Suppr超能文献

补肾康衰片通过改善载脂蛋白E小鼠肝脏脂联素抵抗减轻肝脂肪变性。

BuShenKangShuai Tablet Alleviates Hepatic Steatosis via Improving Liver Adiponectin Resistance in ApoE Mice.

作者信息

Pang Shu-Chao, Wang Shuo, Chen Mei-Ling, Zhang Jun-Ping, Wang Yuan-Yuan, Jia Hui-Yun, Bi Li-Yuan, Wang Hui

机构信息

First Teaching Hospital of Tianjin University of Traditional Chinese Medicine, Tianjin 300193, China.

Tianjin University of Traditional Chinese Medicine, Tianjin 300193, China.

出版信息

Evid Based Complement Alternat Med. 2019 Feb 13;2019:8986038. doi: 10.1155/2019/8986038. eCollection 2019.

Abstract

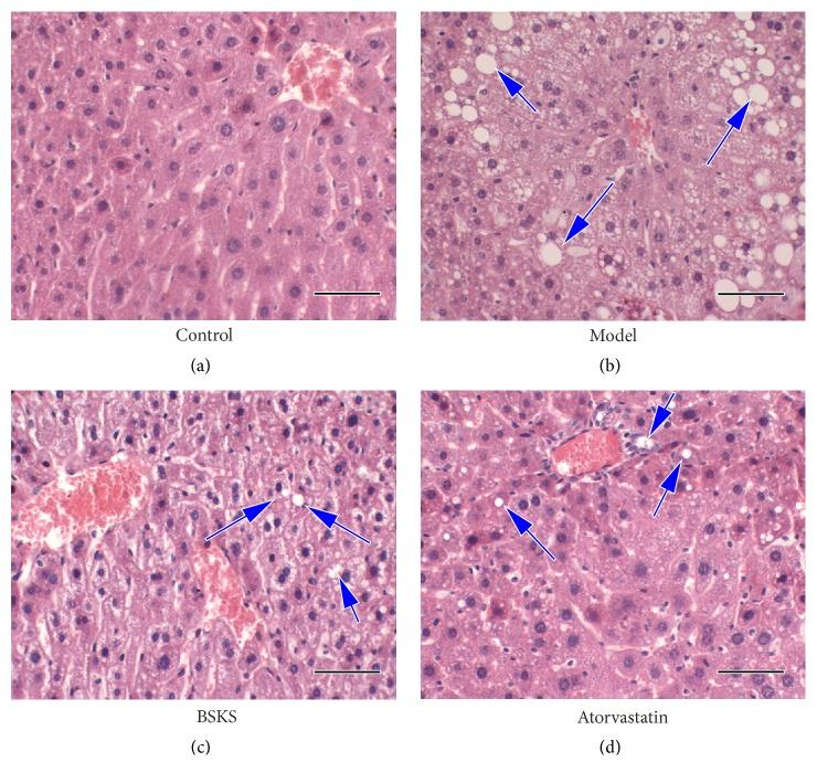
BuShenKangShuai tablet (BSKS) is a Chinese herbal compound, which has been used to treat nonalcoholic fatty liver disease and cardiovascular diseases in clinic for over four decades. This study intends to explore whether BSKS administration can alleviates hepatic steatosis via improving liver adiponectin resistance in ApoE mice. ApoE mice were fed with western-type diet for 6 weeks and then were administrated with BSKS or atorvastatin for 6 weeks by gavage, and then blood and liver were collected for analysis. The results showed that BSKS attenuated hepatic steatosis, decreased blood lipids, and increased the serum level of adiponectin. We also found that adiponectin resistance in the liver was improved by BSKS, while the expression of TLR4 and NF-B p65 was inhibited, followed by the suppression of proinflammatory mediators of TNF-. Our data provided evidence that BSKS was able to alleviate hepatic steatosis in vivo. The underlying mechanism of BSKS was focused on improving liver adiponectin resistance, thereby regulating dyslipidemia and inhibiting inflammatory signaling pathway.

摘要

补肾康衰片(BSKS)是一种中药复方制剂,已在临床上用于治疗非酒精性脂肪性肝病和心血管疾病四十余年。本研究旨在探讨给予BSKS是否能通过改善ApoE小鼠肝脏脂联素抵抗来减轻肝脂肪变性。将ApoE小鼠喂饲西式饮食6周,然后通过灌胃给予BSKS或阿托伐他汀6周,随后采集血液和肝脏进行分析。结果显示,BSKS减轻了肝脂肪变性,降低了血脂,并提高了血清脂联素水平。我们还发现,BSKS改善了肝脏脂联素抵抗,同时抑制了TLR4和NF-κB p65的表达,进而抑制了促炎介质TNF-α的产生。我们的数据提供了证据表明BSKS能够在体内减轻肝脂肪变性。BSKS的潜在机制集中在改善肝脏脂联素抵抗,从而调节血脂异常并抑制炎症信号通路。

https://cdn.ncbi.nlm.nih.gov/pmc/blobs/6c21/6393934/ed278ea6a974/ECAM2019-8986038.001.jpg

文献检索

告别复杂PubMed语法,用中文像聊天一样搜索,搜遍4000万医学文献。AI智能推荐,让科研检索更轻松。

立即免费搜索

文件翻译

保留排版,准确专业,支持PDF/Word/PPT等文件格式,支持 12+语言互译。

免费翻译文档

深度研究

AI帮你快速写综述,25分钟生成高质量综述,智能提取关键信息,辅助科研写作。

立即免费体验