Suppr超能文献

经光学相干断层扫描血管造影术发现息肉样脉络膜血管病变的新结果。

Novel Findings of Polypoidal Choroidal Vasculopathy via Optical Coherence Tomography Angiography.

作者信息

Seong San, Choo Hun Goo, Kim Yang Jae, Kim Ju Young, Lee Jin Hae, Oh Hyun Sup, You Yong Sung, Kim Soon Hyun, Kwon Oh Woong

机构信息

Department of Ophthalmology, Nune Eye Hospital, Seoul, Korea.

出版信息

Korean J Ophthalmol. 2019 Feb;33(1):54-62. doi: 10.3341/kjo.2018.0048.

Abstract

PURPOSE

To introduce novel findings of polypoidal choroidal vasculopathy (PCV) via optical coherence tomography angiography (OCTA).

METHODS

This study is a retrospective chart review of 16 patients (16 eyes) with PCV. OCTA (Avanti RTVue XR) findings were evaluated and selected for analysis after agreement by two retina specialists .

RESULTS

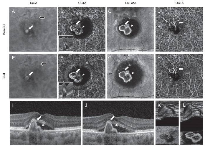
Twenty one polyps in 16 eyes (16 patients) with PCV were included in this study. The mean patient age was 67 years (13 men and three women). The shape of polypoidal lesions on OCTA at initial were halo (five polyps), rosette (seven polyps), and vascular network (nine polyps). Eight months after anti-vascular endothelial growth factor treatment, in a total of four eyes, seven polyps could be followed up completely, the two halo type polypoidal lesions changed to rosette and vascular network type. The lesions of three rosette and two vascular network type lesions did not change in shape. In addition, the size of the polypoidal lesions (one among two halo types, two among three rosette types, and two among two vascular network types) decreased, but one halo type did not change and one rosette type increased in size on OCTA.

CONCLUSIONS

En-face OCTA enabled us to categorize novel types of PCV with polypoidal lesions.

摘要

目的

通过光学相干断层扫描血管造影(OCTA)介绍息肉样脉络膜血管病变(PCV)的新发现。

方法

本研究是对16例PCV患者(16只眼)的回顾性病历审查。两名视网膜专家达成一致后,对OCTA(Avanti RTVue XR)检查结果进行评估并选择用于分析。

结果

本研究纳入了16例PCV患者(16只眼)中的21个息肉。患者平均年龄为67岁(13名男性和3名女性)。初始时OCTA上息肉样病变的形态为晕轮状(5个息肉)、玫瑰花结状(7个息肉)和血管网状(9个息肉)。抗血管内皮生长因子治疗8个月后,总共4只眼中的7个息肉可完全随访,2个晕轮型息肉样病变转变为玫瑰花结型和血管网状型。3个玫瑰花结型和2个血管网状型病变的形态未改变。此外,息肉样病变的大小(2个晕轮型中的1个、3个玫瑰花结型中的2个和2个血管网状型中的2个)减小,但OCTA上1个晕轮型未改变,1个玫瑰花结型增大。

结论

OCTA能够对伴有息肉样病变的新型PCV进行分类。

https://cdn.ncbi.nlm.nih.gov/pmc/blobs/3c29/6372389/77fd1e203a45/kjo-33-54-g001.jpg

文献AI研究员

20分钟写一篇综述,助力文献阅读效率提升50倍。

立即体验

用中文搜PubMed

大模型驱动的PubMed中文搜索引擎

马上搜索

文档翻译

学术文献翻译模型,支持多种主流文档格式。

立即体验