Suppr超能文献

比较嫌色性肾细胞癌中Fuhrman核分级与嫌色肿瘤分级。

Compare Fuhrman Nuclear and Chromophobe Tumor Grade on Chromophobe RCC.

作者信息

Lin Tsu-Feng, Lin Wun-Rong, Chen Marcelo, Dai Shuen-Han, Sun Fang-Ju, Tsai Wei-Kung, Chiu Allen W

机构信息

Department of Urology, MacKay Memorial Hospital, Taipei, Taiwan.

Mackay Medical College, Taipei, Taiwan.

出版信息

Open Med (Wars). 2019 Apr 13;14:336-342. doi: 10.1515/med-2019-0032. eCollection 2019.

Abstract

BACKGROUND

Chromophobe renal cell carcinoma (chRCC) has a favorable prognosis. Due to irregular nuclei and nuclear pleomorphism, chRCC has a high Fuhrman nuclear grade (FNG). The chromophobe tumor grade (CTG) is a novel three-tier grading system that has been reported to be a better prognosticator than the traditional FNG. We compared the two nuclear grading systems in terms of patients' clinical outcomes.

PATIENTS AND METHOD

We performed this retrospective chart review of all patients with chRCC from 2000 to 2017. All pathologic features and CTG and FNG results were re-evaluated.

RESULT

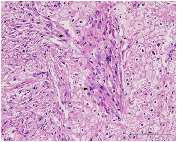
Eighteen patients' records were reviewed with a mean follow-up of 70.6 months. The nuclear grading distribution was as follows: FNG 2, 56%; FNG 3, 39%; FNG 4, 5%; CTG 1, 78%; CTG 2, 17%; and CTG 3, 6%. Only one patient died. This patient had adrenal invasion, lung metastasis, sarcomatoid change and tumor necrosis, and the tumor was graded as FNG 4 and CTG 3. Overall survival was associated with both FNG and CTG.

CONCLUSION

Chromophobe RCC was associated with a low rate of cancer-specific death and sarcomatoid differentiation. Both FNG and CTG were associated with overall survival.

摘要

背景

嫌色肾细胞癌(chRCC)预后良好。由于细胞核不规则及核多形性,chRCC的富尔曼核分级(FNG)较高。嫌色肿瘤分级(CTG)是一种新的三级分级系统,据报道其预后评估优于传统的FNG。我们比较了这两种核分级系统在患者临床结局方面的差异。

患者与方法

我们对2000年至2017年所有chRCC患者进行了这项回顾性病历审查。重新评估了所有病理特征以及CTG和FNG结果。

结果

审查了18例患者的记录,平均随访70.6个月。核分级分布如下:FNG 2级,56%;FNG 3级,39%;FNG 4级,5%;CTG 1级,78%;CTG 2级,17%;CTG 3级,6%。仅1例患者死亡。该患者有肾上腺侵犯、肺转移、肉瘤样改变和肿瘤坏死,肿瘤分级为FNG 4级和CTG 3级。总生存期与FNG和CTG均相关。

结论

嫌色肾细胞癌与癌症特异性死亡率低及肉瘤样分化相关。FNG和CTG均与总生存期相关。

https://cdn.ncbi.nlm.nih.gov/pmc/blobs/6026/6475770/f2f31fdafb3d/med-14-336-g001.jpg

文献检索

告别复杂PubMed语法,用中文像聊天一样搜索,搜遍4000万医学文献。AI智能推荐,让科研检索更轻松。

立即免费搜索

文件翻译

保留排版,准确专业,支持PDF/Word/PPT等文件格式,支持 12+语言互译。

免费翻译文档

深度研究

AI帮你快速写综述,25分钟生成高质量综述,智能提取关键信息,辅助科研写作。

立即免费体验