Suppr超能文献

MST1/Hippo 启动子基因甲基化预测 IFCT-GFPC-0701 MAPS 三期临床试验中恶性胸膜间皮瘤患者的不良生存。

MST1/Hippo promoter gene methylation predicts poor survival in patients with malignant pleural mesothelioma in the IFCT-GFPC-0701 MAPS Phase 3 trial.

机构信息

Normandie Université, UNICAEN, INSERM, UMR 1086 ANTICIPE, Caen, France.

Normandie Université, UNICAEN, CEA, CNRS, ISTCT/CERVOxy group, GIP CYCERON, Caen, France.

出版信息

Br J Cancer. 2019 Feb;120(4):387-397. doi: 10.1038/s41416-019-0379-8. Epub 2019 Feb 11.

Abstract

BACKGROUND

The Mesothelioma Avastin Cisplatin Pemetrexed Study (MAPS/NCT00651456) phase 3 trial demonstrated the superiority of bevacizumab plus pemetrexed-cisplatin triplet over chemotherapy alone in 448 malignant pleural mesothelioma (MPM) patients. Here, we evaluated the prognostic role of Hippo pathway gene promoter methylation.

METHODS

Promoter methylations were assayed using methylation-specific polymerase chain reaction in samples from 223 MAPS patients, evaluating their prognostic value for overall survival (OS) and disease-free survival in univariate and multivariate analyses. MST1 inactivation effects on invasion, soft agar growth, apoptosis, proliferation, and YAP/TAZ activation were investigated in human mesothelial cell lines.

RESULTS

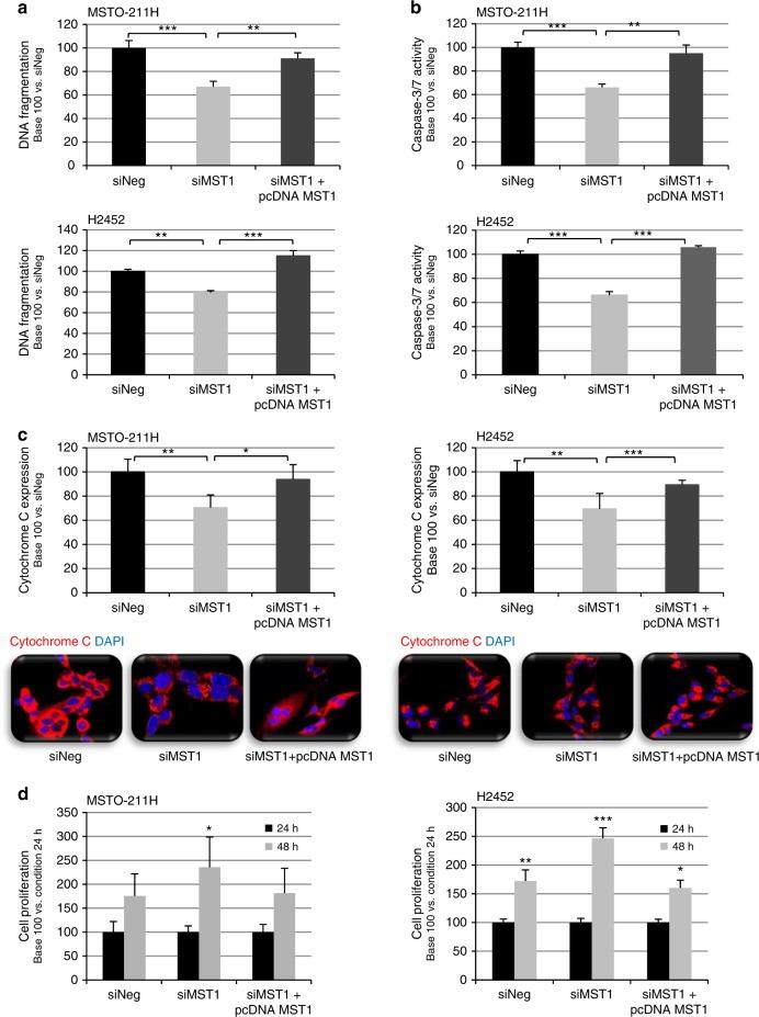
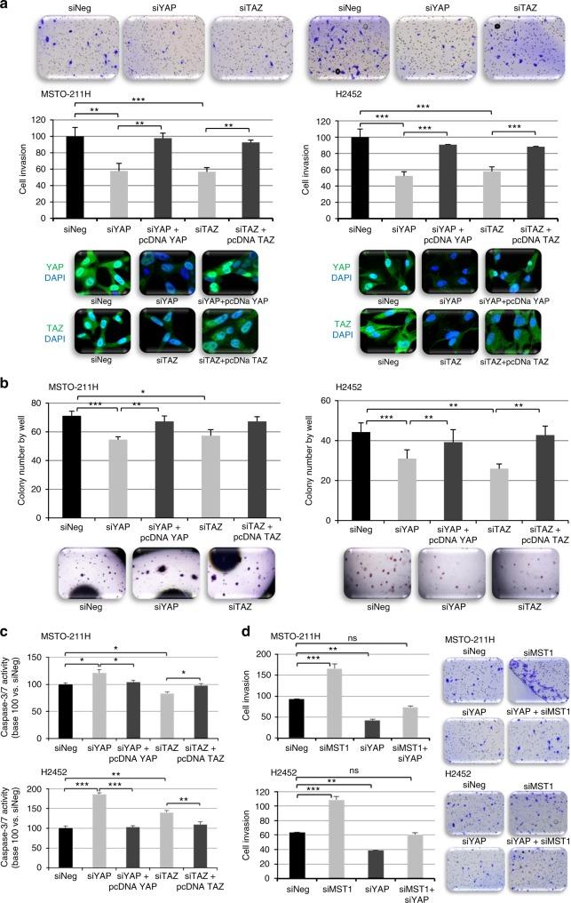
STK4 (MST1) gene promoter methylation was detected in 19/223 patients tested (8.5%), predicting poorer OS in univariate and multivariate analyses (adjusted HR: 1.78, 95% CI (1.09-2.93), p = 0.022). Internal validation by bootstrap resampling supported this prognostic impact. MST1 inactivation reduced cellular basal apoptotic activity while increasing proliferation, invasion, and soft agar or in suspension growth, resulting in nuclear YAP accumulation, yet TAZ cytoplasmic retention in mesothelial cell lines. YAP silencing decreased invasion of MST1-depleted mesothelial cell lines.

CONCLUSIONS

MST1/hippo kinase expression loss is predictive of poor prognosis in MPM patients, leading to nuclear YAP accumulation and electing YAP as a putative target for therapeutic intervention in human MPM.

摘要

背景

间皮瘤贝伐珠单抗顺铂培美曲塞研究(MAPS/NCT00651456)的 3 期试验表明,贝伐珠单抗联合培美曲塞顺铂三联疗法在 448 名恶性胸膜间皮瘤(MPM)患者中的疗效优于单独化疗。在这里,我们评估了 Hippo 通路基因启动子甲基化的预后作用。

方法

使用甲基化特异性聚合酶链反应检测 223 名 MAPS 患者样本中的启动子甲基化,在单变量和多变量分析中评估其对总生存期(OS)和无病生存期的预后价值。在人间皮细胞系中研究 MST1 失活对侵袭、软琼脂生长、细胞凋亡、增殖和 YAP/TAZ 激活的影响。

结果

在 223 名测试患者中,检测到 STK4(MST1)基因启动子甲基化 19 例(8.5%),单变量和多变量分析(调整后的 HR:1.78,95%CI(1.09-2.93),p=0.022)均提示预后不良。通过自举重采样进行内部验证支持了这种预后影响。MST1 失活降低了细胞基础凋亡活性,同时增加了增殖、侵袭和软琼脂或悬浮生长,导致核 YAP 积累,而在间皮细胞系中保留了 TAZ 的细胞质。YAP 沉默降低了 MST1 耗尽的间皮细胞系的侵袭能力。

结论

MST1/hippo 激酶表达缺失可预测 MPM 患者预后不良,导致核 YAP 积累,并将 YAP 选为人类 MPM 治疗干预的潜在靶点。

https://cdn.ncbi.nlm.nih.gov/pmc/blobs/f914/6461894/b25bf47cc41c/41416_2019_379_Fig1_HTML.jpg

文献检索

告别复杂PubMed语法,用中文像聊天一样搜索,搜遍4000万医学文献。AI智能推荐,让科研检索更轻松。

立即免费搜索

文件翻译

保留排版,准确专业,支持PDF/Word/PPT等文件格式,支持 12+语言互译。

免费翻译文档

深度研究

AI帮你快速写综述,25分钟生成高质量综述,智能提取关键信息,辅助科研写作。

立即免费体验