Suppr超能文献

乙状结肠罕见类型黏膜下息肉-血管脂肪瘤病例报告

Case Report of Rare Type Submucosal Polyp-Angiolipofibroma of Sigmoid Colon.

作者信息

Aye Khin San, Zan Aung Khine, Tin Myo Thet, Aye Than Than

机构信息

Department of Gastroenterology, University of Medicine 2, Yangon, Myanmar.

Yangon General Hospital, Myanmar.

出版信息

Case Rep Gastrointest Med. 2019 Mar 19;2019:1896275. doi: 10.1155/2019/1896275. eCollection 2019.

Abstract

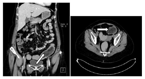
Most of the colonic submucosal mesenchymal polyps are benign tumors. They are formed by more than one type of mesenchymal tissue. The diagnosis of angiolipofibroma depends on the histological findings with the proliferation of vascular, fatty, and fibrous connective tissues. Majority of angiolipofibromas are arising in the kidney and have rare presentation as extra renal region. Here we report a case of 58-year-old female patient with angiolipofibroma of sigmoid colon (8.5 cm x 4 cm size) which was treated successfully with surgical resection. The clinical presentation, operative procedure, pathological features, and medical literature review are presented.

摘要

大多数结肠黏膜下间质息肉是良性肿瘤。它们由不止一种类型的间质组织构成。血管脂肪瘤的诊断取决于血管、脂肪和纤维结缔组织增生的组织学表现。大多数血管脂肪瘤发生于肾脏,在肾外区域表现罕见。在此,我们报告一例58岁女性患者,患有乙状结肠血管脂肪瘤(大小为8.5厘米×4厘米),经手术切除成功治疗。本文介绍了临床表现、手术过程、病理特征以及医学文献综述。

https://cdn.ncbi.nlm.nih.gov/pmc/blobs/3e9f/6444259/a655d295c822/CRIGM2019-1896275.001.jpg

相似文献

1
Case Report of Rare Type Submucosal Polyp-Angiolipofibroma of Sigmoid Colon.
Case Rep Gastrointest Med. 2019 Mar 19;2019:1896275. doi: 10.1155/2019/1896275. eCollection 2019.
2
Angiolipofibroma of the cecum: a rare type of submucosal polyp.
Case Rep Pathol. 2013;2013:737015. doi: 10.1155/2013/737015. Epub 2013 May 28.
3
Intestinal Angiolipofibroma: Clinicopathologic Characteristics of 11 Cases.
Int J Surg Pathol. 2020 Sep;28(6):609-615. doi: 10.1177/1066896920916832. Epub 2020 May 4.
5
Case Report: Schwannoma of the sigmoid colon: a case report of a rare colonic neoplasm and review of literature.
F1000Res. 2019 May 13;8:652. doi: 10.12688/f1000research.19110.1. eCollection 2019.
6
Intraosseous angio-lipo-fibroma of the mandible: Report of a rare case with review of literature.
Int J Surg Case Rep. 2024 Jun;119:109651. doi: 10.1016/j.ijscr.2024.109651. Epub 2024 Apr 20.
7
Colonic muco-submucosal elongated polyp: diagnosis with endoscopic ultrasound.
Br J Radiol. 2005 May;78(929):419-21. doi: 10.1259/bjr/94407232.
9
Colonic perineurioma (benign fibroblastic polyp): case report and review of the literature.
Diagn Pathol. 2018 Feb 20;13(1):16. doi: 10.1186/s13000-018-0694-z.
10
A Case of Giant Colonic Muco-submucosal Elongated Polyps Associated with Intussusception.
J Pathol Transl Med. 2016 Nov;50(6):474-478. doi: 10.4132/jptm.2016.04.27. Epub 2016 May 23.

本文引用的文献

1
Angiolipofibroma of the cecum: a rare type of submucosal polyp.
Case Rep Pathol. 2013;2013:737015. doi: 10.1155/2013/737015. Epub 2013 May 28.
4
Recurrence and surveillance of colorectal adenoma after polypectomy in a southern Chinese population.
J Gastroenterol. 2010 Aug;45(8):838-45. doi: 10.1007/s00535-010-0227-3. Epub 2010 Mar 25.
5
The yield of surveillance colonoscopy by adenoma history and time to examination.
Clin Gastroenterol Hepatol. 2009 Jan;7(1):86-92. doi: 10.1016/j.cgh.2008.07.014. Epub 2008 Jul 26.
6
Five-year colon surveillance after screening colonoscopy.
Gastroenterology. 2007 Oct;133(4):1077-85. doi: 10.1053/j.gastro.2007.07.006.
7
Clinical evaluation of submucosal colonic lipomas: decision making.
World J Gastroenterol. 2006 Aug 21;12(31):5075-7. doi: 10.3748/wjg.v12.i31.5075.
8
Angiomyolipoma in the colon.
Gastrointest Endosc. 2006 Sep;64(3):443-4; discussion 444. doi: 10.1016/j.gie.2006.01.064. Epub 2006 May 19.
9
Angiomyolipoma of the colon.
Clin Gastroenterol Hepatol. 2005 Sep;3(9):A35. doi: 10.1016/s1542-3565(05)00287-9.
10
Colonic angiomyolipoma with a monotypic expression and a predominant epithelioid component.
J Clin Pathol. 2005 Oct;58(10):1107-9. doi: 10.1136/jcp.2004.025130.

文献AI研究员

20分钟写一篇综述,助力文献阅读效率提升50倍。

立即体验

用中文搜PubMed

大模型驱动的PubMed中文搜索引擎

马上搜索

文档翻译

学术文献翻译模型,支持多种主流文档格式。

立即体验