Suppr超能文献

经皮消融术后立即进行F-FDG PET/CT以评估手术效果:初步结果

F-FDG PET/CT performed immediately after percutaneous ablation to evaluate outcomes of the procedure: preliminary results.

作者信息

Romanato Juliana, Menezes Marcos Roberto, Santos Allan de Oliveira, Bezerra Regis Otaviano Franca, Lima Mariana Cunha Lopes, Etchebehere Elba

机构信息

Hospital Sírio-Libanês, São Paulo, SP, Brazil.

Universidade Estadual de Campinas (Unicamp), Campinas, SP, Brazil.

出版信息

Radiol Bras. 2019 Jan-Feb;52(1):24-32. doi: 10.1590/0100-3984.2018.0010.

Abstract

OBJECTIVE

To determine whether F-fluorodeoxyglucose positron emission tomography/computed tomography performed immediately after percutaneous ablation ( F-FDG PET/CT) is useful in evaluating the outcomes of the procedure.

MATERIALS AND METHODS

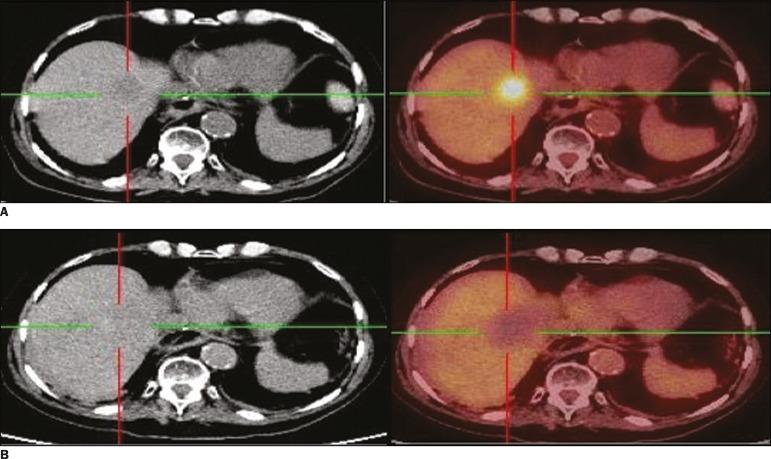
This was a retrospective study of 20 patients (13 males, 7 females; mean age, 65.8 ± 12.1 years) submitted to percutaneous ablation of metastases. All of the lesions treated had shown focal uptake on a F-FDG PET/CT scan obtained at baseline. The primary tumors were mainly colorectal cancer (in 45%) or lung cancer (in 40%). F-FDG PET/CT was performed to identify any residual viable tumor cells. The treatment was considered a success (no viable tumor cells present) if no uptake of F-FDG was noted on the F-FDG PET/CT scan.

RESULTS

Twenty-six lesions were submitted to percutaneous ablation with either cryoablation (n = 7) or radiofrequency ablation (n = 19). The mean lesion diameter was 2.52 ± 1.49 cm. For the detection of viable tumor cells, F-FDG PET/CT had a sensitivity, specificity, accuracy, positive predictive value, and negative predictive value of 66.7%, 95%, 88.5%, 80%, and 90.5%, respectively. There was a significant correlation between the F-FDG PET/CT findings and the results of the follow-up studies (kappa = 0.66; < 0.01).

CONCLUSION

F-FDG PET/CT studies appear to constitute a useful means of evaluating the outcomes of percutaneous ablation. By detecting residual viable tumor cells, this strategy might allow early re-intervention, thus reducing morbidity. Studies involving larger numbers of patients are needed in order to confirm our findings.

摘要

目的

确定经皮消融术后立即进行的氟脱氧葡萄糖正电子发射断层扫描/计算机断层扫描(F-FDG PET/CT)是否有助于评估该手术的效果。

材料与方法

这是一项对20例接受经皮转移灶消融术患者(13例男性,7例女性;平均年龄65.8±12.1岁)的回顾性研究。所有接受治疗的病灶在基线时的F-FDG PET/CT扫描中均显示局灶性摄取。原发肿瘤主要为结直肠癌(45%)或肺癌(40%)。进行F-FDG PET/CT以识别任何残留的存活肿瘤细胞。如果在F-FDG PET/CT扫描中未发现F-FDG摄取,则认为治疗成功(无存活肿瘤细胞)。

结果

26个病灶接受了冷冻消融(n = 7)或射频消融(n = 19)的经皮消融。病灶平均直径为2.52±1.49 cm。对于存活肿瘤细胞的检测,F-FDG PET/CT的敏感性、特异性、准确性、阳性预测值和阴性预测值分别为66.7%、95%、88.5%、80%和90.5%。F-FDG PET/CT结果与随访研究结果之间存在显著相关性(kappa = 0.66;P < 0.01)。

结论

F-FDG PET/CT研究似乎是评估经皮消融效果的一种有用方法。通过检测残留的存活肿瘤细胞,该策略可能允许早期再次干预,从而降低发病率。需要进行涉及更多患者的研究以证实我们的发现。

https://cdn.ncbi.nlm.nih.gov/pmc/blobs/db09/6383533/50c32a55243d/rb-52-01-0024-g01.jpg

文献AI研究员

20分钟写一篇综述,助力文献阅读效率提升50倍。

立即体验

用中文搜PubMed

大模型驱动的PubMed中文搜索引擎

马上搜索

文档翻译

学术文献翻译模型,支持多种主流文档格式。

立即体验