Suppr超能文献

弥漫性特发性肺神经内分泌细胞增生症:病例系列及文献综述

Diffuse idiopathic pulmonary neuroendocrine cell hyperplasia: Case series and a review of the literature.

作者信息

Jin Linfang, Wang Zhiqiang, Qi Xiaowei

机构信息

Department of Pathology.

Department of Thoracic and Cardiovascular Surgery, Affiliated Hospital of Jiangnan University (Wuxi Fourth People's Hospital), Wuxi, Jiangsu, China.

出版信息

Medicine (Baltimore). 2018 Dec;97(52):e13806. doi: 10.1097/MD.0000000000013806.

Abstract

RATIONALE

Diffuse idiopathic pulmonary neuroendocrine cell hyperplasia (DIPNECH) is a rare idiopathic disease with only about 100 cases reported in the literature.

PATIENT CONCERNS

Here, we presented 4 cases of DIPNECH. Four patients included 2 females and 2 males, aged 54 to 64 years old; 3 had no smoking history and 1 had history of smoking for 30 years. Surgical resection was performed for every patient. Cases 1 and 3 did not receive postoperative chemotherapy or radiotherapy, and case 2 received 4 times of postoperative chemotherapy. Case 4 just finished the operation and after a period of time, he will receive postoperative chemotherapy.

DIAGNOSES

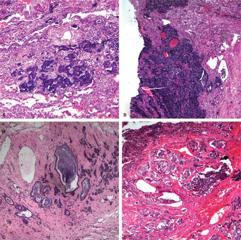
Case 1: A 57-year-old female had chest pain, and computer tomography (CT) examination prompted a mass shadow of left lung lower lobe. Case 2: A 64-year-old female had cough and expectoration for more than 1 month. CT examination showed: a lump with diameter of about 2.5 cm and irregular edge was in right lung upper lobe, being largely possibly lung cancer. Case 3: A 54-year-old male, CT examination accidentally found a long strip-shaped nodule in left lung oblique fissure when checkup's, and he had no fever, cough, expectoration, chest tightness, or chest pain. Case 4: A 61-year-old male, checkup's CT examination accidentally found a nodule, fibrosis, bronchiectasis, and secondary infection in the left lower lobe. Combined with pathological morphology and immunohistochemistry, cases 1 and 3 were diagnosed as DIPNECH with multiple carcinoid tumorlet formation and chronic inflammation and bronchiectasis, case 2 was diagnosed as an adenocarcinoma with DIPNECH and multiple carcinoid tumorlet formation, case 4 was diagnosed as an adenocarcinoma with DIPNECH and multiple carcinoid tumorlet formation and chronic inflammation and bronchiectasis.

INTERVENTIONS

Surgical resection was performed for every patient. Cases 1 and 3 did not receive postoperative chemotherapy or radiotherapy, and case 2 received 4 times of postoperative chemotherapy. Case 4 just finished the operation and after a period of time, he will receive postoperative chemotherapy.

OUTCOMES

Four patients have been followed up and have had good condition.

LESSONS

DIPNECH is often found accidentally in a surgical specimen, is easily missed, and needs careful observation. Immunohistochemistry is necessary to make this diagnosis.

摘要

原理

弥漫性特发性肺神经内分泌细胞增生症(DIPNECH)是一种罕见的特发性疾病,文献中仅报道了约100例病例。

患者情况

在此,我们报告了4例DIPNECH患者。4例患者包括2名女性和2名男性,年龄在54至64岁之间;3例无吸烟史,1例有30年吸烟史。每位患者均接受了手术切除。病例1和病例3术后未接受化疗或放疗,病例2接受了4次术后化疗。病例4刚完成手术,一段时间后将接受术后化疗。

诊断

病例1:一名57岁女性胸痛,计算机断层扫描(CT)检查提示左肺下叶有肿块阴影。病例2:一名64岁女性咳嗽咳痰1个月余。CT检查显示:右肺上叶有一个直径约2.5厘米、边缘不规则的肿块,高度怀疑为肺癌。病例3:一名54岁男性,体检时CT检查偶然发现左肺斜裂有一条状结节,无发热、咳嗽、咳痰、胸闷或胸痛症状。病例4:一名61岁男性,体检CT检查偶然发现左下叶有结节、纤维化、支气管扩张及继发感染。结合病理形态学及免疫组化检查,病例1和病例3诊断为DIPNECH伴多发类癌小结形成及慢性炎症和支气管扩张,病例2诊断为腺癌伴DIPNECH及多发类癌小结形成,病例4诊断为腺癌伴DIPNECH及多发类癌小结形成、慢性炎症和支气管扩张。

干预措施

每位患者均接受了手术切除。病例1和病例3术后未接受化疗或放疗,病例2接受了4次术后化疗。病例4刚完成手术,一段时间后将接受术后化疗。

结果

4例患者均已随访,情况良好。

经验教训

DIPNECH常在手术标本中偶然发现,容易漏诊,需要仔细观察。免疫组化对于做出该诊断是必要的。

https://cdn.ncbi.nlm.nih.gov/pmc/blobs/d273/6314763/10ae6a5d5a35/medi-97-e13806-g001.jpg

文献检索

告别复杂PubMed语法,用中文像聊天一样搜索,搜遍4000万医学文献。AI智能推荐,让科研检索更轻松。

立即免费搜索

文件翻译

保留排版,准确专业,支持PDF/Word/PPT等文件格式,支持 12+语言互译。

免费翻译文档

深度研究

AI帮你快速写综述,25分钟生成高质量综述,智能提取关键信息,辅助科研写作。

立即免费体验