Suppr超能文献

一个甲状腺有超过30个伴有BRAF V600E激活突变的甲状腺乳头状癌病灶。

A thyroid gland with over 30 foci of papillary thyroid carcinoma with activating BRAF V600E mutation.

作者信息

Pancer Jill, Mitmaker Elliot, Ajise Oluyomi, Tabah Roger, How Jacques

机构信息

Division of Endocrinology, McGill University Health Centre, Montreal, Quebec, Canada.

Department of Surgery, McGill University Health Centre, Montreal, Quebec, Canada.

出版信息

Endocrinol Diabetes Metab Case Rep. 2019 Mar 18;2019. doi: 10.1530/EDM-19-0006.

Abstract

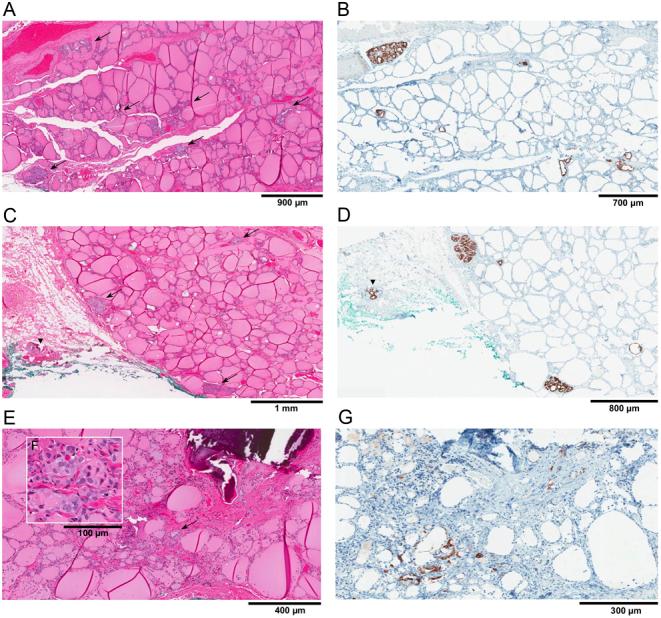
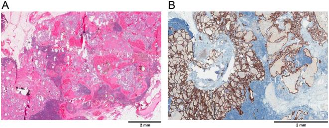
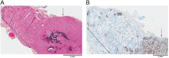
Multifocal papillary thyroid carcinoma (PTC) is common and the number of tumor foci rarely exceeds ten. The mechanism of multifocal disease is debated, with the two main hypotheses consisting of either intrathyroidal metastatic spread from a single tumor or independent multicentric tumorigenesis from distinct progenitor cells. We report the case of a 46-year-old woman who underwent total thyroidectomy and left central neck lymph node dissection after fine-needle aspiration of bilateral thyroid nodules that yielded cytological findings consistent with PTC. Final pathology of the surgical specimen showed an isthmic dominant 1.5 cm classical PTC and over 30 foci of microcarcinoma, which displayed decreasing density with increasing distance from the central lesion. Furthermore, all malignant tumors and lymph nodes harbored the activating BRAF V600E mutation. The present case highlights various pathological features that support a mechanism of intraglandular spread, namely a strategic isthmic location of the primary tumor, radial pattern of distribution and extensive number of small malignant foci and BRAF mutational homogeneity. Learning points: Multifocal papillary thyroid carcinoma (PTC) is commonly seen in clinical practice, but the number of malignant foci is usually limited to ten or less. There is no clear consensus in the literature as to whether multifocal PTC arises from a single or multiple distinct tumor progenitor cells. Strategic location of the dominant tumor in the thyroid isthmus may favor intraglandular dissemination of malignant cells by means of the extensive lymphatic network. An important pathological finding that may be suggestive of intrathyroidal metastatic spread is a central pattern of distribution with a reduction in the density of satellite lesions with increasing distance from the dominant focus. PTCs originating from the isthmus with intraglandular metastatic dissemination behave more aggressively. As such, a more aggressive treatment course may be warranted, particularly with regard to the extent of surgery.

摘要

多灶性乳头状甲状腺癌(PTC)很常见,肿瘤病灶数量很少超过10个。多灶性疾病的机制存在争议,两种主要假说是:要么是单个肿瘤在甲状腺内的转移扩散,要么是来自不同祖细胞的独立多中心肿瘤发生。我们报告了一例46岁女性病例,该患者在双侧甲状腺结节细针穿刺活检显示细胞学结果与PTC一致后,接受了全甲状腺切除术和左侧中央区颈部淋巴结清扫术。手术标本的最终病理显示,峡部有一个直径1.5 cm的典型PTC为主病灶,以及30多个微癌病灶,这些病灶随着与中央病灶距离的增加而密度降低。此外,所有恶性肿瘤和淋巴结均存在激活的BRAF V600E突变。本病例突出了各种支持腺体内播散机制的病理特征,即原发肿瘤的峡部战略位置、放射状分布模式、大量小的恶性病灶以及BRAF突变同质性。学习要点:多灶性乳头状甲状腺癌(PTC)在临床实践中很常见,但恶性病灶数量通常限制在10个或更少。关于多灶性PTC是源于单个还是多个不同的肿瘤祖细胞,文献中尚无明确共识。甲状腺峡部优势肿瘤的战略位置可能有利于通过广泛的淋巴网络实现腺体内恶性细胞的播散。一个可能提示甲状腺内转移扩散的重要病理发现是中央分布模式,随着与优势病灶距离的增加,卫星病灶密度降低。起源于峡部并伴有腺体内转移播散的PTC行为更具侵袭性。因此,可能需要更积极的治疗方案,尤其是在手术范围方面。

https://cdn.ncbi.nlm.nih.gov/pmc/blobs/108b/6432975/81b41b94c9c5/EDM19-0006fig1.jpg

文献AI研究员

20分钟写一篇综述,助力文献阅读效率提升50倍。

立即体验

用中文搜PubMed

大模型驱动的PubMed中文搜索引擎

马上搜索

文档翻译

学术文献翻译模型,支持多种主流文档格式。

立即体验