• 文献检索
  • 文档翻译
  • 深度研究
  • 学术资讯
  • Suppr Zotero 插件Zotero 插件
  • 邀请有礼
  • 套餐&价格
  • 历史记录
应用&插件
Suppr Zotero 插件Zotero 插件浏览器插件Mac 客户端Windows 客户端微信小程序
定价
高级版会员购买积分包购买API积分包
服务
文献检索文档翻译深度研究API 文档MCP 服务
关于我们
关于 Suppr公司介绍联系我们用户协议隐私条款
关注我们

Suppr 超能文献

核心技术专利:CN118964589B侵权必究
粤ICP备2023148730 号-1Suppr @ 2026

文献检索

告别复杂PubMed语法,用中文像聊天一样搜索,搜遍4000万医学文献。AI智能推荐,让科研检索更轻松。

立即免费搜索

文件翻译

保留排版,准确专业,支持PDF/Word/PPT等文件格式,支持 12+语言互译。

免费翻译文档

深度研究

AI帮你快速写综述,25分钟生成高质量综述,智能提取关键信息,辅助科研写作。

立即免费体验

月三角联合与尺骨撞击综合征:图文综述

Lunotriquetral coalition and ulnar impaction syndrome: a pictorial essay.

作者信息

Davis Derik L

机构信息

Department of Diagnostic Radiology & Nuclear Medicine, University of Maryland School of Medicine, Baltimore, Maryland, USA.

出版信息

Radiol Bras. 2019 Mar-Apr;52(2):112-116. doi: 10.1590/0100-3984.2017.0085.

DOI:10.1590/0100-3984.2017.0085
PMID:31019341
原文链接:https://pmc.ncbi.nlm.nih.gov/articles/PMC6472867/
Abstract

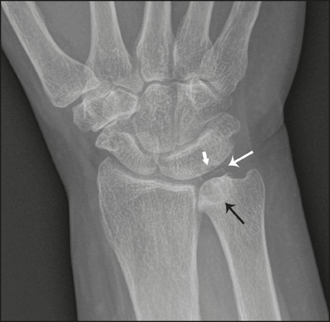
Lunotriquetral coalition and ulnar impaction syndrome are among the spectrum of pathology encountered at the medial wrist. The co-existence of these entities in the same wrist is rare. The purpose of this pictorial essay is to present the etiology, clinical course, imaging findings, and treatment of lunotriquetral coalition and ulnar impaction syndrome, and co-existing disease.

摘要

月三角联合和尺骨撞击综合征属于腕关节内侧所遇到的一系列病理情况。这些病症在同一手腕中共存的情况较为罕见。本文通过图片展示的目的是介绍月三角联合和尺骨撞击综合征及其并存疾病的病因、临床病程、影像学表现和治疗方法。

https://cdn.ncbi.nlm.nih.gov/pmc/blobs/bb9b/6472867/70a090d135ac/rb-52-02-0112-g09.jpg
https://cdn.ncbi.nlm.nih.gov/pmc/blobs/bb9b/6472867/c066a86b52dc/rb-52-02-0112-g01.jpg
https://cdn.ncbi.nlm.nih.gov/pmc/blobs/bb9b/6472867/2877dea1cd80/rb-52-02-0112-g02.jpg
https://cdn.ncbi.nlm.nih.gov/pmc/blobs/bb9b/6472867/c3f9e66334d3/rb-52-02-0112-g03.jpg
https://cdn.ncbi.nlm.nih.gov/pmc/blobs/bb9b/6472867/6cfd4d4c86ec/rb-52-02-0112-g04.jpg
https://cdn.ncbi.nlm.nih.gov/pmc/blobs/bb9b/6472867/8548ab16f8e4/rb-52-02-0112-g05.jpg
https://cdn.ncbi.nlm.nih.gov/pmc/blobs/bb9b/6472867/8311c02147d4/rb-52-02-0112-g06.jpg
https://cdn.ncbi.nlm.nih.gov/pmc/blobs/bb9b/6472867/b5942956d98c/rb-52-02-0112-g07.jpg
https://cdn.ncbi.nlm.nih.gov/pmc/blobs/bb9b/6472867/bd6e66896ef8/rb-52-02-0112-g08.jpg
https://cdn.ncbi.nlm.nih.gov/pmc/blobs/bb9b/6472867/70a090d135ac/rb-52-02-0112-g09.jpg
https://cdn.ncbi.nlm.nih.gov/pmc/blobs/bb9b/6472867/c066a86b52dc/rb-52-02-0112-g01.jpg
https://cdn.ncbi.nlm.nih.gov/pmc/blobs/bb9b/6472867/2877dea1cd80/rb-52-02-0112-g02.jpg
https://cdn.ncbi.nlm.nih.gov/pmc/blobs/bb9b/6472867/c3f9e66334d3/rb-52-02-0112-g03.jpg
https://cdn.ncbi.nlm.nih.gov/pmc/blobs/bb9b/6472867/6cfd4d4c86ec/rb-52-02-0112-g04.jpg
https://cdn.ncbi.nlm.nih.gov/pmc/blobs/bb9b/6472867/8548ab16f8e4/rb-52-02-0112-g05.jpg
https://cdn.ncbi.nlm.nih.gov/pmc/blobs/bb9b/6472867/8311c02147d4/rb-52-02-0112-g06.jpg
https://cdn.ncbi.nlm.nih.gov/pmc/blobs/bb9b/6472867/b5942956d98c/rb-52-02-0112-g07.jpg
https://cdn.ncbi.nlm.nih.gov/pmc/blobs/bb9b/6472867/bd6e66896ef8/rb-52-02-0112-g08.jpg
https://cdn.ncbi.nlm.nih.gov/pmc/blobs/bb9b/6472867/70a090d135ac/rb-52-02-0112-g09.jpg

相似文献

1
Lunotriquetral coalition and ulnar impaction syndrome: a pictorial essay.月三角联合与尺骨撞击综合征:图文综述
Radiol Bras. 2019 Mar-Apr;52(2):112-116. doi: 10.1590/0100-3984.2017.0085.
2
Impaction Syndromes About the Wrist.腕部撞击综合征
Curr Rev Musculoskelet Med. 2023 Jan;16(1):1-8. doi: 10.1007/s12178-022-09809-9. Epub 2022 Nov 26.
3
Ulnar impaction syndrome: incidence of lunotriquetral ligament degeneration and outcome of ulnar-shortening osteotomy.尺骨撞击综合征:月三角韧带退变的发生率及尺骨短缩截骨术的疗效
J Hand Surg Am. 2014 Jun;39(6):1108-13. doi: 10.1016/j.jhsa.2014.03.006.
4
Lunotriquetral Synostosis as a Cause of Ulnar Sided Wrist Pain: A Case Report.月三角骨融合作为尺侧腕部疼痛的病因:一例报告
Malays Orthop J. 2024 Mar;18(1):150-152. doi: 10.5704/MOJ.2403.019.
5
Ulnar-sided wrist pain: evaluation and treatment of triangular fibrocartilage complex tears, ulnocarpal impaction syndrome, and lunotriquetral ligament tears.尺侧腕部疼痛:三角纤维软骨复合体撕裂、尺腕撞击综合征和月三角韧带撕裂的评估与治疗
J Hand Surg Am. 2008 Nov;33(9):1669-79. doi: 10.1016/j.jhsa.2008.08.026.
6
Lunotriquetral coalition, a normal variant that may rarely cause ulnar sided wrist pain.月三角联合,一种正常变异情况,极少会引起尺侧腕部疼痛。
JBR-BTR. 2015 Apr 1;98(2):72-78. doi: 10.5334/jbr-btr.769.
7
Imaging findings in ulnar-sided wrist impaction syndromes.尺侧腕撞击综合征的影像学表现。
Radiographics. 2002 Jan-Feb;22(1):105-21. doi: 10.1148/radiographics.22.1.g02ja01105.
8
Lunotriquetral Coalition: An Unusual Cause of Wrist Pain.月三角联合:腕部疼痛的罕见原因。
Cureus. 2019 Sep 19;11(9):e5704. doi: 10.7759/cureus.5704.
9
Ulnar-sided wrist pain: evaluation and treatment of triangular fibrocartilage complex tears, ulnocarpal impaction syndrome, and lunotriquetral ligament tears.尺侧腕部疼痛:三角纤维软骨复合体撕裂、尺腕撞击综合征和月三角韧带撕裂的评估与治疗
J Hand Surg Am. 2012 Jul;37(7):1489-500. doi: 10.1016/j.jhsa.2012.04.036.
10
Ulnar-Sided Wrist Pain in the Athlete.运动员尺侧腕部疼痛
Orthop Clin North Am. 2016 Oct;47(4):789-98. doi: 10.1016/j.ocl.2016.05.017.

引用本文的文献

1
Matched Pair Analysis of Rotational Stability With 1 Versus 2-Screw Antegrade Fixation in Distal Metaphyseal Ulnar Shortening Osteotomy Constructs.远端干骺端尺骨短缩截骨结构中1枚与2枚螺钉顺行固定的旋转稳定性配对分析
Hand (N Y). 2025 Jul 10:15589447251348507. doi: 10.1177/15589447251348507.
2
Lunotriquetral Synostosis as a Cause of Ulnar Sided Wrist Pain: A Case Report.月三角骨融合作为尺侧腕部疼痛的病因:一例报告
Malays Orthop J. 2024 Mar;18(1):150-152. doi: 10.5704/MOJ.2403.019.
3
Bilateral lunotriquetral coalition: a dynamic four-dimensional computed tomography technical case report.

本文引用的文献

1
Imaging of Sports-related Hand and Wrist Injuries: Sports Imaging Series.运动相关性手和腕部损伤的影像学表现:运动影像学系列。
Radiology. 2016 Jun;279(3):674-92. doi: 10.1148/radiol.2016150995.
2
Ulnar impaction syndrome: Managed by wrist arthroscopy.尺骨撞击综合征:通过腕关节镜手术治疗。
Indian J Orthop. 2016 Mar-Apr;50(2):172-6. doi: 10.4103/0019-5413.177571.
3
Ulnar Shortening Osteotomy: Are Complications Under Reported?尺骨短缩截骨术:并发症是否报告不足?
双侧月三角骨融合:动态四维 CT 技术病例报告。
Skeletal Radiol. 2024 Jul;53(7):1423-1430. doi: 10.1007/s00256-023-04490-6. Epub 2023 Nov 9.
4
Imaging evaluation of hallux valgus.拇外翻的影像学评估
Radiol Bras. 2020 May-Jun;53(3):VII. doi: 10.1590/0100-3984.2020.53.3e2.
5
Lunotriquetral Coalition: An Unusual Cause of Wrist Pain.月三角联合:腕部疼痛的罕见原因。
Cureus. 2019 Sep 19;11(9):e5704. doi: 10.7759/cureus.5704.
J Hand Microsurg. 2015 Dec;7(2):276-82. doi: 10.1007/s12593-015-0201-7. Epub 2015 Sep 23.
4
Ulnar impaction syndrome with different operative methods: a comparative biomechanical study.不同手术方法治疗尺骨撞击综合征:一项比较性生物力学研究
Int J Clin Exp Med. 2015 Apr 15;8(4):5715-22. eCollection 2015.
5
Trans-scaphoid Trans-lunotriquetral Perilunate Dislocation in a Patient with a Carpal Coalition.腕骨联合患者的经舟骨经月三角骨周围月骨脱位
Plast Reconstr Surg Glob Open. 2014 Jun 6;2(5):e144. doi: 10.1097/GOX.0000000000000040. eCollection 2014 May.
6
A new type of carpal coalition.
J Hand Surg Eur Vol. 2012 Jul;37(6):581-2. doi: 10.1177/1753193412441764. Epub 2012 Mar 28.
7
A comprehensive review of reported heritable noggin-associated syndromes and proposed clinical utility of one broadly inclusive diagnostic term: NOG-related-symphalangism spectrum disorder (NOG-SSD).对报道的遗传性 Noggin 相关综合征的全面回顾,以及对一个广泛包含的诊断术语的临床应用的建议:NOG 相关并指畸形谱障碍(NOG-SSD)。
Hum Mutat. 2011 Aug;32(8):877-86. doi: 10.1002/humu.21515. Epub 2011 Jun 21.
8
Imaging findings in ulnar-sided wrist impaction syndromes.尺侧腕撞击综合征的影像学表现。
Radiographics. 2002 Jan-Feb;22(1):105-21. doi: 10.1148/radiographics.22.1.g02ja01105.
9
Traumatic disruption of a fibrocartilage lunate-triquetral coalition--a case report and review of the literature.纤维软骨性月三角联合创伤性断裂——病例报告及文献综述
Hand Surg. 2001 Jul;6(1):103-8. doi: 10.1142/s0218810401000497.
10
Treatment of isolated injuries of the lunotriquetral ligament. A comparison of arthrodesis, ligament reconstruction and ligament repair.月三角韧带孤立损伤的治疗。关节融合术、韧带重建术与韧带修复术的比较。
J Bone Joint Surg Br. 2001 Sep;83(7):1023-8. doi: 10.1302/0301-620x.83b7.11413.