Suppr超能文献

与可卡因使用相关的急性肾损伤谱:三例报告。

Spectrum of acute kidney injury associated with cocaine use: report of three cases.

机构信息

Nephrology Training Program, Department of Nephrology, Walter Cantídio University Hospital, Fortaleza, Brazil.

Medical Sciences Graduate Program, Department of Internal Medicine, School of Medicine, Federal University of Ceará, Fortaleza, Brazil.

出版信息

BMC Nephrol. 2019 Mar 20;20(1):99. doi: 10.1186/s12882-019-1279-0.

Abstract

BACKGROUND

The consequences of cocaine use are multisystemic, such as, for instance, renal failure, hepatotoxicity and pulmonary toxicity, with renal alterations being the focus of the present study. The use of substances that modify the base composition of cocaine (or adulterants) aiming to potentiate its effects also has an impact on these manifestations. The present study aims to report three cases with different diagnosis of acute kidney injury related to cocaine use.

CASE PRESENTATION

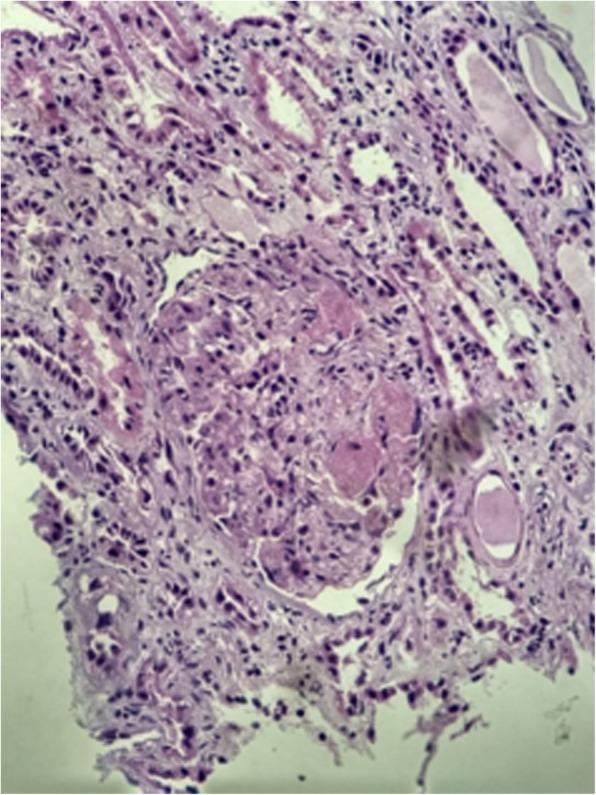
Case 01 - A 30-year-old female patient, who regularly used cocaine, started to have lower-limb edema, which showed a progressive and ascending evolution, affecting the face a few days later, associated with an isolated febrile episode and oligoanuria. The presence of cytoplasmic antineutrophil cytoplasmic antibodies (C-ANCA) was verified: reactive 1:80, with renal biopsy compatible with rapidly progressive glomerulonephritis (RPGN). Case 02 - A 34-year-old female patient, with difficult-to-control hypertension and a frequent user of cocaine, showed generalized sudden edema together with diffuse and progressive pruritus associated with oliguria, fever, nausea, and vomiting. Schistocyte screening was positive, with negative direct Coombs test, and negative serologies for hepatitis B, C and HIV, as well as negative anti-double-stranded DNA, Anti-SSA and Anti-SSB. The renal biopsy was compatible with thrombotic microangiopathy, associated with moderate interstitial fibrosis and acute tubular necrosis Case 03 - A 25-year-old male patient who had been a cocaine user for 5 years had a sudden onset of generalized disabling myalgia (especially in the lower limbs) associated with recent frontotemporal headache, palpitation, dizziness, and a non-measured febrile episode; the patient had used cocaine at the night before symptom onset. CPK was 1731 U/L.The final probable diagnosis was AKI secondary to cocaine-induced rhabdomyolysis.

CONCLUSIONS

In conclusion basically, 05 etiologies of acute kidney injury should always be remembered: rhabdomyolysis, thrombotic microangiopathy, vasculitis, acute interstitial nephritis and renal infarction. Emphasis should be given to rhabdomyolysis due to its higher prevalence. Considering the increasing rates of cocaine use, especially with the use of adulterating substances, these pathologies will likely be increasingly prevalent.

摘要

背景

可卡因的使用后果是多系统的,例如肾衰竭、肝毒性和肺毒性,肾脏改变是本研究的重点。为了增强其效果而使用改变可卡因碱基组成的物质(或掺杂物)也会对这些表现产生影响。本研究旨在报告三例与可卡因使用相关的急性肾损伤不同诊断的病例。

病例介绍

病例 01-一位 30 岁的女性患者,经常使用可卡因,开始出现下肢水肿,几天后逐渐向上发展,影响面部,伴有孤立的发热和少尿。检测到细胞质抗中性粒细胞胞浆抗体(C-ANCA):阳性 1:80,肾活检符合急进性肾小球肾炎(RPGN)。病例 02-一位 34 岁的女性患者,患有难以控制的高血压,经常使用可卡因,出现全身突然水肿,同时伴有弥漫性、进行性瘙痒,伴有少尿、发热、恶心和呕吐。血片有棘红细胞,直接抗人球蛋白试验阴性,乙型肝炎、丙型肝炎和 HIV 血清学阴性,抗双链 DNA、抗 SSA 和抗 SSB 阴性。肾活检符合血栓性微血管病,伴有中度间质纤维化和急性肾小管坏死。病例 03-一位 25 岁的男性患者,使用可卡因 5 年,突然出现全身乏力性肌痛(尤其是下肢),伴有近期额颞部头痛、心悸、头晕和未测发热;患者在症状发作前一晚使用了可卡因。CPK 为 1731U/L。最终的可能诊断为可卡因诱导的横纹肌溶解症继发的急性肾损伤。

结论

总之,应始终记住急性肾损伤的五种病因:横纹肌溶解症、血栓性微血管病、血管炎、急性间质性肾炎和肾梗死。由于其更高的患病率,应特别强调横纹肌溶解症。考虑到可卡因使用率的增加,尤其是掺杂物的使用,这些病变的发病率可能会越来越高。

https://cdn.ncbi.nlm.nih.gov/pmc/blobs/18e6/6427899/830ed33e792f/12882_2019_1279_Fig1_HTML.jpg

文献AI研究员

20分钟写一篇综述,助力文献阅读效率提升50倍。

立即体验

用中文搜PubMed

大模型驱动的PubMed中文搜索引擎

马上搜索

文档翻译

学术文献翻译模型,支持多种主流文档格式。

立即体验