Department of Experimental Medical Science, Experimental Neuroinflammation Laboratory, Lund University, 221 84, Lund, Sweden.
Departamento de Bioquímica y Biología Molecular, Instituto de Biomedicina de Sevilla (IBiS, HUVR/CSIC/Universidad de Sevilla), Universidad de Sevilla, Seville, Spain.
Acta Neuropathol. 2019 Aug;138(2):251-273. doi: 10.1007/s00401-019-02013-z. Epub 2019 Apr 20.
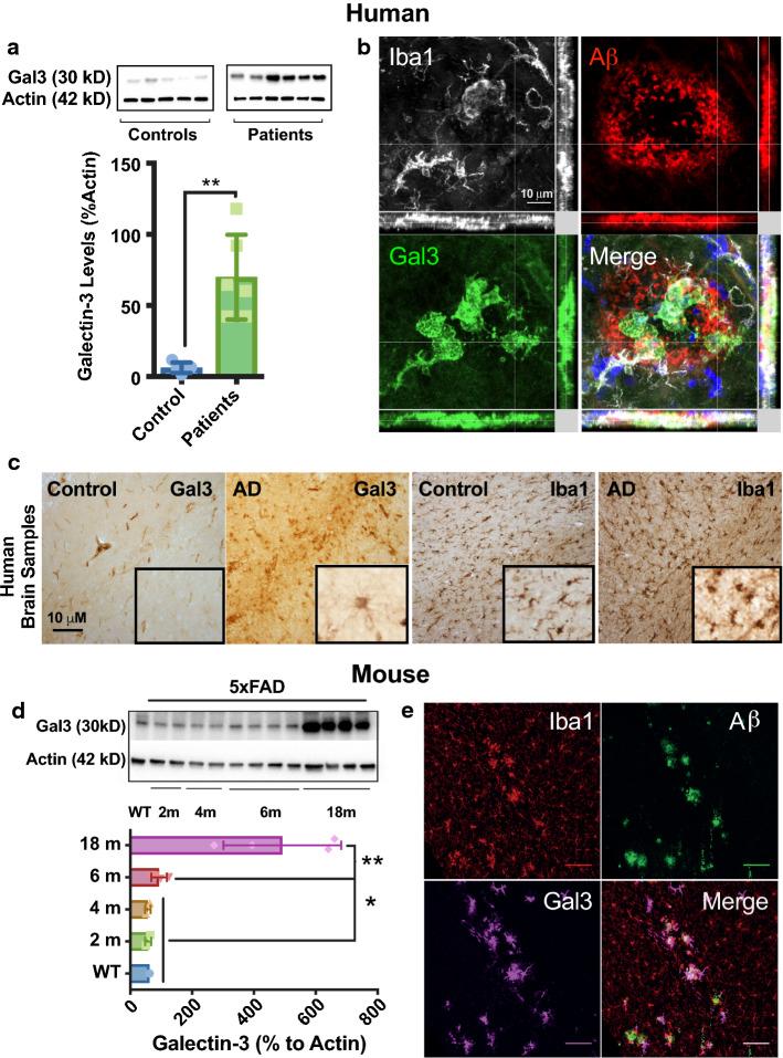
Alzheimer's disease (AD) is a progressive neurodegenerative disease in which the formation of extracellular aggregates of amyloid beta (Aβ) peptide, fibrillary tangles of intraneuronal tau and microglial activation are major pathological hallmarks. One of the key molecules involved in microglial activation is galectin-3 (gal3), and we demonstrate here for the first time a key role of gal3 in AD pathology. Gal3 was highly upregulated in the brains of AD patients and 5xFAD (familial Alzheimer's disease) mice and found specifically expressed in microglia associated with Aβ plaques. Single-nucleotide polymorphisms in the LGALS3 gene, which encodes gal3, were associated with an increased risk of AD. Gal3 deletion in 5xFAD mice attenuated microglia-associated immune responses, particularly those associated with TLR and TREM2/DAP12 signaling. In vitro data revealed that gal3 was required to fully activate microglia in response to fibrillar Aβ. Gal3 deletion decreased the Aβ burden in 5xFAD mice and improved cognitive behavior. Interestingly, a single intrahippocampal injection of gal3 along with Aβ monomers in WT mice was sufficient to induce the formation of long-lasting (2 months) insoluble Aβ aggregates, which were absent when gal3 was lacking. High-resolution microscopy (stochastic optical reconstruction microscopy) demonstrated close colocalization of gal3 and TREM2 in microglial processes, and a direct interaction was shown by a fluorescence anisotropy assay involving the gal3 carbohydrate recognition domain. Furthermore, gal3 was shown to stimulate TREM2-DAP12 signaling in a reporter cell line. Overall, our data support the view that gal3 inhibition may be a potential pharmacological approach to counteract AD.
阿尔茨海默病(AD)是一种进行性神经退行性疾病,其中淀粉样β(Aβ)肽的细胞外聚集物、神经元内的纤维缠结和小胶质细胞的激活是主要的病理标志。小胶质细胞激活涉及的关键分子之一是半乳糖凝集素-3(gal3),我们在这里首次证明了 gal3 在 AD 病理学中的关键作用。gal3 在 AD 患者和 5xFAD(家族性阿尔茨海默病)小鼠的大脑中高度上调,并发现其特异性表达于与 Aβ斑块相关的小胶质细胞中。LGALS3 基因(编码 gal3)的单核苷酸多态性与 AD 风险增加相关。5xFAD 小鼠中 gal3 的缺失减弱了小胶质细胞相关的免疫反应,特别是与 TLR 和 TREM2/DAP12 信号有关的反应。体外数据表明,gal3 是小胶质细胞对纤维状 Aβ完全激活所必需的。gal3 的缺失减少了 5xFAD 小鼠的 Aβ负担并改善了认知行为。有趣的是,在 WT 小鼠中,单次海马内注射 gal3 连同 Aβ单体足以诱导形成持久的(2 个月)不溶性 Aβ聚集物,而当缺乏 gal3 时则不存在。高分辨率显微镜(随机光学重建显微镜)显示 gal3 和 TREM2 在小胶质细胞突起中紧密共定位,并且荧光各向异性测定显示了两者之间的直接相互作用,该测定涉及 gal3 碳水化合物识别结构域。此外,gal3 被证明可以刺激报告细胞系中的 TREM2-DAP12 信号。总体而言,我们的数据支持抑制 gal3 可能是对抗 AD 的潜在药物治疗方法的观点。