Suppr超能文献

引起肠套叠及远处转移的结肠黏液腺癌:一例报告

Colonic mucinous adenocarcinoma causing intussusception and distant metastasis: A case report.

作者信息

Xu Xiaohui, Kong Zhiyuan, Yi Ke, Wang Bing, Lei Qingjun, Wang Yi

机构信息

Department of General Surgery, The First People's Hospital of Taicang City, Taicang Affiliated Hospital of Soochow University, Suzhou, China.

出版信息

Medicine (Baltimore). 2019 May;98(21):e15740. doi: 10.1097/MD.0000000000015740.

Abstract

RATIONALE

Cases of intussusception caused by mucinous carcinoma have been rarely reported, and those caused by colonic mucinous adenocarcinoma (MAC) with distant metastasis were even fewer.

PATIENT CONCERNS

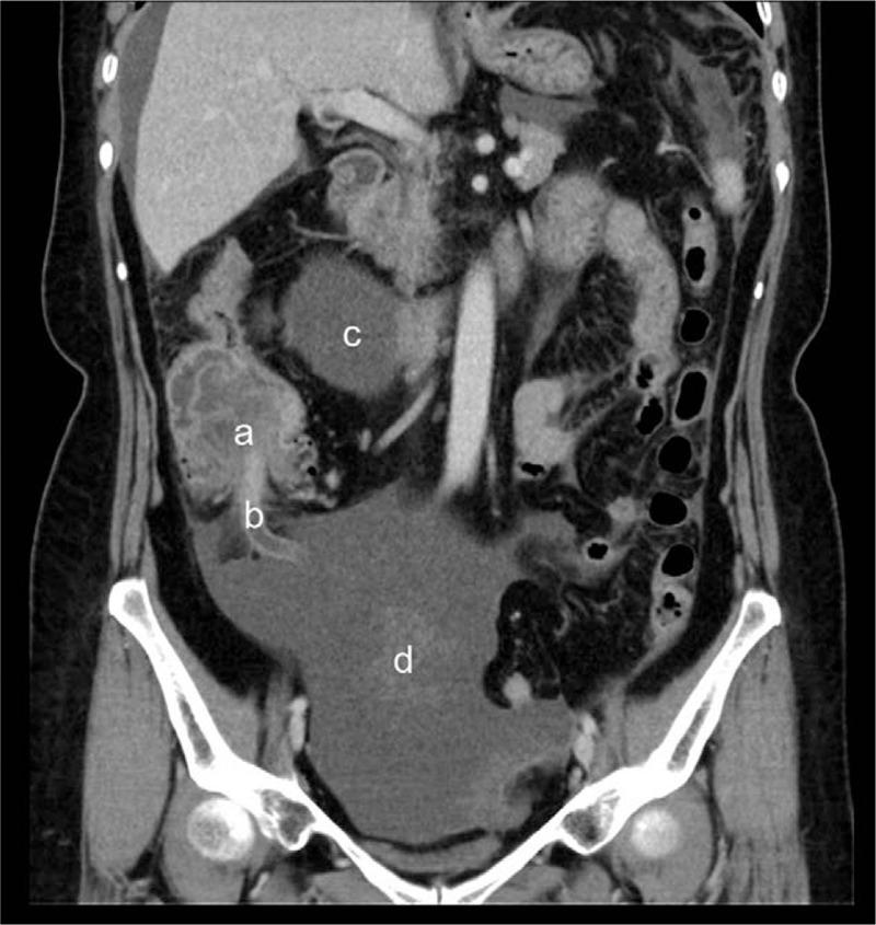
A 60-year-old woman who complained of severe pain around the navel with nausea and vomiting for a week was admitted on November 28, 2017. There were multiple watery stools and abdominal pain was worsened over the prior week.

DIAGNOSIS

She was diagnosed by abdominal computed tomography, current medical history, and abdominal signs. Her initial diagnosis was acute abdomen, intussusceptions, and intestinal obstruction. The final diagnosis was MAC, which was based on postoperative pathology.

INTERVENTIONS

The patient received emergency laparotomy, followed by 5 courses of chemotherapy with oxaliplatin plus capecitabine, and then 6 courses with 5-fluorouracil + oxaliplatin + calcium leucovorin.

OUTCOMES

The patient was in good nutritional condition, and no obvious tumor recurrence or metastasis was found until July 9, 2018.

LESSONS

Even though the prognosis of colonic MAC is poor, being able to receive timely surgical treatment, good nutritional status and reasonable postoperative chemotherapy are the key factors to prolonging patient's survival.

摘要

原理

黏液癌引起肠套叠的病例鲜有报道,而由伴有远处转移的结肠黏液腺癌(MAC)引起的肠套叠病例则更少。

患者情况

一名60岁女性,因脐周剧痛伴恶心呕吐一周,于2017年11月28日入院。此前一周有多次水样便,腹痛加重。

诊断

通过腹部计算机断层扫描、现病史和腹部体征进行诊断。初步诊断为急腹症、肠套叠和肠梗阻。最终诊断为MAC,依据术后病理。

干预措施

患者接受了急诊剖腹手术,随后接受了5个疗程的奥沙利铂加卡培他滨化疗,然后接受了6个疗程的氟尿嘧啶+奥沙利铂+亚叶酸钙化疗。

结果

患者营养状况良好,截至2018年7月9日未发现明显肿瘤复发或转移。

经验教训

尽管结肠MAC预后较差,但能够接受及时的手术治疗、良好的营养状况和合理的术后化疗是延长患者生存期的关键因素。

https://cdn.ncbi.nlm.nih.gov/pmc/blobs/b88b/6571361/3eb80c88be4e/medi-98-e15740-g001.jpg

文献AI研究员

20分钟写一篇综述,助力文献阅读效率提升50倍。

立即体验

用中文搜PubMed

大模型驱动的PubMed中文搜索引擎

马上搜索

文档翻译

学术文献翻译模型,支持多种主流文档格式。

立即体验