Department of Biological Sciences, The University of Alabama, Tuscaloosa, United States.
Elife. 2019 Apr 3;8:e45393. doi: 10.7554/eLife.45393.
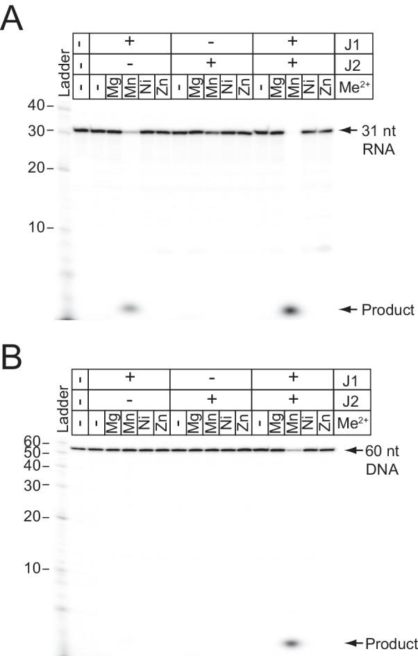
CRISPR-Cas systems provide sequence-specific immunity against phages and mobile genetic elements using CRISPR-associated nucleases guided by short CRISPR RNAs (crRNAs). Type III systems exhibit a robust immune response that can lead to the extinction of a phage population, a feat coordinated by a multi-subunit effector complex that destroys invading DNA and RNA. Here, we demonstrate that a model type III system in relies upon the activities of two degradosome-associated nucleases, PNPase and RNase J2, to mount a successful defense. Genetic, molecular, and biochemical analyses reveal that PNPase promotes crRNA maturation, and both nucleases are required for efficient clearance of phage-derived nucleic acids. Furthermore, functional assays show that RNase J2 is essential for immunity against diverse mobile genetic elements originating from plasmid and phage. Altogether, our observations reveal the evolution of a critical collaboration between two nucleic acid degrading machines which ensures cell survival when faced with phage attack.
CRISPR-Cas 系统使用由短 CRISPR RNA(crRNA)引导的 CRISPR 相关核酸酶,针对噬菌体和移动遗传元件提供序列特异性免疫。III 型系统表现出强大的免疫反应,可导致噬菌体种群灭绝,这一壮举由一个多亚基效应复合物协调完成,该复合物可破坏入侵的 DNA 和 RNA。在这里,我们证明了依赖于两个降解体相关核酸酶 PNPase 和 RNase J2 的活性来进行成功防御的模型 III 型系统。遗传、分子和生化分析表明,PNPase 促进 crRNA 的成熟,并且两种核酸酶都需要有效地清除噬菌体衍生的核酸。此外,功能测定表明,RNase J2 对于针对源自质粒和噬菌体的各种移动遗传元件的免疫是必需的。总之,我们的观察结果揭示了两种核酸降解机器之间的关键协作的进化,当面临噬菌体攻击时,这确保了细胞的存活。