• 文献检索
  • 文档翻译
  • 深度研究
  • 学术资讯
  • Suppr Zotero 插件Zotero 插件
  • 邀请有礼
  • 套餐&价格
  • 历史记录
应用&插件
Suppr Zotero 插件Zotero 插件浏览器插件Mac 客户端Windows 客户端微信小程序
定价
高级版会员购买积分包购买API积分包
服务
文献检索文档翻译深度研究API 文档MCP 服务
关于我们
关于 Suppr公司介绍联系我们用户协议隐私条款
关注我们

Suppr 超能文献

核心技术专利:CN118964589B侵权必究
粤ICP备2023148730 号-1Suppr @ 2026

文献检索

告别复杂PubMed语法,用中文像聊天一样搜索,搜遍4000万医学文献。AI智能推荐,让科研检索更轻松。

立即免费搜索

文件翻译

保留排版,准确专业,支持PDF/Word/PPT等文件格式,支持 12+语言互译。

免费翻译文档

深度研究

AI帮你快速写综述,25分钟生成高质量综述,智能提取关键信息,辅助科研写作。

立即免费体验

哪些脑损伤会导致痉挛?对 45 名脑卒中患者的观察性研究。

Which brain lesions produce spasticity? An observational study on 45 stroke patients.

机构信息

Department of Rehabilitation Medicine, St. Vincent's Hospital, College of Medicine, The Catholic University of Korea, Seoul, Republic of Korea.

Department of Physical Therapy, College of Public Health & Welfare, The Yongin University, Gyeonggi-do, Republic of Korea.

出版信息

PLoS One. 2019 Jan 24;14(1):e0210038. doi: 10.1371/journal.pone.0210038. eCollection 2019.

DOI:10.1371/journal.pone.0210038
PMID:30677069
原文链接:https://pmc.ncbi.nlm.nih.gov/articles/PMC6345431/
Abstract

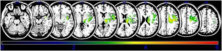
Spasticity is an important barrier that can hinder the restoration of function in stroke patients. Although several studies have attempted to elucidate the relationship between brain lesions and spasticity, the effects of specific brain lesions on the development of spasticity remain unclear. Thus, the present study investigated the effects of stroke lesions on spasticity in stroke patients. The present retrospective longitudinal observational study assessed 45 stroke patients using the modified Ashworth Scale to measure muscle spasticity. Each patient was assessed four times: initially (within 2 weeks of stroke) and at 1, 3, and 6 months after the onset of stroke. Brain lesions were analyzed using voxel-based lesion symptom mapping (VLSM) with magnetic resonance imaging images. Spasticity developed to a certain degree within 3 months in most stroke patients with spasticity. The VLSM method with non-parametric mapping revealed that lesions in the superior corona radiata, posterior limb of the internal capsule, posterior corona radiata, thalamus, putamen, premotor cortex, and insula were associated with the development of upper-limb spasticity. Additionally, lesions of the superior corona radiata, posterior limb of the internal capsule, caudate nucleus, posterior corona radiata, thalamus, putamen, and external capsule were associated with the development of lower-limb spasticity. The present study identified several brain lesions that contributed to post-stroke spasticity. Specifically, the involvement of white matter tracts and the striatum influenced the development of spasticity in the upper and lower limbs of stroke patients. These results may be useful for planning rehabilitation strategies and for understanding the pathophysiology of spasticity in stroke patients.

摘要

痉挛是阻碍脑卒中患者功能恢复的重要障碍。尽管已有多项研究试图阐明脑损伤与痉挛之间的关系,但特定脑损伤对痉挛发展的影响仍不清楚。因此,本研究旨在探讨脑卒中患者脑损伤与痉挛的关系。本回顾性纵向观察研究使用改良 Ashworth 量表评估了 45 例脑卒中患者的肌肉痉挛程度。每位患者评估 4 次:脑卒中后 2 周内首次评估,然后分别在 1、3 和 6 个月时进行评估。采用磁共振成像图像的基于体素的病变症状映射(VLSM)分析脑损伤。大多数痉挛性脑卒中患者在 3 个月内痉挛发展到一定程度。非参数映射的 VLSM 方法显示,上放射冠、内囊后肢、后放射冠、丘脑、壳核、运动前皮质和岛叶的病变与上肢痉挛的发展有关。此外,上放射冠、内囊后肢、尾状核、后放射冠、丘脑、壳核和外囊的病变与下肢痉挛的发展有关。本研究确定了几个导致脑卒中后痉挛的脑损伤。具体来说,白质束和纹状体的参与影响了脑卒中患者上下肢痉挛的发展。这些结果可能有助于制定康复策略,并有助于理解脑卒中患者痉挛的病理生理学。

https://cdn.ncbi.nlm.nih.gov/pmc/blobs/9cbb/6345431/f3da7af77d81/pone.0210038.g004.jpg
https://cdn.ncbi.nlm.nih.gov/pmc/blobs/9cbb/6345431/8e2a72a1839b/pone.0210038.g001.jpg
https://cdn.ncbi.nlm.nih.gov/pmc/blobs/9cbb/6345431/8f4105c8b727/pone.0210038.g002.jpg
https://cdn.ncbi.nlm.nih.gov/pmc/blobs/9cbb/6345431/3f9249489c1e/pone.0210038.g003.jpg
https://cdn.ncbi.nlm.nih.gov/pmc/blobs/9cbb/6345431/f3da7af77d81/pone.0210038.g004.jpg
https://cdn.ncbi.nlm.nih.gov/pmc/blobs/9cbb/6345431/8e2a72a1839b/pone.0210038.g001.jpg
https://cdn.ncbi.nlm.nih.gov/pmc/blobs/9cbb/6345431/8f4105c8b727/pone.0210038.g002.jpg
https://cdn.ncbi.nlm.nih.gov/pmc/blobs/9cbb/6345431/3f9249489c1e/pone.0210038.g003.jpg
https://cdn.ncbi.nlm.nih.gov/pmc/blobs/9cbb/6345431/f3da7af77d81/pone.0210038.g004.jpg

相似文献

1
Which brain lesions produce spasticity? An observational study on 45 stroke patients.哪些脑损伤会导致痉挛?对 45 名脑卒中患者的观察性研究。
PLoS One. 2019 Jan 24;14(1):e0210038. doi: 10.1371/journal.pone.0210038. eCollection 2019.
2
Association between severe upper limb spasticity and brain lesion location in stroke patients.中风患者严重上肢痉挛与脑损伤部位之间的关联。
Biomed Res Int. 2014;2014:162754. doi: 10.1155/2014/162754. Epub 2014 May 25.
3
Brain lesions affecting gait recovery in stroke patients.影响脑卒中患者步态恢复的脑损伤。
Brain Behav. 2017 Oct 25;7(11):e00868. doi: 10.1002/brb3.868. eCollection 2017 Nov.
4
Identifying the brain regions associated with acute spasticity in patients diagnosed with an ischemic stroke.识别缺血性中风患者中与急性痉挛相关的脑区。
Somatosens Mot Res. 2016 Jun;33(2):104-11. doi: 10.1080/08990220.2016.1197114. Epub 2016 Jun 29.
5
24-Hour Alberta Stroke Program Early CT Score Assessment in Post-Stroke Spasticity Development in Patients with a First Documented Anterior Circulation Ischemic Stroke.24小时艾伯塔卒中项目早期CT评分对首次记录的前循环缺血性卒中患者卒中后痉挛发展的评估
J Stroke Cerebrovasc Dis. 2018 Jan;27(1):240-245. doi: 10.1016/j.jstrokecerebrovasdis.2017.08.033. Epub 2017 Sep 14.
6
Neural substrates of lower extremity motor, balance, and gait function after supratentorial stroke using voxel-based lesion symptom mapping.使用基于体素的病变症状映射法研究幕上卒中后下肢运动、平衡和步态功能的神经基质。
Neuroradiology. 2016 Jul;58(7):723-31. doi: 10.1007/s00234-016-1672-3. Epub 2016 Mar 10.
7
[IDENTIFYING BRAIN STRUCTURES THAT CONTRIBUTE TO UPPER-LIMB RECOVERY POST STROKE USING THREE DIFFERENT METHODS OF LESION-SYMPTOM MAPPING].[使用三种不同的病损-症状映射方法识别对中风后上肢恢复有贡献的脑结构]
Harefuah. 2024 Sep;163(9):552-557.
8
Shared and distinct voxel-based lesion-symptom mappings for spasticity and impaired movement in the hemiparetic upper limb.针对偏瘫上肢痉挛和运动障碍的基于体素的病灶-症状共享和差异映射。
Sci Rep. 2022 Jun 17;12(1):10169. doi: 10.1038/s41598-022-14359-8.
9
Proximal paresis of the upper extremity in patients with stroke.中风患者上肢近端轻瘫
Neurology. 2007 Jul 24;69(4):348-55. doi: 10.1212/01.wnl.0000266387.43527.bd.
10
Association of Lesion Location With Long-Term Recovery in Post-stroke Aphasia and Language Deficits.中风后失语症和语言缺陷中病变位置与长期恢复的关联
Front Neurol. 2019 Jul 24;10:776. doi: 10.3389/fneur.2019.00776. eCollection 2019.

引用本文的文献

1
Relationship between post-stroke trunk function and brain lesion locations: A support vector regression lesion-symptom mapping study.中风后躯干功能与脑损伤部位之间的关系:一项支持向量回归损伤-症状映射研究。
J Rehabil Med. 2025 May 27;57:jrm42782. doi: 10.2340/jrm.v57.42782.
2
Literature Review on Lesion-Symptom Mapping and Deep Brain Stimulation for Poststroke Spasticity: Restoring a Dysfunctional Network?关于病变-症状映射和深部脑刺激治疗中风后痉挛的文献综述:恢复功能失调的网络?
Stereotact Funct Neurosurg. 2025 Apr 16:1-12. doi: 10.1159/000545888.
3
Pathophysiology and Management Strategies for Post-Stroke Spasticity: An Update Review.

本文引用的文献

1
Brain lesions affecting gait recovery in stroke patients.影响脑卒中患者步态恢复的脑损伤。
Brain Behav. 2017 Oct 25;7(11):e00868. doi: 10.1002/brb3.868. eCollection 2017 Nov.
2
Spasticity, Motor Recovery, and Neural Plasticity after Stroke.中风后的痉挛、运动恢复与神经可塑性
Front Neurol. 2017 Apr 3;8:120. doi: 10.3389/fneur.2017.00120. eCollection 2017.
3
Dopamine depletion impairs gait automaticity by altering cortico-striatal and cerebellar processing in Parkinson's disease.多巴胺耗竭通过改变帕金森病患者的皮质-纹状体和小脑处理来损害步态自动性。
中风后痉挛的病理生理学与管理策略:最新综述
Int J Mol Sci. 2025 Jan 5;26(1):406. doi: 10.3390/ijms26010406.
4
Long-Term Enhancement of Botulinum Toxin Injections for Post-Stroke Spasticity by Use of Stretching Exercises-A Randomized Controlled Trial.使用拉伸运动长期增强肉毒毒素注射治疗脑卒中后痉挛的随机对照试验。
Toxins (Basel). 2024 Jun 11;16(6):267. doi: 10.3390/toxins16060267.
5
Effects of Resistance Training on Spasticity in People with Stroke: A Systematic Review.抗阻训练对中风患者痉挛的影响:一项系统评价
Brain Sci. 2024 Jan 6;14(1):57. doi: 10.3390/brainsci14010057.
6
Resistance Training Maintains White Matter and Physical Function in Older Women with Cerebral Small Vessel Disease: An Exploratory Analysis of a Randomized Controlled Trial.阻力训练对患有脑小血管疾病的老年女性的白质和身体功能具有维持作用:一项随机对照试验的探索性分析
J Alzheimers Dis Rep. 2023 Jun 19;7(1):627-639. doi: 10.3233/ADR-220113. eCollection 2023.
7
Investigation of the Kinematic Upper-Limb Movement Assessment (KUMA): A Pilot Study.运动学上肢运动评估(KUMA)的研究:一项初步研究。
Physiother Can. 2022 Jul 8;74(3):316-323. doi: 10.3138/ptc-2019-0023. eCollection 2022 Aug.
8
Neural bases characterizing chronic and severe upper-limb motor deficits after brain lesion.脑损伤后慢性重度上肢运动功能障碍的神经基础
J Neural Transm (Vienna). 2023 May;130(5):663-677. doi: 10.1007/s00702-023-02622-9. Epub 2023 Mar 21.
9
Prevalence and clinical predictors of spasticity after intracerebral hemorrhage.脑出血后痉挛的患病率和临床预测因素。
Brain Behav. 2023 Mar;13(3):e2906. doi: 10.1002/brb3.2906. Epub 2023 Feb 7.
10
Lesions causing post-stroke spasticity localize to a common brain network.导致中风后痉挛的病变定位于一个常见的脑网络。
Front Aging Neurosci. 2022 Oct 25;14:1011812. doi: 10.3389/fnagi.2022.1011812. eCollection 2022.
Neuroimage. 2017 May 15;152:207-220. doi: 10.1016/j.neuroimage.2017.02.073. Epub 2017 Mar 3.
4
Clinical recovery from stroke lesions and related outcomes.中风损伤的临床恢复及相关结果。
J Clin Neurosci. 2017 Mar;37:79-82. doi: 10.1016/j.jocn.2016.11.008. Epub 2016 Dec 18.
5
Physiology of freezing of gait.冻结步态的生理学。
Ann Neurol. 2016 Nov;80(5):644-659. doi: 10.1002/ana.24778. Epub 2016 Oct 7.
6
Identifying the brain regions associated with acute spasticity in patients diagnosed with an ischemic stroke.识别缺血性中风患者中与急性痉挛相关的脑区。
Somatosens Mot Res. 2016 Jun;33(2):104-11. doi: 10.1080/08990220.2016.1197114. Epub 2016 Jun 29.
7
Does stroke location predict walk speed response to gait rehabilitation?中风部位能否预测步行速度对步态康复的反应?
Hum Brain Mapp. 2016 Feb;37(2):689-703. doi: 10.1002/hbm.23059. Epub 2015 Nov 19.
8
Lesion Characteristics of Individuals With Upper Limb Spasticity After Stroke.中风后上肢痉挛患者的病变特征
Neurorehabil Neural Repair. 2016 Jan;30(1):63-70. doi: 10.1177/1545968315585357. Epub 2015 May 20.
9
The motor recovery related with brain lesion in patients with intracranial hemorrhage.颅内出血患者中与脑损伤相关的运动恢复。
Behav Neurol. 2015;2015:258161. doi: 10.1155/2015/258161. Epub 2015 Mar 31.
10
New insights into the pathophysiology of post-stroke spasticity.中风后痉挛病理生理学的新见解。
Front Hum Neurosci. 2015 Apr 10;9:192. doi: 10.3389/fnhum.2015.00192. eCollection 2015.