Suppr超能文献

颈动脉间隙的病理学

Pathology of the carotid space.

作者信息

Chengazi Harris U, Bhatt Alok A

机构信息

Department of Imaging Sciences, University of Rochester Medical Center, 601 Elmwood Avenue, P.O. Box 648, Rochester, NY, 14642, USA.

出版信息

Insights Imaging. 2019 Feb 15;10(1):21. doi: 10.1186/s13244-019-0704-z.

Abstract

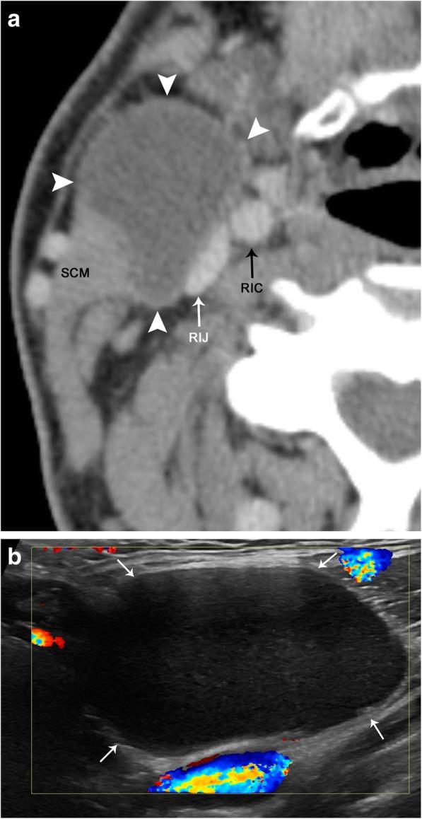
The complex anatomy of the carotid space within a small confined area is unique to the head and neck and allows for a vast array of pathology. This paper will review the anatomy of the carotid space from the skull base to the thorax, defining its borders at multiple levels, as well as its contents. The paper will also describe the myriad of mass lesions and vascular pathologies that may occur within the carotid space. The discussion will include anatomic considerations in differential diagnoses, imaging features, and lesion characteristics across multiple imaging modalities including CT, MRI, ultrasound, and conventional angiography. Entities discussed include paragangliomas, nerve sheath tumors, meningioma, fibromuscular dysplasia, carotidynia, thrombus, dissection, pseudoaneurysm, and pathology of the deep cervical chain lymph nodes. Understanding the complex and unique anatomy of the carotid space, as well as the nuances of navigating a broad differential, will empower the reader to make an accurate diagnosis.

摘要

在狭小受限区域内,颈动脉间隙复杂的解剖结构是头颈部所特有的,且会引发大量病变。本文将回顾从颅底到胸部的颈动脉间隙解剖结构,界定其在多个层面的边界及其内容物。本文还将描述可能出现在颈动脉间隙内的众多肿块性病变和血管病变。讨论将包括鉴别诊断中的解剖学考量、多种成像方式(包括CT、MRI、超声和传统血管造影)的成像特征及病变特点。所讨论的疾病包括副神经节瘤、神经鞘瘤、脑膜瘤、纤维肌发育不良、颈动脉痛、血栓、夹层、假性动脉瘤以及颈深链淋巴结病变。了解颈动脉间隙复杂独特的解剖结构以及鉴别广泛病变的细微差别,将使读者能够做出准确诊断。

https://cdn.ncbi.nlm.nih.gov/pmc/blobs/7d35/6377693/92fbae658751/13244_2019_704_Fig1_HTML.jpg

文献AI研究员

20分钟写一篇综述,助力文献阅读效率提升50倍。

立即体验

用中文搜PubMed

大模型驱动的PubMed中文搜索引擎

马上搜索

文档翻译

学术文献翻译模型,支持多种主流文档格式。

立即体验