Suppr超能文献

胶质母细胞瘤广泛硬脑膜播散酷似慢性硬膜下血肿:一例报告

Extensive Pachymeningeal Dissemination of Glioblastoma Mimicking Chronic Subdural Hematoma: A Case Report.

作者信息

Lee Jiwook, Kim Mee Seon, Kim Young Zoon

机构信息

Division of Neurooncology and Department of Neurosurgery, Samsung Changwon Hospital, Sungkyunkwan University School of Medicine, Changwon, Korea.

Department of Pathology, Samsung Changwon Hospital, Sungkyunkwan University School of Medicine, Changwon, Korea.

出版信息

Brain Tumor Res Treat. 2019 Apr;7(1):39-43. doi: 10.14791/btrt.2019.7.e24.

Abstract

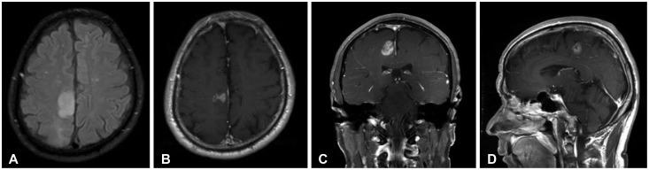
Meningeal dissemination (MDS) of glioblastoma is rare, although its incidence might have been underestimated. MDS of glioblastoma has a fatal course. Thus, rapid and precise diagnosis of MDS is important for further palliative treatment. Unfortunately, MDS of glioblastoma could be diagnosed at a delayed time, causing failure to treat patient optimally. Herein, we present a case of a 56-year-old male with MDS of glioblastoma mimicking chronic subdural hemorrhage (CSDH) after head trauma due to slip down. During treatment for CSDH, MDS of glioblastoma was not controlled appropriately. The patient succumbed to MDS of glioblastoma at 9 weeks after the date of diagnosis of CSDH which could be an MDS.

摘要

胶质母细胞瘤的脑膜播散(MDS)较为罕见,尽管其发病率可能被低估了。胶质母细胞瘤的MDS病程凶险。因此,快速准确地诊断MDS对于进一步的姑息治疗很重要。不幸的是,胶质母细胞瘤的MDS可能会被延迟诊断,导致无法对患者进行最佳治疗。在此,我们报告一例56岁男性,其胶质母细胞瘤的MDS表现为滑倒致头部外伤后类似慢性硬膜下血肿(CSDH)。在CSDH治疗期间,胶质母细胞瘤的MDS未得到适当控制。该患者在被诊断为可能是MDS的CSDH后9周死于胶质母细胞瘤的MDS。

https://cdn.ncbi.nlm.nih.gov/pmc/blobs/c731/6504760/23a3e34046ab/btrt-7-39-g001.jpg

文献AI研究员

20分钟写一篇综述,助力文献阅读效率提升50倍。

立即体验

用中文搜PubMed

大模型驱动的PubMed中文搜索引擎

马上搜索

文档翻译

学术文献翻译模型,支持多种主流文档格式。

立即体验