Suppr超能文献

结节病-淋巴瘤综合征一例:脑活检的重要性

A Case of Sarcoidosis-lymphoma Syndrome: Importance of Brain Biopsy.

作者信息

Yamanaka Tomoyasu, Kanai Hideki, Aihara Noritaka, Ohno Takayuki, Mase Mitsuhito

机构信息

Department of Neurosurgery, Nagoya City University, Nagoya, Aichi, Japan.

Department of Neurosurgery, Nagoya City East Medical Center, Nagoya, Aichi, Japan.

出版信息

NMC Case Rep J. 2019 Mar 21;6(2):61-64. doi: 10.2176/nmccrj.cr.2018-0223. eCollection 2019 Apr.

Abstract

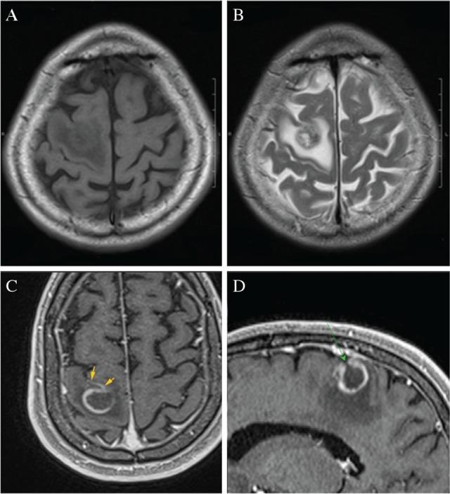
Sarcoidosis is occasionally associated with malignant lymphoma. Cases of sarcoidosis associated with malignant lymphoma are called sarcoidosis-lymphoma syndrome. We report a 63-year-old man with sarcoidosis associated with primary central nervous system lymphoma (PCNSL). Definitive diagnosis by clinical and radiological findings was difficult. Finally, brain biopsy could produce the correct diagnosis. We could provide appropriate treatment for PCNSL and the patient has survived over 2 years. Thus, it is very important to make an early definitive diagnosis by biopsy for intracranial lesion, because it can prolong survival in patients with sarcoidosis.

摘要

结节病偶尔与恶性淋巴瘤相关。与恶性淋巴瘤相关的结节病病例被称为结节病 - 淋巴瘤综合征。我们报告一名63岁患有结节病并伴有原发性中枢神经系统淋巴瘤(PCNSL)的男性。通过临床和影像学检查结果进行明确诊断很困难。最后,脑活检得以做出正确诊断。我们能够为PCNSL提供适当的治疗,患者已存活超过2年。因此,通过活检对颅内病变进行早期明确诊断非常重要,因为这可以延长结节病患者的生存期。

https://cdn.ncbi.nlm.nih.gov/pmc/blobs/f90f/6476816/4f23b553ec4d/nmccrj-6-61-g001.jpg

文献检索

告别复杂PubMed语法,用中文像聊天一样搜索,搜遍4000万医学文献。AI智能推荐,让科研检索更轻松。

立即免费搜索

文件翻译

保留排版,准确专业,支持PDF/Word/PPT等文件格式,支持 12+语言互译。

免费翻译文档

深度研究

AI帮你快速写综述,25分钟生成高质量综述,智能提取关键信息,辅助科研写作。

立即免费体验