• 文献检索
  • 文档翻译
  • 深度研究
  • 学术资讯
  • Suppr Zotero 插件Zotero 插件
  • 邀请有礼
  • 套餐&价格
  • 历史记录
应用&插件
Suppr Zotero 插件Zotero 插件浏览器插件Mac 客户端Windows 客户端微信小程序
定价
高级版会员购买积分包购买API积分包
服务
文献检索文档翻译深度研究API 文档MCP 服务
关于我们
关于 Suppr公司介绍联系我们用户协议隐私条款
关注我们

Suppr 超能文献

核心技术专利:CN118964589B侵权必究
粤ICP备2023148730 号-1Suppr @ 2026

文献检索

告别复杂PubMed语法,用中文像聊天一样搜索,搜遍4000万医学文献。AI智能推荐,让科研检索更轻松。

立即免费搜索

文件翻译

保留排版,准确专业,支持PDF/Word/PPT等文件格式,支持 12+语言互译。

免费翻译文档

深度研究

AI帮你快速写综述,25分钟生成高质量综述,智能提取关键信息,辅助科研写作。

立即免费体验

股骨颈骨折后感染性关节炎:一例报告。

Septic arthritis following femoral neck fracture: A case report.

作者信息

Chewakidakarn Chulin, Nawatthakul Anuchit, Suksintharanon Methasit, Yuenyongviwat Varah

机构信息

Department of Orthopedics, Faculty of Medicine, Prince of Songkla University, Songkhla, 90110, Thailand.

出版信息

Int J Surg Case Rep. 2019;57:167-169. doi: 10.1016/j.ijscr.2019.03.016. Epub 2019 Apr 4.

DOI:10.1016/j.ijscr.2019.03.016
PMID:30974413
原文链接:https://pmc.ncbi.nlm.nih.gov/articles/PMC6460221/
Abstract

INTRODUCTION

Femoral neck fracture is common in the elderly, especially in the era of aging populations. Septic arthritis of the hip after femoral neck fracture is a rare complication. There are limited reports on this complication especially in patients without a severe medical condition and there is no consensus on the method of treatment of this complication.

CASE PRESENTATION

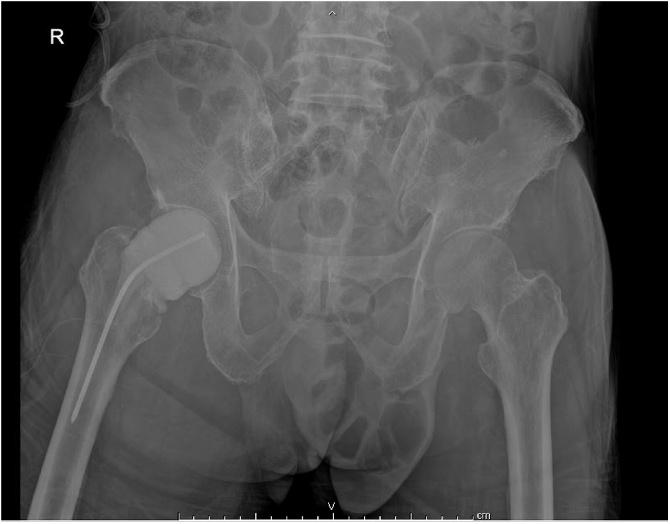
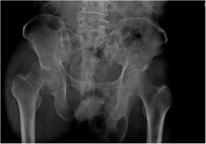
A 75-year-old male had right hip pain for two weeks after falling on his right hip. The patient was diagnosed as pathological fracture with hematologic malignancy. He was scheduled for bipolar hemiarthroplasty. However, an intraoperative finding found that the hip joint was filled with pus. The treatment was successful with a two-stage procedure. The first stage was implantation of an antibiotic cement spacer and the second stage was total hip replacement.

CONCLUSION

Septic arthritis following femoral neck fracture is a complication which requires special attention for the diagnosis and treatment. Increasing hip pain or the developing signs of infection in patients awaiting surgery may indicate infection in the hip. The two-stage procedure is the treatment of choice in this condition.

摘要

引言

股骨颈骨折在老年人中很常见,尤其是在人口老龄化的时代。股骨颈骨折后髋关节感染性关节炎是一种罕见的并发症。关于这种并发症的报道有限,特别是在没有严重基础疾病的患者中,并且对于这种并发症的治疗方法尚无共识。

病例报告

一名75岁男性在右髋部摔倒后右髋部疼痛两周。该患者被诊断为血液系统恶性肿瘤导致的病理性骨折。他计划接受双极半髋关节置换术。然而,术中发现髋关节充满脓液。通过两阶段手术治疗成功。第一阶段是植入抗生素骨水泥间隔物,第二阶段是全髋关节置换。

结论

股骨颈骨折后感染性关节炎是一种在诊断和治疗上需要特别关注的并发症。等待手术的患者髋部疼痛加剧或出现感染迹象可能提示髋关节感染。在这种情况下,两阶段手术是首选的治疗方法。

https://cdn.ncbi.nlm.nih.gov/pmc/blobs/d7c4/6460221/64e72f7c7fdd/gr4.jpg
https://cdn.ncbi.nlm.nih.gov/pmc/blobs/d7c4/6460221/437e191b24b2/gr1.jpg
https://cdn.ncbi.nlm.nih.gov/pmc/blobs/d7c4/6460221/64737f178a96/gr2.jpg
https://cdn.ncbi.nlm.nih.gov/pmc/blobs/d7c4/6460221/0a788b697919/gr3.jpg
https://cdn.ncbi.nlm.nih.gov/pmc/blobs/d7c4/6460221/64e72f7c7fdd/gr4.jpg
https://cdn.ncbi.nlm.nih.gov/pmc/blobs/d7c4/6460221/437e191b24b2/gr1.jpg
https://cdn.ncbi.nlm.nih.gov/pmc/blobs/d7c4/6460221/64737f178a96/gr2.jpg
https://cdn.ncbi.nlm.nih.gov/pmc/blobs/d7c4/6460221/0a788b697919/gr3.jpg
https://cdn.ncbi.nlm.nih.gov/pmc/blobs/d7c4/6460221/64e72f7c7fdd/gr4.jpg

相似文献

1
Septic arthritis following femoral neck fracture: A case report.股骨颈骨折后感染性关节炎:一例报告。
Int J Surg Case Rep. 2019;57:167-169. doi: 10.1016/j.ijscr.2019.03.016. Epub 2019 Apr 4.
2
Fractures of the femoral neck: a review and personal statement.股骨颈骨折:综述与个人观点
Acta Chir Orthop Traumatol Cech. 2006;73(1):45-59.
3
What Are the Risk Factors for Dislocation of Hip Bipolar Hemiarthroplasty Through the Anterolateral Approach? A Nested Case-control Study.经前外侧入路的髋关节双极半关节置换术脱位的危险因素有哪些?一项巢式病例对照研究。
Clin Orthop Relat Res. 2016 Dec;474(12):2622-2629. doi: 10.1007/s11999-016-5053-3. Epub 2016 Aug 30.
4
Simultaneous Bilateral Fracture of Femoral Neck in Korea: A Case Report.韩国双侧股骨颈同时骨折:一例报告
Hip Pelvis. 2015 Mar;27(1):53-6. doi: 10.5371/hp.2015.27.1.53. Epub 2015 Mar 31.
5
Anterior Hip Fracture Dislocation with Intrapelvic Retention of the Femoral Head and Ureter Fistula.伴有股骨头盆腔内滞留及输尿管瘘的髋部前骨折脱位
J Orthop Case Rep. 2014 Jul-Sep;4(3):40-2. doi: 10.13107/jocr.2250-0685.193.
6
Bipolar Hemiarthroplasty of Hip in an Unstable Angina Patient: A Case Report.不稳定型心绞痛患者的双极髋关节半关节置换术:一例报告
J Orthop Case Rep. 2018 Nov-Dec;8(6):42-45. doi: 10.13107/jocr.2250-0685.1250.
7
Intraoperative blood pressure changes during cemented versus uncemented bipolar hemiarthroplasty for displaced femoral neck fracture: a multi-center cohort study : The effect of bone cement for bipolar hemiarthroplasty in elderly patients.骨水泥型与非骨水泥型双极半髋关节置换术治疗移位型股骨颈骨折术中血压变化:一项多中心队列研究:骨水泥在老年患者双极半髋关节置换术中的作用
Arch Orthop Trauma Surg. 2017 Apr;137(4):523-529. doi: 10.1007/s00402-017-2651-9. Epub 2017 Feb 17.
8
Postoperative stroke after hemiarthroplasty for femoral neck fracture: a report of 2 cases and review of literature.人工股骨头置换术后股骨颈骨折术后卒中:2 例报告及文献复习。
J Patient Saf. 2014 Jun;10(2):117-20. doi: 10.1097/PTS.0000000000000063.
9
[Capsular-enhanced repair with suture anchors in bipolar hemiarthroplasty for the treatment of femoral neck fractures in elderly patients].[双极半髋关节置换术中使用缝线锚钉进行关节囊增强修复治疗老年股骨颈骨折]
Zhongguo Gu Shang. 2017 Apr 25;30(4):313-317. doi: 10.3969/j.issn.1003-0034.2017.04.006.
10
Comparing Complications and Costs of Total Hip Arthroplasty and Hemiarthroplasty for Femoral Neck Fractures: A Propensity Score-Matched, Population-Based Study.比较全髋关节置换术与人工股骨头置换术治疗股骨颈骨折的并发症和成本:基于倾向评分匹配的人群研究。
J Bone Joint Surg Am. 2019 Apr 3;101(7):572-579. doi: 10.2106/JBJS.18.00539.

引用本文的文献

1
A Rare Case of Septic Arthritis of the Knee Associated with Pathological Neck of Femur Fracture Caused by Serratia Marcescens - A Case Report.由粘质沙雷氏菌引起的股骨病理性颈骨折合并膝关节感染性关节炎的罕见病例——病例报告
J Orthop Case Rep. 2025 Sep;15(9):37-42. doi: 10.13107/jocr.2025.v15.i09.6006.
2
Infected closed pelvic fractures in two adults - Case report.两名成人感染性闭合性骨盆骨折——病例报告
Int J Surg Case Rep. 2024 Sep;122:110142. doi: 10.1016/j.ijscr.2024.110142. Epub 2024 Aug 9.
3
Imaging in Septic Arthritis With Inflammatory Neuritis: Diagnosing a Rare Complication.

本文引用的文献

1
The SCARE 2018 statement: Updating consensus Surgical CAse REport (SCARE) guidelines.SCARE 2018 声明:更新共识手术病例报告(SCARE)指南。
Int J Surg. 2018 Dec;60:132-136. doi: 10.1016/j.ijsu.2018.10.028. Epub 2018 Oct 18.
2
One-Stage Revision for Infected Total Hip Arthroplasty.感染性全髋关节置换术的一期翻修
Orthop Clin North Am. 2016 Jan;47(1):11-8. doi: 10.1016/j.ocl.2015.08.004.
3
Arthroplasty following a septic arthritis history: a 53 cases series.关节炎手术后感染性关节炎病史:53 例系列。
伴有炎性神经炎的化脓性关节炎的影像学检查:诊断一种罕见并发症
Cureus. 2024 Jun 5;16(6):e61771. doi: 10.7759/cureus.61771. eCollection 2024 Jun.
4
[Septic hip arthritis after a closed acetabulum fracture treated conservatively. Case report].[保守治疗闭合性髋臼骨折后发生的化脓性髋关节炎。病例报告]
Rev Fac Cien Med Univ Nac Cordoba. 2022 Jun 6;79(2):197-200. doi: 10.31053/1853.0605.v79.n2.33158.
5
Closed infected tibial plateau fracture and tibial tubercle avulsion: A case report.闭合性感染性胫骨平台骨折合并胫骨结节撕脱:一例报告
Int J Surg Case Rep. 2020;72:624-627. doi: 10.1016/j.ijscr.2020.06.096. Epub 2020 Jun 25.
Orthop Traumatol Surg Res. 2010 Dec;96(8):840-3. doi: 10.1016/j.otsr.2010.06.009. Epub 2010 Oct 28.
4
Septic arthritis of the hip in relation with femoral neck fracture: a report of three cases.髋关节感染性关节炎与股骨颈骨折的关系:三例报告
Orthopedics. 2008 Jan;31(1):83. doi: 10.3928/01477447-20080101-09.
5
Total hip arthroplasty for primary septic arthritis of the hip in adults.成人髋关节原发性化脓性关节炎的全髋关节置换术。
Int Orthop. 2008 Oct;32(5):573-80. doi: 10.1007/s00264-007-0366-1. Epub 2007 May 5.
6
Nonoperative treatment of hip fractures.髋部骨折的非手术治疗
Int Orthop. 2003;27(1):11-7. doi: 10.1007/s00264-002-0404-y. Epub 2002 Nov 12.
7
Unrecognised septic arthritis following fracture of the proximal femur in patients awaiting surgery.等待手术的股骨近端骨折患者发生未被识别的化脓性关节炎。
Injury. 2002 Jun;33(5):457-9. doi: 10.1016/s0020-1383(02)00027-x.
8
Hip fracture.髋部骨折
N Engl J Med. 1996 Jun 6;334(23):1519-25. doi: 10.1056/NEJM199606063342307.
9
Hip fractures in the elderly: a world-wide projection.老年人髋部骨折:全球预测
Osteoporos Int. 1992 Nov;2(6):285-9. doi: 10.1007/BF01623184.