Suppr超能文献

阻塞性睡眠呼吸暂停患者持续性低氧血症的罕见病因。

Uncommon cause of persistent hypoxia in a patient with obstructive sleep apnea.

作者信息

Mahto Subodh Kumar, Gupta Pankaj Kumar, Majumdar Pritam, War Gwenette Andrea, Mittal Vishakha, Goel Atul

机构信息

Department of Medicine, PGIMER, Dr. RML Hospital, New Delhi, India.

Department of Medicine, Smt. Sucheta Kriplani Hospital and LHMC, New Delhi, India.

出版信息

J Family Med Prim Care. 2019 Feb;8(2):763-765. doi: 10.4103/jfmpc.jfmpc_3_19.

Abstract

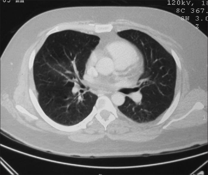
We report a case of hypothyroidism, obstructive sleep apnea (OSA) with persistent daytime hypoxemia. Cause of hypoxemia was two arteriovenous (AV) malformations in the lower lobe of the lung. We must be alert to other causes of hypoxemia in patients of OSA with persistent daytime hypoxemia.

摘要

我们报告一例甲状腺功能减退症合并阻塞性睡眠呼吸暂停(OSA)且伴有持续性日间低氧血症的病例。低氧血症的原因是肺下叶的两个动静脉畸形。对于患有持续性日间低氧血症的OSA患者,我们必须警惕低氧血症的其他原因。

https://cdn.ncbi.nlm.nih.gov/pmc/blobs/b99e/6436244/62e80c3dca7b/JFMPC-8-763-g001.jpg

文献AI研究员

20分钟写一篇综述,助力文献阅读效率提升50倍。

立即体验

用中文搜PubMed

大模型驱动的PubMed中文搜索引擎

马上搜索

文档翻译

学术文献翻译模型,支持多种主流文档格式。

立即体验