• 文献检索
  • 文档翻译
  • 深度研究
  • 学术资讯
  • Suppr Zotero 插件Zotero 插件
  • 邀请有礼
  • 套餐&价格
  • 历史记录
应用&插件
Suppr Zotero 插件Zotero 插件浏览器插件Mac 客户端Windows 客户端微信小程序
定价
高级版会员购买积分包购买API积分包
服务
文献检索文档翻译深度研究API 文档MCP 服务
关于我们
关于 Suppr公司介绍联系我们用户协议隐私条款
关注我们

Suppr 超能文献

核心技术专利:CN118964589B侵权必究
粤ICP备2023148730 号-1Suppr @ 2026

文献检索

告别复杂PubMed语法,用中文像聊天一样搜索,搜遍4000万医学文献。AI智能推荐,让科研检索更轻松。

立即免费搜索

文件翻译

保留排版,准确专业,支持PDF/Word/PPT等文件格式,支持 12+语言互译。

免费翻译文档

深度研究

AI帮你快速写综述,25分钟生成高质量综述,智能提取关键信息,辅助科研写作。

立即免费体验

奥卡姆剃刀并不那么锋利。

Ockham's razor is not so sharp.

作者信息

Lewis Mark A, Agusala Kartik, Raizen Yuval

机构信息

Department of Internal Medicine, Baylor College of Medicine, Houston, Texas, USA.

出版信息

Infect Dis Rep. 2010 Aug 23;2(2):e10. doi: 10.4081/idr.2010.e10. eCollection 2010 Aug 4.

DOI:10.4081/idr.2010.e10
PMID:24470890
原文链接:https://pmc.ncbi.nlm.nih.gov/articles/PMC3892585/
Abstract

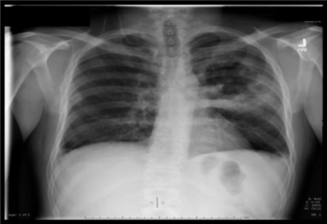
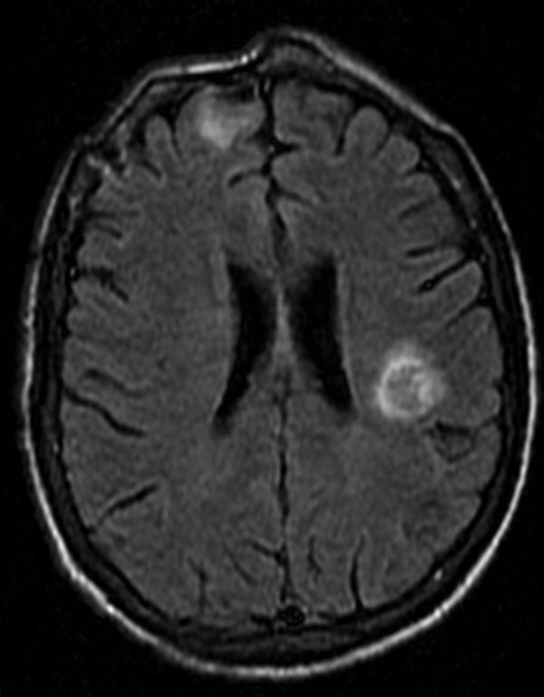
A 39-year-old male with newly diagnosed HIV had cavitary pneumonia initially attributed to Pneumocystis jirovecii but actually caused by Rhodococcus equi. After neurological deterioration, he was found to have intracerebral lesions caused by Toxoplasma gondii. This case underscores the inability to rely on the search for a unifying diagnosis (Ockham's Razor) in HIV-infected patients.

摘要

一名新诊断出感染艾滋病毒的39岁男性起初患有空洞性肺炎,最初认为是由耶氏肺孢子菌引起,但实际上是由马红球菌引起。在出现神经功能恶化后,发现他患有由刚地弓形虫引起的脑内病变。该病例强调了在艾滋病毒感染患者中不能依赖寻找统一诊断(奥卡姆剃刀原则)。

https://cdn.ncbi.nlm.nih.gov/pmc/blobs/2f3f/3892585/683624a2e5d4/idr-2010-2-e10-g003.jpg
https://cdn.ncbi.nlm.nih.gov/pmc/blobs/2f3f/3892585/6f4535171498/idr-2010-2-e10-g001.jpg
https://cdn.ncbi.nlm.nih.gov/pmc/blobs/2f3f/3892585/17f4ea41f70f/idr-2010-2-e10-g002.jpg
https://cdn.ncbi.nlm.nih.gov/pmc/blobs/2f3f/3892585/683624a2e5d4/idr-2010-2-e10-g003.jpg
https://cdn.ncbi.nlm.nih.gov/pmc/blobs/2f3f/3892585/6f4535171498/idr-2010-2-e10-g001.jpg
https://cdn.ncbi.nlm.nih.gov/pmc/blobs/2f3f/3892585/17f4ea41f70f/idr-2010-2-e10-g002.jpg
https://cdn.ncbi.nlm.nih.gov/pmc/blobs/2f3f/3892585/683624a2e5d4/idr-2010-2-e10-g003.jpg

相似文献

1
Ockham's razor is not so sharp.奥卡姆剃刀并不那么锋利。
Infect Dis Rep. 2010 Aug 23;2(2):e10. doi: 10.4081/idr.2010.e10. eCollection 2010 Aug 4.
2
The diagnosis of multiple opportunistic infections in advanced stage AIDS: when Ockham's Razor doesn't cut it.晚期艾滋病患者多种机会性感染的诊断:当奥卡姆剃刀原则不适用时。
Autops Case Rep. 2018 Jun 20;8(2):e2018028. doi: 10.4322/acr.2018.028. eCollection 2018 Apr-Jun.
3
Ockham's Razor: The Application of Parsimonious Medicine in Allergy/Immunology.奥卡姆剃刀:简约医学在过敏/免疫学中的应用。
J Allergy Clin Immunol Pract. 2024 May;12(5):1150-1152. doi: 10.1016/j.jaip.2024.01.042. Epub 2024 Feb 3.
4
Invasion with Toxoplasma gondii can promote pneumocystis pneumonia in individuals with HIV/AIDS.刚地弓形虫感染可促进 HIV/AIDS 个体发生肺孢子菌肺炎。
Folia Parasitol (Praha). 2021 Jul 7;68:2021.018. doi: 10.14411/fp.2021.018.
5
First reported case of hydrocephalus in jointly diagnosed bacterial meningitis and a colloid cyst: how Ockham's razor became Hickam's dictum.首例联合诊断细菌性脑膜炎和胶样囊肿性脑积水:奥卡姆剃刀如何变成希卡姆的定论。
Br J Neurosurg. 2022 Jun;36(3):420-423. doi: 10.1080/02688697.2022.2077911. Epub 2022 May 24.
6
Ockham's razor defeated: about two atypical cases of hemolytic uremic syndrome.奥卡姆剃刀战胜了:关于两例非典型溶血尿毒综合征病例。
BMC Nephrol. 2020 Jul 11;21(1):269. doi: 10.1186/s12882-020-01926-2.
7
A highly unusual combination of pulmonary pathogens in an HIV infected patient.
Scand J Infect Dis. 1994;26(2):215-7. doi: 10.3109/00365549409011786.
8
Successful Treatment of Pulmonary and Cerebral Toxoplasmosis Associated with Pneumocystis Pneumonia in an HIV Patient.一名艾滋病患者合并肺孢子菌肺炎的肺和脑弓形虫病的成功治疗
Diseases. 2017 Dec 18;5(4):35. doi: 10.3390/diseases5040035.
9
Rhodococcus equi cavitary pneumonia in HIV-infected patients: an unsuspected opportunistic pathogen.HIV感染患者的马红球菌空洞性肺炎:一种未被察觉的机会性病原体。
J Acquir Immune Defic Syndr (1988). 1992 Oct;5(10):1059-64.
10
[Rhodococcus equi infection in subjects infected with human immunodeficiencv virus (HIV)].[人类免疫缺陷病毒(HIV)感染患者中的马红球菌感染]
Cas Lek Cesk. 2007;146(2):163-7.

本文引用的文献

1
Benefit of antiretroviral therapy on survival of human immunodeficiency virus-infected patients admitted to an intensive care unit.抗逆转录病毒疗法对入住重症监护病房的人类免疫缺陷病毒感染患者生存的益处。
Crit Care Med. 2009 May;37(5):1605-11. doi: 10.1097/CCM.0b013e31819da8c7.
2
Rhodococcus equi pulmonary-central nervous system syndrome: brain abscess in a patient on high-dose steroids--a case report and review of the literature.马红球菌肺-中枢神经系统综合征:一例接受大剂量类固醇治疗患者的脑脓肿——病例报告及文献复习
Diagn Microbiol Infect Dis. 2009 Jan;63(1):96-9. doi: 10.1016/j.diagmicrobio.2008.08.024.
3
A 40-year-old man with cough and fever.
Clin Infect Dis. 2007 Jun 1;44(11):1460-1, 1518-9. doi: 10.1086/517540.
4
Rhodococcus lung abscess complicating kidney transplantation: successful management by combination antibiotic therapy.红球菌肺脓肿并发肾移植:联合抗生素治疗成功治愈
Transpl Infect Dis. 2008 Feb;10(1):44-7. doi: 10.1111/j.1399-3062.2007.00231.x. Epub 2007 Apr 11.
5
Pneumocystis pneumonia in patients with HIV infection: clinical manifestations, laboratory findings, and radiological features.HIV感染患者的肺孢子菌肺炎:临床表现、实验室检查结果及影像学特征。
J Infect Chemother. 2007 Feb;13(1):1-7. doi: 10.1007/s10156-006-0484-5. Epub 2007 Feb 26.
6
Pneumocystis pneumonia.肺孢子菌肺炎
N Engl J Med. 2004 Jun 10;350(24):2487-98. doi: 10.1056/NEJMra032588.
7
Cystic and cavitary lung diseases: focal and diffuse.囊性和空洞性肺部疾病:局灶性和弥漫性。
Mayo Clin Proc. 2003 Jun;78(6):744-52. doi: 10.4065/78.6.744.
8
Prognosis and clinical evaluation of infection caused by Rhodococcus equi in HIV-infected patients: a multicenter study of 67 cases.马红球菌感染HIV感染者的预后及临床评估:一项67例的多中心研究
Chest. 2003 Jun;123(6):1970-6. doi: 10.1378/chest.123.6.1970.
9
Treatment of Toxoplasma brain abscess with clindamycin and sulfadiazine in an AIDS patient with concurrent atypical Pneumocystis carinii pneumonia.在一名同时患有非典型卡氏肺孢子虫肺炎的艾滋病患者中,使用克林霉素和磺胺嘧啶治疗弓形虫脑脓肿。
J Formos Med Assoc. 2002 Sep;101(9):646-9.
10
Brevibacterium casei bacteremia and line sepsis in a patient with AIDS.一名艾滋病患者发生干酪短杆菌菌血症和导管败血症。
J Infect. 2003 Jan;46(1):61-4. doi: 10.1053/jinf.2002.1076.