Suppr超能文献

血清阳性类风湿关节炎伴非常不寻常的X线表现。

Seropositive Rheumatoid Arthritis with Very Unusual X-ray Findings.

作者信息

Alamlih Laith, Alkahlout Mohamed, Siam Abdulrahim, Alam Syed, Al-Allaf Abdul-Wahab

机构信息

Rheumatology Department, Hamad General Hospital, Doha, Qatar.

出版信息

Eur J Case Rep Intern Med. 2018 Jul 26;5(7):000883. doi: 10.12890/2018_000883. eCollection 2018.

Abstract

UNLABELLED

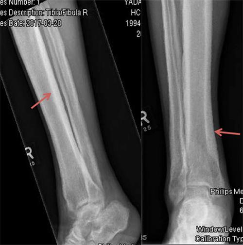
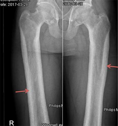
We described the case of a 23-year-old Nepalese man with seropositive rheumatoid arthritis and abnormal x-ray findings, found to be due to a very rare bone disease: Camurati Engelmann disease or progressive diaphyseal dysplasia (PDD). This is the first case reported in the Gulf area, although approximately 300 cases have been described worldwide. These patients usually present with limb pain and easy fatigability. Our patient first presented with bilateral, symmetrical inflammatory polyarthritis involving the knees, ankles and wrists but sparing the hands and feet. The diagnosis of PDD in our case was based on the classic radiological findings and a bone scan.

LEARNING POINTS

Rheumatoid arthritis is a common condition with typical radiological findings.Any unusual radiological finding should be carefully assessed and explained.In our case the unusual findings were due to progressive diaphyseal dysplasia.

摘要

未标注

我们描述了一名23岁尼泊尔男性的病例,他患有血清阳性类风湿关节炎且X线检查结果异常,后来发现是由一种非常罕见的骨病引起的:卡穆拉蒂-恩格尔曼病或进行性骨干发育异常(PDD)。这是海湾地区报道的首例病例,尽管全球已描述了约300例。这些患者通常表现为肢体疼痛和易疲劳。我们的患者最初表现为累及双膝、双踝和双腕的双侧对称性炎性多关节炎,但手部和足部未受累。我们病例中PDD的诊断基于典型的放射学表现和骨扫描。

学习要点

类风湿关节炎是一种具有典型放射学表现的常见疾病。任何不寻常的放射学发现都应仔细评估并作出解释。在我们的病例中,不寻常的发现是由于进行性骨干发育异常。

https://cdn.ncbi.nlm.nih.gov/pmc/blobs/921a/6346779/81f372bc6d3e/883_Fig1.jpg

文献AI研究员

20分钟写一篇综述,助力文献阅读效率提升50倍。

立即体验

用中文搜PubMed

大模型驱动的PubMed中文搜索引擎

马上搜索

文档翻译

学术文献翻译模型,支持多种主流文档格式。

立即体验