Suppr超能文献

转化生长因子-β1过表达对人牙髓间充质干细胞生物学特性的影响

Effects of TGF-1 Overexpression on Biological Characteristics of Human Dental Pulp-derived Mesenchymal Stromal Cells.

作者信息

Salkın Hasan, Gönen Zeynep Burçin, Ergen Ergül, Bahar Dilek, Çetin Mustafa

机构信息

Department of Pathology Laboratory Techniques, Vocational School, Beykent University, Büyükçekmece/Istanbul, Turkey.

Department of Histology and Embryology, Faculty of Medicine, Erciyes University, Kayseri, Turkey.

出版信息

Int J Stem Cells. 2019 Mar 30;12(1):170-182. doi: 10.15283/ijsc18051.

Abstract

OBJECTIVE

The aim of our study was to investigate the effect of Transforming growth factor beta-1 (TGF-1) gene therapy on the surface markers, multilineage differentiation, viability, apoptosis, cell cycle, DNA damage and senescence of human Dental Pulp-derived Mesenchymal Stromal Cells (hDPSC).

METHODS

hDPSCs were isolated from human teeth, and were cultured with 20% Fetal Bovine Serum (FBS) in minimum essential media-alpha (-MEM). TGF-1 gene transfer into hDPSCs was performed by electroporation method after the plasmid was prepared. The transfection efficiency was achieved by using western blot and flow cytometry analyses and GFP transfection. Mesenchymal stem cell (MSC) markers, multilineage differentiation, cell proliferation, apoptosis, cell cycle, DNA damage and cellular senescence assays were performed by comparing the transfected and non-transfected cells. Statistical analyses were performed using GraphPad Prism.

RESULTS

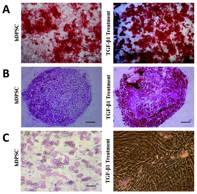
Strong expression of TGF-1 in pCMV-TGF-1-transfected hDPSCs was detected in flow cytometry analysis. TGF-1 transfection efficiency was measured as 95%. Western blot analysis showed that TGF-1 protein levels increased at third and sixth days in pCMV-TGF-1-transfected hDPSCs. The continuous TGF-1 overexpression in hDPSCs did not influence the immunophenotype and surface marker expression of MSCs. Our results showed that TGF-1 increased osteogenic and chondrogenic differentiation, but decreased adipogenic differentiation. Overexpression of TGF-1 increased the proliferation rate and decreased total apoptosis in hDPSCs (p<0.05). The number of cells at “” phase was higher with TGF-1 transfection (p<0.05). Cellular senescence decreased in TGF-1 transfected group (p<0.05).

CONCLUSIONS

These results reflect that TGF-1 has major impact on MSC differentiation. TGF-1 transfection has positive effect on proliferation, cell cycle, and prevents cellular senescence and apoptosis.

摘要

目的

本研究旨在探讨转化生长因子β-1(TGF-1)基因治疗对人牙髓间充质干细胞(hDPSC)表面标志物、多向分化、活力、凋亡、细胞周期、DNA损伤和衰老的影响。

方法

从人牙齿中分离出hDPSC,在含有20%胎牛血清(FBS)的α-最低必需培养基(α-MEM)中培养。制备质粒后,通过电穿孔法将TGF-1基因导入hDPSC。通过蛋白质印迹法、流式细胞术分析和绿色荧光蛋白(GFP)转染来实现转染效率。通过比较转染和未转染的细胞,进行间充质干细胞(MSC)标志物、多向分化、细胞增殖、凋亡、细胞周期、DNA损伤和细胞衰老检测。使用GraphPad Prism进行统计分析。

结果

流式细胞术分析检测到pCMV-TGF-1转染的hDPSC中TGF-1的强表达。TGF-1转染效率测定为95%。蛋白质印迹分析表明,pCMV-TGF-1转染的hDPSC在第3天和第6天时TGF-1蛋白水平升高。hDPSC中持续的TGF-1过表达不影响MSC的免疫表型和表面标志物表达。我们的结果表明,TGF-1增加了成骨和成软骨分化,但降低了成脂分化。TGF-1的过表达增加了hDPSC的增殖率并降低了总凋亡率(p<0.05)。TGF-1转染后处于“”期的细胞数量更高(p<0.05)。TGF-1转染组的细胞衰老减少(p<0.05)。

结论

这些结果表明TGF-1对MSC分化有重大影响。TGF-1转染对增殖、细胞周期有积极作用,并可防止细胞衰老和凋亡。

https://cdn.ncbi.nlm.nih.gov/pmc/blobs/4546/6457704/8439fb9374f6/ijsc-12-170f1.jpg

文献AI研究员

20分钟写一篇综述,助力文献阅读效率提升50倍。

立即体验

用中文搜PubMed

大模型驱动的PubMed中文搜索引擎

马上搜索

文档翻译

学术文献翻译模型,支持多种主流文档格式。

立即体验