茨型蛋白酶抑制剂,是一种重组蛋白,可在黑色素瘤动物模型中选择性诱导肿瘤细胞凋亡并促进肿瘤缩小。此外,在小鼠原位肾肿瘤模型中,Amblyomin-X能够显著减少肺转移。鉴于其抗肿瘤活性,目前正在研究Amblyomin-X成为新药的潜力,因此本研究的目的是进行临床前试验,以评估Amblyomin-X对健康小鼠的毒性。探索性毒性试验表明,用512mg/kg的Amblyomin-X治疗会导致动物死亡,因此在本研究中评估了两组治疗:在急性毒性试验中,给动物单次注射4至256mg/kg的Amblyomin-X,而在亚急性毒性试验中,给动物每天注射0.25、0.57和1mg/kg的Amblyomin-X,持续28天。按照这些治疗方案,Amblyomin-X未导致任何死亡;此外,毒性迹象不明显、可逆,且仅在高剂量时观察到,从而确立了在小鼠中给药的安全性概况,可进一步用于确定这种新型候选药物在其他物种中的剂量转换。

https://cdn.ncbi.nlm.nih.gov/pmc/blobs/78e8/6298944/39a62373cd9c/ga1.jpg

文献AI研究员

20分钟写一篇综述,助力文献阅读效率提升50倍。

立即体验

用中文搜PubMed

大模型驱动的PubMed中文搜索引擎

马上搜索

文档翻译

学术文献翻译模型,支持多种主流文档格式。

立即体验