Suppr超能文献

先天性巨尿道-肛门闭锁的产前诊断。

Prenatal diagnosis of congenital megalourethra with imperforate anus.

机构信息

Department of Obstetrics and Gynecology, Chang Gung Memorial Hospital and Chang Gung University, LinKou, Republic of China.

Department of Obstetrics and Gynecology, Chang Gung Memorial Hospital and Chang Gung University, 5, Fu Shin street, Kwei Shan, Tao Yuan, 333, Taiwan.

出版信息

BMC Pediatr. 2019 Apr 23;19(1):123. doi: 10.1186/s12887-019-1510-y.

Abstract

BACKGROUND

Congenital megalourethra is a rare prenatal finding while prenatal diagnosis of imperforate anus poses high challenge. This is the first prenatally ultrasound diagnosed case which had congenital megalourethra and imperforate anus. This case demonstrated the possibility of using the prenatal imaging findings to evaluate the postnatal prognostic outcomes in multi-organ anomalies.

CASE

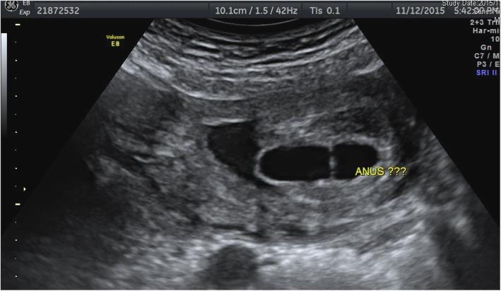
We present a case of congenital megalourethra, diagnosed prenatally at 22 weeks' gestation, in which the penis appeared severe dilated with complete absence of the corpora spongiosa and cavernosa. This case also revealed absence of perianal muscle which was in associated with imperforate anus. Detailed prenatal ultrasonographic findings predicted the high possibility of poor outcome of the fetus in the pulmonary, renal, and sexual functions.

CONCLUSION

This case serves to identify not only the marked bilateral hydronephrosis features but also the striking lower urethral malformation with obstruction flow effect of the penis. Indeed we believe this is the first case report of a rare case of fetal megalourethra associated with imperforate anus at early second trimester on ultrasonography imaging.

摘要

背景

先天性巨尿道是一种罕见的产前发现,而先天性肛门闭锁的产前诊断具有很高的挑战性。这是首例产前超声诊断的先天性巨尿道伴先天性肛门闭锁病例。该病例展示了利用产前影像学发现评估多器官畸形患儿出生后预后结局的可能性。

病例

我们报告了一例先天性巨尿道病例,该病例在 22 孕周时被产前超声诊断,其阴茎严重扩张,海绵体和阴茎海绵体完全缺失。该病例还显示了肛门周围肌肉缺失,与先天性肛门闭锁有关。详细的产前超声检查结果预测了胎儿在肺部、肾脏和性功能方面不良结局的可能性较高。

结论

本病例不仅可以识别明显的双侧肾积水特征,还可以发现明显的下尿道畸形伴阴茎梗阻性流态。事实上,我们相信这是首例在妊娠中期超声图像上显示罕见的胎儿巨尿道伴先天性肛门闭锁的病例报告。

https://cdn.ncbi.nlm.nih.gov/pmc/blobs/68ce/6477713/4d28a9992bab/12887_2019_1510_Fig1_HTML.jpg

文献检索

告别复杂PubMed语法,用中文像聊天一样搜索,搜遍4000万医学文献。AI智能推荐,让科研检索更轻松。

立即免费搜索

文件翻译

保留排版,准确专业,支持PDF/Word/PPT等文件格式,支持 12+语言互译。

免费翻译文档

深度研究

AI帮你快速写综述,25分钟生成高质量综述,智能提取关键信息,辅助科研写作。

立即免费体验