Suppr超能文献

因冠状动脉慢血流现象导致乳头肌功能障碍,表现为急性二尖瓣反流和单侧肺水肿。

Papillary Muscle Dysfunction Due to Coronary Slow-Flow Phenomenon Presenting with Acute Mitral Regurgitation and Unilateral Pulmonary Edema.

作者信息

Chacko Jose, Brar Gagan, Mundlapudi Bhargav, Kumar Pradeep

机构信息

Department of Critical Care Medicine, Narayana Multispecialty Hospital, Bengaluru, Karnataka, India.

出版信息

Indian J Crit Care Med. 2018 Nov;22(11):806-808. doi: 10.4103/ijccm.IJCCM_343_18.

Abstract

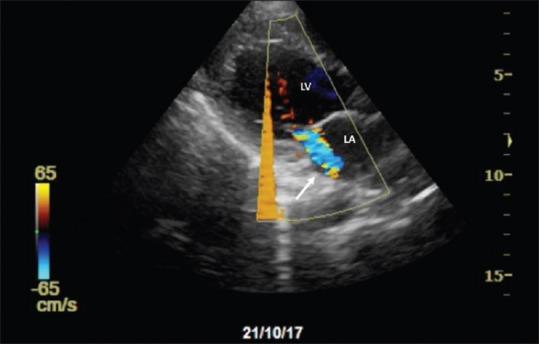
Cardiogenic pulmonary edema usually presents with characteristic clinical features and bilateral infiltrates on the chest radiograph. Rarely, pulmonary edema may manifest unilaterally, leading to a mistaken diagnosis of a primary lung pathology. We present a 30-year-old man who developed acute coronary syndrome following an overdose of alprazolam. He developed breathlessness with unilateral infiltrates on the chest radiograph. Echocardiography revealed regional wall motion abnormalities related to underlying ischemia and acute mitral regurgitation with an eccentric jet. Besides, he had significant impairment of left ventricular systolic function. His coronary angiogram revealed a slow-flow phenomenon in the right coronary and left anterior descending artery territories. Ischemia-related dysfunction of the posterolateral papillary muscle probably led to a floppy posterior mitral leaflet and an eccentrically directed regurgitant jet, leading to unilateral pulmonary edema. He was commenced on dual antiplatelet therapy, heparin infusion, atorvastatin, frusemide, and ramipril, following which he showed gradual clinical improvement along with resolution of the radiological infiltrates. His left ventricular function improved, and the mitral valve function normalized on echocardiography within a week.

摘要

心源性肺水肿通常表现为特征性临床症状及胸部X线片显示双侧浸润影。肺水肿很少单侧出现,从而导致误诊为原发性肺部疾病。我们报告一名30岁男性,在过量服用阿普唑仑后发生急性冠状动脉综合征。他出现呼吸困难,胸部X线片显示单侧浸润影。超声心动图显示与潜在缺血相关的节段性室壁运动异常以及伴有偏心反流束的急性二尖瓣反流。此外,他的左心室收缩功能严重受损。其冠状动脉造影显示右冠状动脉和左前降支动脉区域存在血流缓慢现象。后外侧乳头肌的缺血相关功能障碍可能导致二尖瓣后叶脱垂及偏心反流束,进而导致单侧肺水肿。他开始接受双联抗血小板治疗、肝素输注、阿托伐他汀、呋塞米和雷米普利治疗,之后临床症状逐渐改善,放射学浸润影也逐渐消退。一周内,他的左心室功能改善,超声心动图显示二尖瓣功能恢复正常。

https://cdn.ncbi.nlm.nih.gov/pmc/blobs/bd10/6259443/f9054a3e0148/IJCCM-22-806-g001.jpg

文献检索

告别复杂PubMed语法,用中文像聊天一样搜索,搜遍4000万医学文献。AI智能推荐,让科研检索更轻松。

立即免费搜索

文件翻译

保留排版,准确专业,支持PDF/Word/PPT等文件格式,支持 12+语言互译。

免费翻译文档

深度研究

AI帮你快速写综述,25分钟生成高质量综述,智能提取关键信息,辅助科研写作。

立即免费体验