Suppr超能文献

成为标准:扩大介入栓塞术在破裂肺动脉瘤中的常规应用

Becoming the Standard: Expanding the Conventional Use of Interventional Embolization for Ruptured Pulmonary Artery Aneurysms.

作者信息

Harmon Taylor S, Kaleka Guneet, Maciolek Lynsey M, Kathuria Manoj K, Gill Gunvir S, Hussain Aun, Dooley Stephen, Bagherpour Arya N

机构信息

Interventional Radiology, University of Texas Medical Branch, Galveston, USA.

Radiology, Oakland University William Beaumont School of Medicine, Southfield, USA.

出版信息

Cureus. 2018 Nov 12;10(11):e3576. doi: 10.7759/cureus.3576.

Abstract

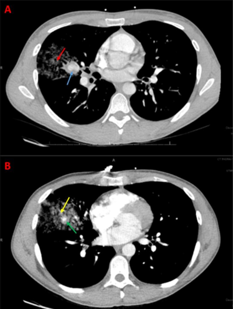
Behcet's disease is inflammatory vasculitis that has a high incidence of mortality in patients with pulmonary artery aneurysm (PAA) formation. Traditionally, patients with Behcet's disease and PAA rupture undergo invasive surgical management. Surgical intervention; however, has been shown to have high complication, failure, and mortality rates. It has become a more contemporary practice to utilize the interventional embolization of pulmonary artery aneurysms (PAAs) in patients with Behcet's disease and other various etiologies because of its inherent minimally invasive nature and decreased risk for complications. The management paradigm for treating PAAs has shifted toward endovascular embolization even in severe or emergent cases where surgical management was once thought to be the standard. The following case is a testimony to the practicality of interventional embolization in the setting of a symptomatic patient presenting with PAAs.

摘要

白塞病是一种炎症性血管炎,在形成肺动脉瘤(PAA)的患者中死亡率很高。传统上,白塞病合并PAA破裂的患者接受侵入性手术治疗。然而,手术干预已被证明具有高并发症、失败率和死亡率。由于其固有的微创性质和较低的并发症风险,对患有白塞病和其他各种病因的患者采用肺动脉瘤(PAA)介入栓塞已成为一种更现代的做法。即使在曾被认为手术治疗是标准的严重或紧急情况下,治疗PAA的管理模式也已转向血管内栓塞。以下病例证明了介入栓塞在有症状的PAA患者中的实用性。

https://cdn.ncbi.nlm.nih.gov/pmc/blobs/6530/6333258/bf33e9e90b46/cureus-0010-00000003576-i01.jpg

文献检索

告别复杂PubMed语法,用中文像聊天一样搜索,搜遍4000万医学文献。AI智能推荐,让科研检索更轻松。

立即免费搜索

文件翻译

保留排版,准确专业,支持PDF/Word/PPT等文件格式,支持 12+语言互译。

免费翻译文档

深度研究

AI帮你快速写综述,25分钟生成高质量综述,智能提取关键信息,辅助科研写作。

立即免费体验