Suppr超能文献

伴继发性颅内动脉瘤样骨囊肿的筛窦沙砾样骨化纤维瘤:病例报告及文献复习

Psammomatoid Ossifying Fibroma of the Ethmoid Sinus with Secondary Intracranial Aneurymal Bone Cyst: A Case Report and Literature Review.

作者信息

Al-Sharhan Salma S, Ashoor Mona M, Al-Nemer Areej M

机构信息

Department of Otolaryngology and Head and Neck Surgery, King Fahd Hospital of University, University of Dammam, Al-Khobar, Saudi Arabia.

Department of Histopathology, King Fahd Hospital of University, University of Dammam, Al-Khobar, Saudi Arabia.

出版信息

Saudi J Med Med Sci. 2016 May-Aug;4(2):125-128. doi: 10.4103/1658-631X.178350. Epub 2016 Mar 9.

Abstract

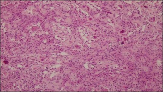
Juvenile psammomatoid ossifying fibroma (JPOF) is a rare, slowly progressive tumor of the extragnathic craniofacial bones, with a tendency toward locally aggressive behavior and recurrence. The pathognomonic histopathologic feature is the presence of spherical ossicles, which are similar to psammoma bodies. Very few cases in association with secondary aneurysmal bone cyst (ABC) formation have been reported in literature. Treatment consists of complete surgical removal. However, incomplete excision has been associated with a high local recurrence rate. The prognosis is good because malignant change and metastasis have not been reported. The authors are reporting a case of JPOF of the ethmoid bones with secondary ABC in a 7-year-old female patient.

摘要

青少年砂粒样骨化性纤维瘤(JPOF)是一种罕见的、生长缓慢的颌外颅面骨肿瘤,具有局部侵袭性行为和复发倾向。其特征性组织病理学表现是存在球形小骨片,类似于砂粒体。文献中报道的与继发性动脉瘤样骨囊肿(ABC)形成相关的病例极少。治疗方法为手术彻底切除。然而,切除不完整与高局部复发率相关。由于尚未报道有恶变和转移情况,其预后良好。作者报道了一例7岁女性患者筛骨JPOF伴继发性ABC的病例。

https://cdn.ncbi.nlm.nih.gov/pmc/blobs/1025/6298325/58c1170faef0/SJMMS-4-125-g001.jpg

文献AI研究员

20分钟写一篇综述,助力文献阅读效率提升50倍。

立即体验

用中文搜PubMed

大模型驱动的PubMed中文搜索引擎

马上搜索

文档翻译

学术文献翻译模型,支持多种主流文档格式。

立即体验