• 文献检索
  • 文档翻译
  • 深度研究
  • 学术资讯
  • Suppr Zotero 插件Zotero 插件
  • 邀请有礼
  • 套餐&价格
  • 历史记录
应用&插件
Suppr Zotero 插件Zotero 插件浏览器插件Mac 客户端Windows 客户端微信小程序
定价
高级版会员购买积分包购买API积分包
服务
文献检索文档翻译深度研究API 文档MCP 服务
关于我们
关于 Suppr公司介绍联系我们用户协议隐私条款
关注我们

Suppr 超能文献

核心技术专利:CN118964589B侵权必究
粤ICP备2023148730 号-1Suppr @ 2026

文献检索

告别复杂PubMed语法,用中文像聊天一样搜索,搜遍4000万医学文献。AI智能推荐,让科研检索更轻松。

立即免费搜索

文件翻译

保留排版,准确专业,支持PDF/Word/PPT等文件格式,支持 12+语言互译。

免费翻译文档

深度研究

AI帮你快速写综述,25分钟生成高质量综述,智能提取关键信息,辅助科研写作。

立即免费体验

Bietti's tapetoretinal degeneration with marginal corneal dystrophy crystalline retinopathy.

作者信息

Welch R B

出版信息

Trans Am Ophthalmol Soc. 1977;75:164-79.

PMID:306693
原文链接:https://pmc.ncbi.nlm.nih.gov/articles/PMC1311548/
Abstract

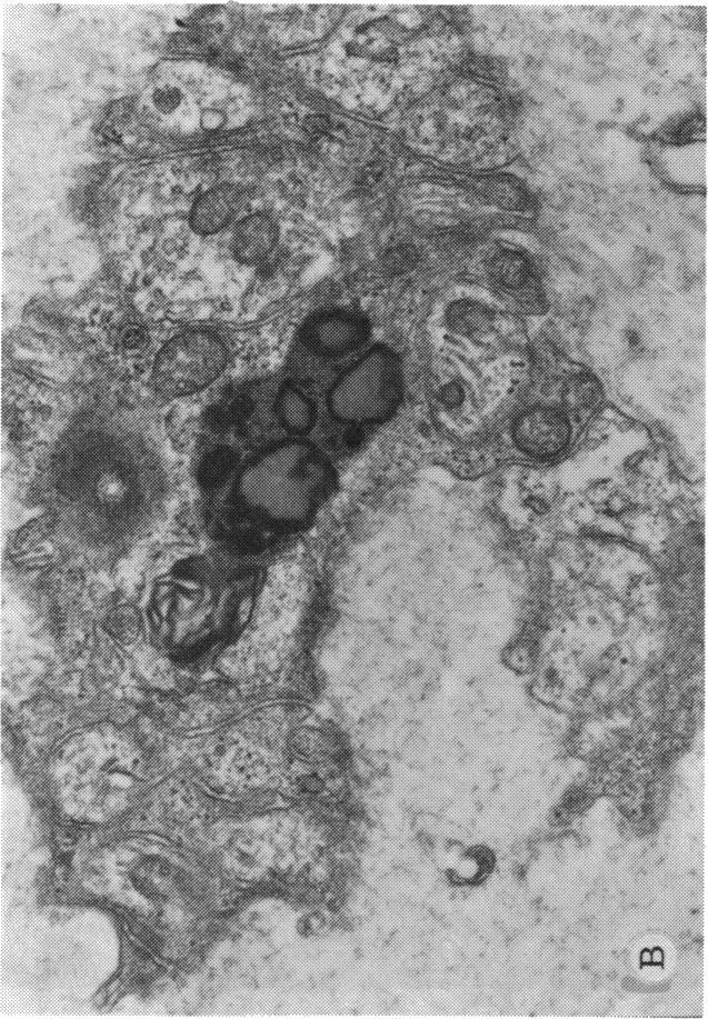
In 1937 Bietti reported a tapetoretinal degeneration with associated corneal deposits at the limbus. The hallmark of the disease was the crystalline characteristics of the retinal spots as well as those at the corneal limbus. Bagolini and Ioli-Spade in 1968 presented a 30 year follow-up on Bietti's cases and presented six additional cases. The present report delas with this entity in Orientals, a Chinese woman and a Japanese man. Corneal and conjunctival biopsy from the female patient revelaed a lipid deposition in both fibroblasts and epithelium. The term "crystalline retinopathy" has been added to the description of this entity since it defines the most characteristic feature of the syndrome.

摘要
https://cdn.ncbi.nlm.nih.gov/pmc/blobs/3889/1311548/b53b73ecda98/taos00024-0194-a.jpg
https://cdn.ncbi.nlm.nih.gov/pmc/blobs/3889/1311548/69ed6d049791/taos00024-0193-a.jpg
https://cdn.ncbi.nlm.nih.gov/pmc/blobs/3889/1311548/3a330342b7a1/taos00024-0193-b.jpg
https://cdn.ncbi.nlm.nih.gov/pmc/blobs/3889/1311548/6cde1f1521a3/taos00024-0186-a.jpg
https://cdn.ncbi.nlm.nih.gov/pmc/blobs/3889/1311548/3fbb86b657ca/taos00024-0186-b.jpg
https://cdn.ncbi.nlm.nih.gov/pmc/blobs/3889/1311548/1e5f5990ff85/taos00024-0186-c.jpg
https://cdn.ncbi.nlm.nih.gov/pmc/blobs/3889/1311548/eb08eaa86cb8/taos00024-0188-a.jpg
https://cdn.ncbi.nlm.nih.gov/pmc/blobs/3889/1311548/dafab1a5a3b9/taos00024-0188-b.jpg
https://cdn.ncbi.nlm.nih.gov/pmc/blobs/3889/1311548/d74fee3a0a9e/taos00024-0188-c.jpg
https://cdn.ncbi.nlm.nih.gov/pmc/blobs/3889/1311548/2facceee187f/taos00024-0189-a.jpg
https://cdn.ncbi.nlm.nih.gov/pmc/blobs/3889/1311548/4f5c6fb0ac81/taos00024-0190-a.jpg
https://cdn.ncbi.nlm.nih.gov/pmc/blobs/3889/1311548/ae603f3b5989/taos00024-0190-b.jpg
https://cdn.ncbi.nlm.nih.gov/pmc/blobs/3889/1311548/3575deae0fc6/taos00024-0191-a.jpg
https://cdn.ncbi.nlm.nih.gov/pmc/blobs/3889/1311548/28e1cc5a9d5a/taos00024-0192-a.jpg
https://cdn.ncbi.nlm.nih.gov/pmc/blobs/3889/1311548/74d7ae2002ae/taos00024-0192-b.jpg
https://cdn.ncbi.nlm.nih.gov/pmc/blobs/3889/1311548/7691a4f43ffc/taos00024-0192-c.jpg
https://cdn.ncbi.nlm.nih.gov/pmc/blobs/3889/1311548/b53b73ecda98/taos00024-0194-a.jpg
https://cdn.ncbi.nlm.nih.gov/pmc/blobs/3889/1311548/69ed6d049791/taos00024-0193-a.jpg
https://cdn.ncbi.nlm.nih.gov/pmc/blobs/3889/1311548/3a330342b7a1/taos00024-0193-b.jpg
https://cdn.ncbi.nlm.nih.gov/pmc/blobs/3889/1311548/6cde1f1521a3/taos00024-0186-a.jpg
https://cdn.ncbi.nlm.nih.gov/pmc/blobs/3889/1311548/3fbb86b657ca/taos00024-0186-b.jpg
https://cdn.ncbi.nlm.nih.gov/pmc/blobs/3889/1311548/1e5f5990ff85/taos00024-0186-c.jpg
https://cdn.ncbi.nlm.nih.gov/pmc/blobs/3889/1311548/eb08eaa86cb8/taos00024-0188-a.jpg
https://cdn.ncbi.nlm.nih.gov/pmc/blobs/3889/1311548/dafab1a5a3b9/taos00024-0188-b.jpg
https://cdn.ncbi.nlm.nih.gov/pmc/blobs/3889/1311548/d74fee3a0a9e/taos00024-0188-c.jpg
https://cdn.ncbi.nlm.nih.gov/pmc/blobs/3889/1311548/2facceee187f/taos00024-0189-a.jpg
https://cdn.ncbi.nlm.nih.gov/pmc/blobs/3889/1311548/4f5c6fb0ac81/taos00024-0190-a.jpg
https://cdn.ncbi.nlm.nih.gov/pmc/blobs/3889/1311548/ae603f3b5989/taos00024-0190-b.jpg
https://cdn.ncbi.nlm.nih.gov/pmc/blobs/3889/1311548/3575deae0fc6/taos00024-0191-a.jpg
https://cdn.ncbi.nlm.nih.gov/pmc/blobs/3889/1311548/28e1cc5a9d5a/taos00024-0192-a.jpg
https://cdn.ncbi.nlm.nih.gov/pmc/blobs/3889/1311548/74d7ae2002ae/taos00024-0192-b.jpg
https://cdn.ncbi.nlm.nih.gov/pmc/blobs/3889/1311548/7691a4f43ffc/taos00024-0192-c.jpg
https://cdn.ncbi.nlm.nih.gov/pmc/blobs/3889/1311548/b53b73ecda98/taos00024-0194-a.jpg

相似文献

1
Bietti's tapetoretinal degeneration with marginal corneal dystrophy crystalline retinopathy.
Trans Am Ophthalmol Soc. 1977;75:164-79.
2
Bietti's tapetoretinal degeneration with marginal corneal dystrophy (crystalline retinopathy): case report.伴有边缘性角膜营养不良(结晶样视网膜病变)的比埃蒂氏视网膜色素变性:病例报告
Br J Ophthalmol. 1987 Mar;71(3):220-3. doi: 10.1136/bjo.71.3.220.
3
Bietti's crystalline dystrophy. A clinicopathologic correlative study.比耶蒂结晶状视网膜变性。一项临床病理相关性研究。
Arch Ophthalmol. 1989 Feb;107(2):213-21. doi: 10.1001/archopht.1989.01070010219026.
4
Bietti's crystalline dystrophy of the retina and cornea.
Retina. 1999;19(2):168-71. doi: 10.1097/00006982-199902000-00016.
5
[Clinical and angiographic characteristics of Bietti's corneoretinal dystrophy: a case study of an 8-year-old girl].[比埃蒂氏角膜视网膜营养不良的临床和血管造影特征:一名8岁女孩的病例研究]
J Fr Ophtalmol. 2007 Jan;30(1):39-43. doi: 10.1016/s0181-5512(07)89548-9.
6
Crystalline retinopathy (Bietti's tapetoretinal degeneration without marginal corneal dystrophy).结晶样视网膜病变(无边缘角膜营养不良的比埃蒂毯层视网膜变性)
Am J Ophthalmol. 1981 Nov;92(5):640-6. doi: 10.1016/s0002-9394(14)74655-0.
7
Bietti's crystalline retinopathy.
Ophthalmic Paediatr Genet. 1986 Mar;7(1):9-20. doi: 10.3109/13816818609058037.
8
Concomitant granular dystrophy of the cornea and cone dystrophy.
Ophthalmologica. 1988;197(2):57-9. doi: 10.1159/000309920.
9
[Progression of Bietti's crystalline dystrophy].[比埃蒂结晶状营养不良的进展]
J Fr Ophtalmol. 1991;14(4):249-54.
10
Bietti's corneal-retinal dystrophy. A 16-year progression.比耶蒂角膜视网膜营养不良。16年的病情进展。
Retina. 1992;12(1):18-20.

引用本文的文献

1
A 30-year-old man with Bietti crystalline dystrophy:a rare case report from Syria.一名患有比埃蒂结晶状营养不良症的30岁男子:叙利亚的一例罕见病例报告。
Ann Med Surg (Lond). 2025 Mar 7;87(4):2417-2420. doi: 10.1097/MS9.0000000000003102. eCollection 2025 Apr.
2
Application of Electrophysiology in Non-Macular Inherited Retinal Dystrophies.电生理学在非黄斑区遗传性视网膜营养不良中的应用
J Clin Med. 2023 Nov 6;12(21):6953. doi: 10.3390/jcm12216953.
3
Diagnostic and Management Strategies of Bietti Crystalline Dystrophy: Current Perspectives.

本文引用的文献

1
Tapetoretinal degeneration: report of four cases of a rare form of luminescent crystalline tapetoretinal degeneration; with a discussion of its cause.
Am J Ophthalmol. 1953 Oct;36(10):1416-27.
比埃蒂结晶状营养不良的诊断与管理策略:当前观点
Clin Ophthalmol. 2023 Mar 24;17:953-967. doi: 10.2147/OPTH.S388292. eCollection 2023.
4
Autofluorescence of choroidal vessels in Bietti's crystalline dystrophy.比埃蒂结晶状营养不良中脉络膜血管的自发荧光。
BMJ Open Ophthalmol. 2020 Oct 28;5(1):e000592. doi: 10.1136/bmjophth-2020-000592. eCollection 2020.
5
Current perspectives in Bietti crystalline dystrophy.比埃蒂结晶状营养不良的当前观点
Clin Ophthalmol. 2019 Jul 30;13:1379-1399. doi: 10.2147/OPTH.S185744. eCollection 2019.
6
Relapse of choroidal neovascularization in Bietti's crystalline retinopathy following anti-vascular endothelial growth factor therapy: A case report.抗血管内皮生长因子治疗后毕脱氏结晶样视网膜病变脉络膜新生血管复发:一例报告
Exp Ther Med. 2015 Nov;10(5):1704-1706. doi: 10.3892/etm.2015.2716. Epub 2015 Sep 1.
7
Retinitis Pigmentosa with EYS Mutations Is the Most Prevalent Inherited Retinal Dystrophy in Japanese Populations.伴有EYS基因突变的色素性视网膜炎是日本人群中最常见的遗传性视网膜营养不良。
J Ophthalmol. 2015;2015:819760. doi: 10.1155/2015/819760. Epub 2015 Jun 16.
8
An Overview of Rare and Unusual Clinical Features of Bietti's Crystalline Dystrophy.比埃蒂结晶状营养不良的罕见及异常临床特征概述。
Med Hypothesis Discov Innov Ophthalmol. 2014 Summer;3(2):51-6.
9
High-Resolution Imaging of Patients with Bietti Crystalline Dystrophy with CYP4V2 Mutation.携带CYP4V2突变的贝氏结晶状视网膜变性患者的高分辨率成像
J Ophthalmol. 2014;2014:283603. doi: 10.1155/2014/283603. Epub 2014 Sep 3.
10
Ocular cytochrome P450s and transporters: roles in disease and endobiotic and xenobiotic disposition.眼部细胞色素P450酶系与转运蛋白:在疾病以及内源性和外源性物质处置中的作用。
Drug Metab Rev. 2014 Aug;46(3):247-60. doi: 10.3109/03602532.2014.921190. Epub 2014 May 26.