Kim Hye-Ran, Jung Bo-Kyoung, Yeo Min-Ho, Yoon Weon-Jong, Chang Kyung-Soo
Department of Clinical Laboratory Science, College of Health Sciences, Catholic University of Pusan, Busan 46252, Republic of Korea.
Department of Clinical Laboratory Science, College of Medical Sciences, Daegu Haany University, Gyeongsan 38610, Republic of Korea.
Toxicol Rep. 2019 Feb 23;6:215-221. doi: 10.1016/j.toxrep.2019.02.003. eCollection 2019.
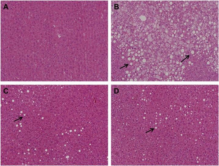
This study confirms the anti-obesity effect of the ethyl acetate fraction of (DRE), a member of Hamamelidaceae, that naturally grows on Jeju Island, on adipocyte differentiation in 3T3-L1 cells. This study further demonstrated that DRE exhibits anti-obesity effects in C57BL/6 obese mice. The degree of adipocyte differentiation was determined using Oil red O stain; results indicated a decrease in fat globules, which was dependent on DRE concentration, when pre-adipocytes were treated with differentiation-inducing agents. In addition, this significantly reduced the expression of the adipogenic transcription factor and related genes. C57BL/6 obese mice treated with DRE showed a lower rate of body weight gain than the high-fat diet (HFD) group mice. Further, the level of serum triglyceride in the DRE treatment group was lower than that in the HFD group. The findings show that DRE are capable of suppressing adipocyte accumulation; therefore, DRE may represent a promising source of functional materials for the anti-obesity.
本研究证实了济州岛天然生长的金缕梅科植物某提取物(DRE)的乙酸乙酯部位对3T3-L1细胞脂肪分化的抗肥胖作用。本研究进一步证明,DRE在C57BL/6肥胖小鼠中表现出抗肥胖作用。使用油红O染色法测定脂肪分化程度;结果表明,当用分化诱导剂处理前脂肪细胞时,脂肪球减少,且这取决于DRE的浓度。此外,这显著降低了脂肪生成转录因子和相关基因的表达。用DRE处理的C57BL/6肥胖小鼠的体重增加率低于高脂饮食(HFD)组小鼠。此外,DRE治疗组的血清甘油三酯水平低于HFD组。研究结果表明,DRE能够抑制脂肪细胞积累;因此,DRE可能是一种很有前途的抗肥胖功能材料来源。