The Institute for Medical Biochemistry and Molecular Biology, University Medicine, University of Greifswald, Germany.
Competence Center Functional Genomics, Junior Research Group Pathoproteomics, University of Greifswald, Germany.
Oxid Med Cell Longev. 2018 Nov 21;2018:4829872. doi: 10.1155/2018/4829872. eCollection 2018.
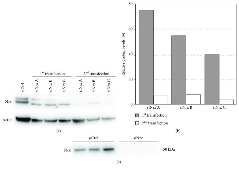
Nucleoredoxin (Nrx) is an oxidoreductase of the thioredoxin family of proteins. It was shown to act as a signal transducer in some pathways; however, so far, no comprehensive analysis of its regulated substrates and functions was available. Here, we used a combination of two different strategies to fill this gap. First, we analyzed the thiol-redox state of the proteome of SH-SY5Y neuroblastoma cells depleted of Nrx compared to control cells using a differential thiol-labeling technique and quantitative mass spectrometry. 171 proteins were identified with an altered redox state; 161 of these were more reduced in the absence of Nrx. This suggests functions of Nrx in the oxidation of protein thiols. Second, we utilized the active site mutant Cys208Ser of Nrx, which stabilizes a mixed disulfide intermediate with its substrates and therefore trapped interacting proteins from the mouse brain (identifying 1710 proteins) and neuronal cell culture extracts (identifying 609 proteins). Profiling of the affected biological processes and molecular functions in cells of neuronal origin suggests numerous functions of Nrx in the redox regulation of metabolic pathways, cellular morphology, and signal transduction. These results characterize Nrx as a cellular oxidase that itself may be oxidized by the formation of disulfide relays with peroxiredoxins.
核还原酶(Nrx)是一种硫氧还蛋白家族的氧化还原酶。它被证明在某些途径中作为信号转导物发挥作用;然而,到目前为止,还没有对其受调控的底物和功能进行全面分析。在这里,我们使用了两种不同策略的组合来填补这一空白。首先,我们使用差异硫醇标记技术和定量质谱法分析了与对照细胞相比,Nrx 耗尽的 SH-SY5Y 神经母细胞瘤细胞的蛋白质组的硫醇氧化还原状态。鉴定出 171 种具有改变的氧化还原状态的蛋白质;其中 161 种在没有 Nrx 的情况下还原程度更高。这表明 Nrx 在蛋白质巯基氧化中发挥作用。其次,我们利用 Nrx 的活性位点突变体 Cys208Ser,它与底物稳定形成混合二硫键中间体,从而从小鼠脑(鉴定出 1710 种蛋白质)和神经元细胞培养物提取物(鉴定出 609 种蛋白质)中捕获相互作用的蛋白质。对源于神经元的细胞中受影响的生物过程和分子功能进行分析表明,Nrx 在代谢途径、细胞形态和信号转导的氧化还原调节中具有多种功能。这些结果将 Nrx 表征为一种细胞氧化酶,它本身可能通过与过氧化物酶形成二硫键中继而被氧化。