Suppr超能文献

槲皮素与超顺磁性氧化铁纳米粒子结合通过与 LTP 相关的蛋白相互作用比游离槲皮素更能改善学习和记忆。

Quercetin conjugated with superparamagnetic iron oxide nanoparticles improves learning and memory better than free quercetin via interacting with proteins involved in LTP.

机构信息

Department of Biology, Faculty of Sciences, University of Isfahan, Isfahan, Iran.

Department of Basic Sciences, School of Veterinary Medicine, Shiraz University, Shiraz, Iran.

出版信息

Sci Rep. 2019 May 3;9(1):6876. doi: 10.1038/s41598-019-43345-w.

Abstract

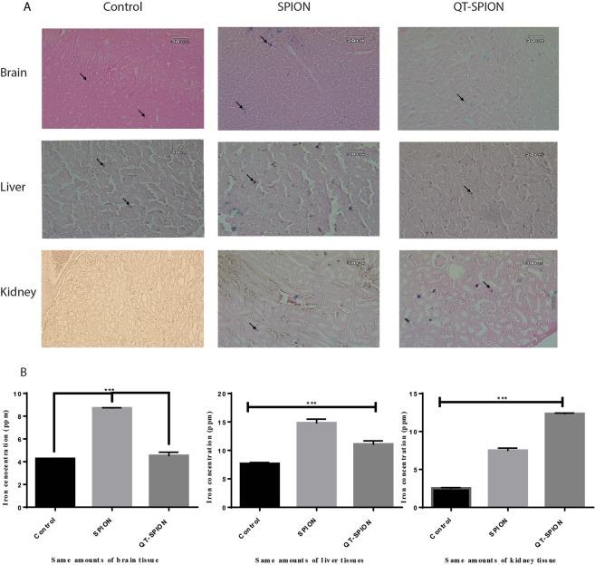
Biomedical application of quercetin (QT) as an effective flavonoid has limitations due to its low bioavailability. Superparamagnetic iron oxide nanoparticle (SPION) is a novel drug delivery system that enhances the bioavailability of quercetin. The effect of short time usage of quercetin on learning and memory function and its signaling pathways in the healthy rat is not well understood. The aim of this study was to investigate the effect of free quercetin and in conjugation with SPION on learning and memory in healthy rats and to find quercetin target proteins involved in learning and memory using Morris water maze (MWM) and computational methods respectively. Results of MWM show an improvement in learning and memory of rats treated with either quercetin or QT-SPION. Better learning and memory functions using QT-SPION reveal increased bioavailability of quercetin. Comparative molecular docking studies show the better binding affinity of quercetin to RSK2, MSK1, CytC, Cdc42, Apaf1, FADD, CRK proteins. Quercetin in comparison to specific inhibitors of each protein also demonstrates a better QT binding affinity. This suggests that quercetin binds to proteins leading to prevent neural cell apoptosis and improves learning and memory. Therefore, SPIONs could increase the bioavailability of quercetin and by this way improve learning and memory.

摘要

槲皮素(QT)作为一种有效的类黄酮,具有生物利用度低的局限性,因此在生物医学方面的应用受到限制。超顺磁性氧化铁纳米颗粒(SPION)是一种新型的药物输送系统,可提高槲皮素的生物利用度。短时间使用槲皮素对健康大鼠学习和记忆功能及其信号通路的影响尚不清楚。本研究旨在探讨游离槲皮素和与 SPION 联合使用对健康大鼠学习和记忆的影响,并分别使用 Morris 水迷宫(MWM)和计算方法寻找参与学习和记忆的槲皮素靶蛋白。MWM 的结果表明,用槲皮素或 QT-SPION 治疗的大鼠学习和记忆能力得到了提高。QT-SPION 可提高槲皮素的生物利用度,从而改善学习和记忆功能。比较分子对接研究表明,槲皮素与 RSK2、MSK1、CytC、Cdc42、Apaf1、FADD、CRK 蛋白的结合亲和力更好。与每种蛋白质的特定抑制剂相比,槲皮素也表现出更好的 QT 结合亲和力。这表明槲皮素与蛋白质结合,防止神经细胞凋亡,从而改善学习和记忆。因此,SPION 可以提高槲皮素的生物利用度,从而改善学习和记忆。

https://cdn.ncbi.nlm.nih.gov/pmc/blobs/3c92/6499818/f7400b5a45e2/41598_2019_43345_Fig1_HTML.jpg

文献AI研究员

20分钟写一篇综述,助力文献阅读效率提升50倍。

立即体验

用中文搜PubMed

大模型驱动的PubMed中文搜索引擎

马上搜索

文档翻译

学术文献翻译模型,支持多种主流文档格式。

立即体验