Suppr超能文献

人胎儿胃内的内因子。一项免疫细胞化学研究。

Intrinsic factor in the human fetal stomach. An immunocytochemical study.

作者信息

Aitchison M, Brown I L

机构信息

University Department of Pathology, Western Infirmary, Glasgow.

出版信息

J Anat. 1988 Oct;160:211-7.

Abstract

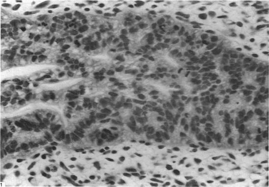
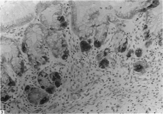
The stomachs from 15 human fetuses and 5 neonates were examined by immunocytochemical methods for the presence of intrinsic factor. Intrinsic factor was localised in cells within the gastric mucosa of all fetuses from 11 weeks of gestation onwards. The cells, which were immunoreactive for intrinsic factor, were located mainly at the base of the developing gastric glands in both the pylorus and corpus of the stomach. Occasional cells located at the isthmus of the gastric glands and amongst the surface columnar cells were strongly immunoreactive for intrinsic factor. With conventional staining these cells had the morphological and histochemical characteristics of parietal cells.

摘要

采用免疫细胞化学方法检查了15例人类胎儿和5例新生儿的胃,以检测内因子的存在。从妊娠11周起,所有胎儿胃黏膜中的细胞均检测到内因子。对内因子呈免疫反应的细胞主要位于胃幽门和胃体部发育中的胃腺底部。偶尔在胃腺峡部和表面柱状细胞之间的细胞也对内因子呈强免疫反应。用传统染色法,这些细胞具有壁细胞的形态和组织化学特征。

https://cdn.ncbi.nlm.nih.gov/pmc/blobs/cff8/1262064/93af0f2b7657/janat00172-0212-a.jpg

文献检索

告别复杂PubMed语法,用中文像聊天一样搜索,搜遍4000万医学文献。AI智能推荐,让科研检索更轻松。

立即免费搜索

文件翻译

保留排版,准确专业,支持PDF/Word/PPT等文件格式,支持 12+语言互译。

免费翻译文档

深度研究

AI帮你快速写综述,25分钟生成高质量综述,智能提取关键信息,辅助科研写作。

立即免费体验