• 文献检索
  • 文档翻译
  • 深度研究
  • 学术资讯
  • Suppr Zotero 插件Zotero 插件
  • 邀请有礼
  • 套餐&价格
  • 历史记录
应用&插件
Suppr Zotero 插件Zotero 插件浏览器插件Mac 客户端Windows 客户端微信小程序
定价
高级版会员购买积分包购买API积分包
服务
文献检索文档翻译深度研究API 文档MCP 服务
关于我们
关于 Suppr公司介绍联系我们用户协议隐私条款
关注我们

Suppr 超能文献

核心技术专利:CN118964589B侵权必究
粤ICP备2023148730 号-1Suppr @ 2026

文献检索

告别复杂PubMed语法,用中文像聊天一样搜索,搜遍4000万医学文献。AI智能推荐,让科研检索更轻松。

立即免费搜索

文件翻译

保留排版,准确专业,支持PDF/Word/PPT等文件格式,支持 12+语言互译。

免费翻译文档

深度研究

AI帮你快速写综述,25分钟生成高质量综述,智能提取关键信息,辅助科研写作。

立即免费体验

胰岛素样生长因子和 mTOR 通路表达及替西罗莫司和 mTOR 抑制剂在肾上腺皮质癌中的体外作用。

IGF and mTOR pathway expression and in vitro effects of linsitinib and mTOR inhibitors in adrenocortical cancer.

机构信息

Department of Internal Medicine, Division Endocrinology, Erasmus Medical Center, Rotterdam, The Netherlands.

Dipartimento di Medicina Clinica e Chirurgia, Università Federico II, Naples, Italy.

出版信息

Endocrine. 2019 Jun;64(3):673-684. doi: 10.1007/s12020-019-01869-1. Epub 2019 Mar 5.

DOI:10.1007/s12020-019-01869-1
PMID:30838516
原文链接:https://pmc.ncbi.nlm.nih.gov/articles/PMC6551351/
Abstract

PURPOSE

The IGF and mTOR-pathways are considered as potential targets for therapy in patients with adrenocortical carcinoma (ACC). This study aims to describe the IGF pathway in ACC and to explore the response to the combined treatment with the IGF1R/IR inhibitor linsitinib, and mTOR inhibitors (sirolimus and everolimus) in in vitro models of ACC.

METHODS

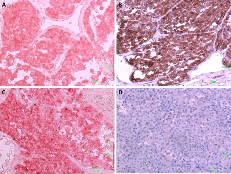
The protein expression level of IGF2, IGF1R and IGF2R was evaluated by immunohistochemistry in 17 human ACCs and the mRNA expression level of IGF1, IGF2, IGF1R, IR isoforms A and B, IGF2R, IGF-Binding-Proteins[IGFBP]-1, 2, 3 and 6 was evaluated by RT-qPCR in 12 samples. In H295R and HAC15 ACC cell lines the combined effects of linsitinib and sirolimus or everolimus on cell survival were evaluated.

RESULTS

A high protein expression of IGF2, IGF1R and IGF2R was observed in 82, 65 and 100% of samples, respectively. A high relative expression of IGF2 mRNA was found in the majority of samples. The mRNA levels of the IRA were higher than that of IRB and IGF1R in the majority of samples (75%). Linsitinib inhibits cell growth in the H295R and HAC15 cell lines and, combined with sirolimus or everolimus, linsitinib showed a significant additive effect.

CONCLUSIONS

In addition to IGF2 and IGF1R, ACC express IGF2R, IRA and several IGFBPs, suggesting that the interplay between the different components of the IGF pathway in ACC could be more complex than previously considered. The addition of mTOR inhibitors to linsitinib may have stronger antiproliferative effects than linsitinib alone.

摘要

目的

胰岛素样生长因子(IGF)和哺乳动物雷帕霉素靶蛋白(mTOR)途径被认为是治疗肾上腺皮质癌(ACC)患者的潜在靶点。本研究旨在描述 ACC 中的 IGF 途径,并探讨 IGF1R/IR 抑制剂 lin-丝裂原激活蛋白激酶(MAPK)激酶(MAPK)抑制剂和 mTOR 抑制剂(西罗莫司和依维莫司)联合治疗在 ACC 体外模型中的反应。

方法

通过免疫组织化学法检测 17 例人 ACC 中 IGF2、IGF1R 和 IGF2R 的蛋白表达水平,并通过 RT-qPCR 检测 12 例样本中 IGF1、IGF2、IGF1R、IR 同工型 A 和 B、IGF2R、IGF 结合蛋白[IGFBP]-1、2、3 和 6 的 mRNA 表达水平。在 H295R 和 HAC15 ACC 细胞系中,评估了 lin-丝裂原激活蛋白激酶(MAPK)激酶(MAPK)抑制剂和西罗莫司或依维莫司联合应用对细胞存活的影响。

结果

IGF2、IGF1R 和 IGF2R 的蛋白表达水平分别在 82%、65%和 100%的样本中较高。大多数样本中 IGF2 mRNA 的相对表达水平较高。在大多数样本中,IRA 的 mRNA 水平高于 IRB 和 IGF1R(75%)。Lin-丝裂原激活蛋白激酶(MAPK)激酶(MAPK)抑制剂抑制 H295R 和 HAC15 细胞系的细胞生长,并且与西罗莫司或依维莫司联合应用时,lin-丝裂原激活蛋白激酶(MAPK)激酶(MAPK)抑制剂显示出显著的相加作用。

结论

除 IGF2 和 IGF1R 外,ACC 还表达 IGF2R、IRA 和几种 IGFBPs,这表明 ACC 中 IGF 途径的不同成分之间的相互作用可能比以前认为的更为复杂。与单独使用 lin-丝裂原激活蛋白激酶(MAPK)激酶(MAPK)抑制剂相比,mTOR 抑制剂的加入可能具有更强的抗增殖作用。

https://cdn.ncbi.nlm.nih.gov/pmc/blobs/9805/6551351/909a8cf77bca/12020_2019_1869_Fig5_HTML.jpg
https://cdn.ncbi.nlm.nih.gov/pmc/blobs/9805/6551351/a736d3a995ca/12020_2019_1869_Fig1_HTML.jpg
https://cdn.ncbi.nlm.nih.gov/pmc/blobs/9805/6551351/5a8cce6fea31/12020_2019_1869_Fig2_HTML.jpg
https://cdn.ncbi.nlm.nih.gov/pmc/blobs/9805/6551351/91263d691a38/12020_2019_1869_Fig3_HTML.jpg
https://cdn.ncbi.nlm.nih.gov/pmc/blobs/9805/6551351/5419adc8828f/12020_2019_1869_Fig4_HTML.jpg
https://cdn.ncbi.nlm.nih.gov/pmc/blobs/9805/6551351/909a8cf77bca/12020_2019_1869_Fig5_HTML.jpg
https://cdn.ncbi.nlm.nih.gov/pmc/blobs/9805/6551351/a736d3a995ca/12020_2019_1869_Fig1_HTML.jpg
https://cdn.ncbi.nlm.nih.gov/pmc/blobs/9805/6551351/5a8cce6fea31/12020_2019_1869_Fig2_HTML.jpg
https://cdn.ncbi.nlm.nih.gov/pmc/blobs/9805/6551351/91263d691a38/12020_2019_1869_Fig3_HTML.jpg
https://cdn.ncbi.nlm.nih.gov/pmc/blobs/9805/6551351/5419adc8828f/12020_2019_1869_Fig4_HTML.jpg
https://cdn.ncbi.nlm.nih.gov/pmc/blobs/9805/6551351/909a8cf77bca/12020_2019_1869_Fig5_HTML.jpg

相似文献

1
IGF and mTOR pathway expression and in vitro effects of linsitinib and mTOR inhibitors in adrenocortical cancer.胰岛素样生长因子和 mTOR 通路表达及替西罗莫司和 mTOR 抑制剂在肾上腺皮质癌中的体外作用。
Endocrine. 2019 Jun;64(3):673-684. doi: 10.1007/s12020-019-01869-1. Epub 2019 Mar 5.
2
The role of mTOR inhibitors in the inhibition of growth and cortisol secretion in human adrenocortical carcinoma cells.mTOR 抑制剂在抑制人肾上腺皮质癌细胞生长和皮质醇分泌中的作用。
Endocr Relat Cancer. 2012 May 24;19(3):351-64. doi: 10.1530/ERC-11-0270. Print 2012 Jun.
3
The cytoskeleton actin binding protein filamin A impairs both IGF2 mitogenic effects and the efficacy of IGF1R inhibitors in adrenocortical cancer cells.细胞骨架肌动蛋白结合蛋白细丝蛋白 A 损害 IGF2 的有丝分裂效应和 IGF1R 抑制剂在肾上腺皮质癌细胞中的疗效。
Cancer Lett. 2021 Jan 28;497:77-88. doi: 10.1016/j.canlet.2020.10.022. Epub 2020 Oct 16.
4
IGF2 role in adrenocortical carcinoma biology.IGF2 在肾上腺皮质癌生物学中的作用。
Endocrine. 2019 Nov;66(2):326-337. doi: 10.1007/s12020-019-02033-5. Epub 2019 Aug 4.
5
Co-inhibition of EGFR and IGF1R synergistically impacts therapeutically on adrenocortical carcinoma.表皮生长因子受体(EGFR)和胰岛素样生长因子1受体(IGF1R)的共同抑制对肾上腺皮质癌具有协同治疗作用。
Oncotarget. 2016 Jun 14;7(24):36235-36246. doi: 10.18632/oncotarget.8827.
6
Insulin-Like Growth Factor and SLC12A7 Dysregulation: A Novel Signaling Hallmark of Non-Functional Adrenocortical Carcinoma.胰岛素样生长因子与 SLC12A7 失调:非功能性肾上腺皮质癌的新型信号标志。
J Am Coll Surg. 2019 Sep;229(3):305-315. doi: 10.1016/j.jamcollsurg.2019.04.018. Epub 2019 Apr 26.
7
Targeted Gene Expression Profile Reveals CDK4 as Therapeutic Target for Selected Patients With Adrenocortical Carcinoma.靶向基因表达谱揭示 CDK4 是特定肾上腺皮质癌患者的治疗靶点。
Front Endocrinol (Lausanne). 2020 Apr 16;11:219. doi: 10.3389/fendo.2020.00219. eCollection 2020.
8
Characterization of the mTOR pathway in human normal adrenal and adrenocortical tumors.人正常肾上腺及肾上腺皮质肿瘤中mTOR信号通路的特征分析
Endocr Relat Cancer. 2014 Aug;21(4):601-13. doi: 10.1530/ERC-13-0112. Epub 2014 Jun 2.
9
Tissue Expression and Pharmacological In Vitro Analyses of mTOR and SSTR Pathways in Adrenocortical Carcinoma.肾上腺皮质癌中mTOR和SSTR通路的组织表达及药理学体外分析
Endocr Pathol. 2017 Jun;28(2):95-102. doi: 10.1007/s12022-017-9473-8.
10
Efficacy of the novel dual PI3-kinase/mTOR inhibitor NVP-BEZ235 in a preclinical model of adrenocortical carcinoma.新型双重 PI3-激酶/mTOR 抑制剂 NVP-BEZ235 在肾上腺皮质癌的临床前模型中的疗效。
Mol Cell Endocrinol. 2012 Nov 25;364(1-2):101-4. doi: 10.1016/j.mce.2012.08.014. Epub 2012 Aug 31.

引用本文的文献

1
Therapeutic frontiers in adrenocortical carcinoma: from standards to innovation.肾上腺皮质癌的治疗前沿:从标准到创新。
Med Oncol. 2025 Jul 3;42(8):311. doi: 10.1007/s12032-025-02864-5.
2
Emerging role of IGF1R and IR expression and localisation in adrenocortical carcinomas.胰岛素样生长因子1受体(IGF1R)及胰岛素受体(IR)的表达与定位在肾上腺皮质癌中的新作用
Cell Commun Signal. 2025 Mar 4;23(1):119. doi: 10.1186/s12964-025-02115-0.
3
Linsitinib inhibits proliferation and induces apoptosis of both IGF-1R and TSH-R expressing cells.林西替尼抑制IGF-1R和TSH-R表达细胞的增殖并诱导其凋亡。

本文引用的文献

1
European Society of Endocrinology clinical practice guidelines on the management of adrenal incidentalomas, in collaboration with the European Network for the Study of Adrenal Tumors.欧洲内分泌学会与欧洲肾上腺肿瘤研究网络合作制定的关于肾上腺意外瘤处理的临床实践指南。
Eur J Endocrinol. 2023 Jul 20;189(1):G1-G42. doi: 10.1093/ejendo/lvad066.
2
The role of insulin-like growth factor system in the adrenocortical tumors.胰岛素样生长因子系统在肾上腺皮质肿瘤中的作用。
Minerva Endocrinol. 2019 Mar;44(1):43-57. doi: 10.23736/S0391-1977.18.02882-1. Epub 2018 Jul 2.
3
Aiming for the Insulin-like Growth Factor-1 system in breast cancer therapeutics.
Front Immunol. 2024 Dec 11;15:1488220. doi: 10.3389/fimmu.2024.1488220. eCollection 2024.
4
A Review on Mitotane: A Target Therapy in Adrenocortical Carcinoma.米托坦综述:肾上腺皮质癌的靶向治疗
Cancers (Basel). 2024 Dec 4;16(23):4061. doi: 10.3390/cancers16234061.
5
Development and Characterization of 3-Dimensional Cell Culture Models of Adrenocortical Carcinoma.肾上腺皮质癌三维细胞培养模型的建立与特性分析
Endocrinology. 2024 Nov 26;166(1). doi: 10.1210/endocr/bqae159.
6
Single-nucleus and spatial transcriptome reveal adrenal homeostasis in normal and tumoural adrenal glands.单细胞和空间转录组揭示正常和肿瘤肾上腺中的肾上腺稳态。
Clin Transl Med. 2024 Aug;14(8):e1798. doi: 10.1002/ctm2.1798.
7
Zuogui Pill Promotes Neurite Outgrowth by Regulating OPN/ IGF-1R/PTEN and Downstream mTOR Signaling Pathway.左归丸通过调节骨桥蛋白/胰岛素样生长因子-1受体/磷酸酶和张力蛋白同源物及下游雷帕霉素靶蛋白信号通路促进神经突生长。
Comb Chem High Throughput Screen. 2025;28(4):675-690. doi: 10.2174/0113862073295309240214060857.
8
Editorial: Adipokines and hormone-dependent cancers.社论:脂肪因子与激素依赖性癌症
Front Endocrinol (Lausanne). 2023 Dec 1;14:1340171. doi: 10.3389/fendo.2023.1340171. eCollection 2023.
9
Role of filamin A in the pathogenesis of neuroendocrine tumors and adrenal cancer.细丝蛋白A在神经内分泌肿瘤和肾上腺癌发病机制中的作用。
Endocr Oncol. 2022 Oct 28;2(1):R143-R152. doi: 10.1530/EO-22-0055. eCollection 2022 Jan.
10
Obesity and endocrine-related cancer: The important role of IGF-1.肥胖与内分泌相关癌症:IGF-1 的重要作用。
Front Endocrinol (Lausanne). 2023 Jan 23;14:1093257. doi: 10.3389/fendo.2023.1093257. eCollection 2023.
针对乳腺癌治疗中的胰岛素样生长因子-1 系统。
Cancer Treat Rev. 2018 Feb;63:79-95. doi: 10.1016/j.ctrv.2017.11.010. Epub 2017 Dec 6.
4
IGF-binding protein 2 is a candidate target of therapeutic potential in cancer.胰岛素样生长因子结合蛋白2是癌症治疗潜力的候选靶点。
Tumour Biol. 2016 Feb;37(2):1451-9. doi: 10.1007/s13277-015-4561-1. Epub 2015 Dec 9.
5
Linsitinib (OSI-906) versus placebo for patients with locally advanced or metastatic adrenocortical carcinoma: a double-blind, randomised, phase 3 study.林替司汀(OSI-906)对比安慰剂用于局部晚期或转移性肾上腺皮质癌患者:一项双盲、随机、III 期研究。
Lancet Oncol. 2015 Apr;16(4):426-35. doi: 10.1016/S1470-2045(15)70081-1. Epub 2015 Mar 18.
6
Characterization of the mTOR pathway in human normal adrenal and adrenocortical tumors.人正常肾上腺及肾上腺皮质肿瘤中mTOR信号通路的特征分析
Endocr Relat Cancer. 2014 Aug;21(4):601-13. doi: 10.1530/ERC-13-0112. Epub 2014 Jun 2.
7
Insulin-like growth factor 1 receptor inhibitors: where do we come from? What are we? Where are we going?胰岛素样生长因子1受体抑制剂:我们来自何方?我们是什么?我们将走向何方?
Cancer. 2014 Aug 15;120(16):2384-7. doi: 10.1002/cncr.28727. Epub 2014 May 2.
8
Adrenocortical carcinoma.肾上腺皮质癌。
Endocr Rev. 2014 Apr;35(2):282-326. doi: 10.1210/er.2013-1029. Epub 2013 Dec 20.
9
Genetics and epigenetics of adrenocortical tumors.肾上腺皮质肿瘤的遗传学和表观遗传学。
Mol Cell Endocrinol. 2014 Apr 5;386(1-2):67-84. doi: 10.1016/j.mce.2013.10.028. Epub 2013 Nov 9.
10
Insulin growth factor receptor (IGF-1R) antibody cixutumumab combined with the mTOR inhibitor temsirolimus in patients with metastatic adrenocortical carcinoma.胰岛素样生长因子受体(IGF-1R)抗体西妥昔单抗联合 mTOR 抑制剂替西罗莫司治疗转移性肾上腺皮质癌患者。
Br J Cancer. 2013 Mar 5;108(4):826-30. doi: 10.1038/bjc.2013.46. Epub 2013 Feb 14.