Suppr超能文献

晚期艾滋病患者多种机会性感染的诊断:当奥卡姆剃刀原则不适用时。

The diagnosis of multiple opportunistic infections in advanced stage AIDS: when Ockham's Razor doesn't cut it.

作者信息

Pinheiro Marcos Vinicius Cardoso, Ho Yeh-Li, Nicodemo Antonio Carlos, Duarte-Neto Amaro Nunes

机构信息

Universidade de São Paulo, Faculty of Medicine, Department of Anatomic Pathology . São Paulo, SP , Brazil .

Universidade de São Paulo, Faculty of Medicine, Hospital das Clínicas, Infectious and Parasitic Diseases Department . São Paulo, SP , Brazil .

出版信息

Autops Case Rep. 2018 Jun 20;8(2):e2018028. doi: 10.4322/acr.2018.028. eCollection 2018 Apr-Jun.

Abstract

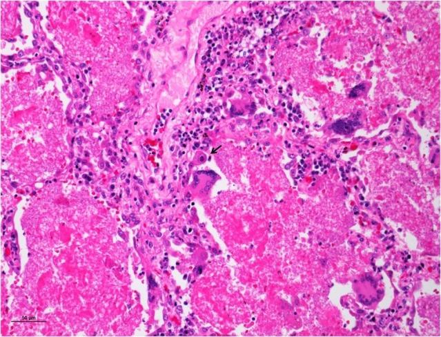
In the advanced stage of AIDS, the diagnosis of the opportunistic infections may be challenging due to the high risk of performing invasive diagnostic methods in a patient with a critical clinical condition, as well as the correct interpretation of the results of microbiological exams. One of the challenges for the diagnosis and treatment of the opportunistic infections is that they may occur concomitantly in the same patient and they may mimic each other, leading to a high discrepancy between clinical and autopsy diagnoses. We describe the case of a 52-year-old man who was hospitalized because of weight loss, anemia, cough, and hepatosplenomegaly. During the investigation, the diagnosis of AIDS was made, and the patient developed respiratory failure and died on the fourth day of hospitalization. At autopsy, disseminated non-tuberculosis mycobacteriosis was found, affecting mainly the organs of the reticuloendothelial system. Also, severe and diffuse pneumonia caused by multiple agents ( , , suppurative bacterial infection, non-tuberculosis mycobacteria, and cytomegalovirus) was seen in a morphological pattern that could be called "collision pneumonia." The lesson from this case, revealed by the autopsy, is that in advanced AIDS, patients often have multiple opportunistic infections, so the principle of Ockham's razor-that a single diagnosis is most likely the best diagnosis-fails in this clinical context.

摘要

在艾滋病晚期,由于对处于危急临床状况的患者进行侵入性诊断方法存在高风险,以及对微生物学检查结果的正确解读,机会性感染的诊断可能具有挑战性。机会性感染的诊断和治疗面临的挑战之一是,它们可能在同一患者中同时发生,并且可能相互模仿,导致临床诊断与尸检诊断之间存在很大差异。我们描述了一名52岁男性因体重减轻、贫血、咳嗽和肝脾肿大而住院的病例。在调查过程中,确诊为艾滋病,患者出现呼吸衰竭并在住院第四天死亡。尸检发现播散性非结核分枝杆菌病,主要影响网状内皮系统的器官。此外,还发现由多种病原体( 、 、化脓性细菌感染、非结核分枝杆菌和巨细胞病毒)引起的严重弥漫性肺炎,其形态学模式可称为“碰撞性肺炎”。尸检揭示的这个病例的教训是,在晚期艾滋病患者中,常常存在多种机会性感染,因此在这种临床情况下,奥卡姆剃刀原则(即单一诊断最有可能是最佳诊断)并不适用。

https://cdn.ncbi.nlm.nih.gov/pmc/blobs/129c/6287276/d0347fd852c7/autopsy-08-02e2018028-g01.jpg

相似文献

1
The diagnosis of multiple opportunistic infections in advanced stage AIDS: when Ockham's Razor doesn't cut it.
Autops Case Rep. 2018 Jun 20;8(2):e2018028. doi: 10.4322/acr.2018.028. eCollection 2018 Apr-Jun.
2
Multiple opportunistic fungal infections in an individual with severe HIV disease: A case report.
Rev Iberoam Micol. 2016 Apr-Jun;33(2):118-21. doi: 10.1016/j.riam.2015.09.001. Epub 2016 Feb 17.
3
Ockham's razor is not so sharp.
Infect Dis Rep. 2010 Aug 23;2(2):e10. doi: 10.4081/idr.2010.e10. eCollection 2010 Aug 4.
6
Opportunistic infection complicating acquired immune deficiency syndrome. Clinical features of 25 cases.
Medicine (Baltimore). 1984 May;63(3):155-64. doi: 10.1097/00005792-198405000-00002.
9
A rare case of an HIV-seronegative AIDS patient with Pneumocystis jirovecii pneumonia.
BMC Infect Dis. 2019 Jun 14;19(1):525. doi: 10.1186/s12879-019-4143-8.

引用本文的文献

1
Opportunist Coinfections by Nontuberculous Mycobacteria and Fungi in Immunocompromised Patients.
Antibiotics (Basel). 2020 Nov 2;9(11):771. doi: 10.3390/antibiotics9110771.
2
and co-infection in an immunocompromised patient: Case report and literature review.
Med Mycol Case Rep. 2020 Apr 6;28:29-32. doi: 10.1016/j.mmcr.2020.04.001. eCollection 2020 Jun.

本文引用的文献

1
Point of Care Testing for the Diagnosis of Fungal Infections: Are We There Yet?
Curr Fungal Infect Rep. 2016;10:43-50. doi: 10.1007/s12281-016-0254-5. Epub 2016 Apr 7.
3
Microbiological features and clinical relevance of new species of the genus Mycobacterium.
Clin Microbiol Rev. 2014 Oct;27(4):727-52. doi: 10.1128/CMR.00035-14.
5
Updated international consensus guidelines on the management of cytomegalovirus in solid-organ transplantation.
Transplantation. 2013 Aug 27;96(4):333-60. doi: 10.1097/TP.0b013e31829df29d.
6
Pneumocystis pneumonia associated with human immunodeficiency virus.
Clin Chest Med. 2013 Jun;34(2):229-41. doi: 10.1016/j.ccm.2013.02.001. Epub 2013 Apr 8.
7
Late entry into HIV care: lessons from Brazil, 2003 to 2006.
BMC Infect Dis. 2012 Apr 24;12:99. doi: 10.1186/1471-2334-12-99.
8
9
Post-mortem histological pulmonary analysis in patients with HIV/AIDS.
Clinics (Sao Paulo). 2008 Aug;63(4):497-502. doi: 10.1590/s1807-59322008000400014.
10
Ockham's razor: sharpen or re-sheathe?
J R Soc Med. 2008 Feb;101(2):50-1. doi: 10.1258/jrsm.2007.070416.

文献AI研究员

20分钟写一篇综述,助力文献阅读效率提升50倍。

立即体验

用中文搜PubMed

大模型驱动的PubMed中文搜索引擎

马上搜索

文档翻译

学术文献翻译模型,支持多种主流文档格式。

立即体验