Suppr超能文献

基于模板优化算法的多图谱主动轮廓分割方法。

Multi-atlas active contour segmentation method using template optimization algorithm.

机构信息

School of Mechanical & Power Engineering, Harbin University of Science and Technology, Xue Fu Road No. 52, Nangang District, Harbin City, Heilongjiang Province, 150080, People's Republic of China.

出版信息

BMC Med Imaging. 2019 May 24;19(1):42. doi: 10.1186/s12880-019-0340-6.

Abstract

BACKGROUND

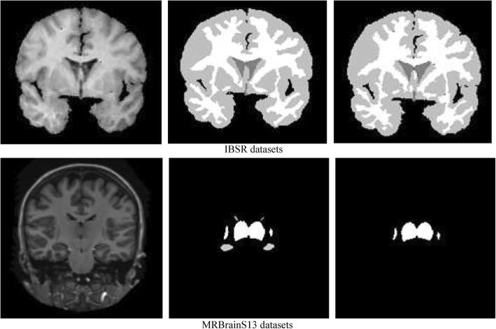
Brain image segmentation is the basis and key to brain disease diagnosis, treatment planning and tissue 3D reconstruction. The accuracy of segmentation directly affects the therapeutic effect. Manual segmentation of these images is time-consuming and subjective. Therefore, it is important to research semi-automatic and automatic image segmentation methods. In this paper, we propose a semi-automatic image segmentation method combined with a multi-atlas registration method and an active contour model (ACM).

METHOD

We propose a multi-atlas active contour segmentation method using a template optimization algorithm. First, a multi-atlas registration method is used to obtain the prior shape information of the target tissue, and then a label fusion algorithm is used to generate the initial template. Second, a template optimization algorithm is used to reduce the multi-atlas registration errors and generate the initial active contour (IAC). Finally, a ACM is used to segment the target tissue.

RESULTS

The proposed method was applied to the challenging publicly available MR datasets IBSR and MRBrainS13. In the MRBrainS13 datasets, we obtained an average thalamus Dice similarity coefficient of 0.927 ± 0.014 and an average Hausdorff distance (HD) of 2.92 ± 0.53. In the IBSR datasets, we obtained a white matter (WM) average Dice similarity coefficient of 0.827 ± 0.04 and a gray gray matter (GM) average Dice similarity coefficient of 0.853 ± 0.03.

CONCLUSION

In this paper, we propose a semi-automatic brain image segmentation method. The main contributions of this paper are as follows: 1) Our method uses a multi-atlas registration method based on affine transformation, which effectively reduces the multi-atlas registration time compared to the complex nonlinear registration method. The average registration time of each target image in the IBSR datasets is 255 s, and the average registration time of each target image in the MRBrainS13 datasets is 409 s. 2) We used a template optimization algorithm to improve registration error and generate a continuous IAC. 3) Finally, we used a ACM to segment the target tissue and obtain a smooth continuous target contour.

摘要

背景

脑图像分割是脑疾病诊断、治疗规划和组织三维重建的基础和关键。分割的准确性直接影响治疗效果。这些图像的手动分割既耗时又主观。因此,研究半自动和自动图像分割方法非常重要。本文提出了一种结合多图谱配准方法和主动轮廓模型(ACM)的半自动图像分割方法。

方法

我们提出了一种基于模板优化算法的多图谱主动轮廓分割方法。首先,使用多图谱配准方法获得目标组织的先验形状信息,然后使用标签融合算法生成初始模板。其次,使用模板优化算法减少多图谱配准误差,生成初始主动轮廓(IAC)。最后,使用 ACM 分割目标组织。

结果

该方法应用于具有挑战性的公开可用的 MR 数据集 IBSR 和 MRBrainS13。在 MRBrainS13 数据集上,我们获得了丘脑的平均 Dice 相似系数为 0.927±0.014,平均 Hausdorff 距离(HD)为 2.92±0.53。在 IBSR 数据集上,我们获得了白质(WM)的平均 Dice 相似系数为 0.827±0.04,灰质(GM)的平均 Dice 相似系数为 0.853±0.03。

结论

本文提出了一种半自动脑图像分割方法。本文的主要贡献如下:1)我们的方法使用基于仿射变换的多图谱配准方法,与复杂的非线性配准方法相比,有效减少了多图谱配准时间。IBSR 数据集上每个目标图像的平均配准时间为 255s,MRBrainS13 数据集上每个目标图像的平均配准时间为 409s。2)我们使用模板优化算法来改进配准误差并生成连续的 IAC。3)最后,我们使用 ACM 分割目标组织,获得了平滑连续的目标轮廓。

https://cdn.ncbi.nlm.nih.gov/pmc/blobs/30c1/6534882/c9df978f41de/12880_2019_340_Fig1_HTML.jpg

文献AI研究员

20分钟写一篇综述,助力文献阅读效率提升50倍。

立即体验

用中文搜PubMed

大模型驱动的PubMed中文搜索引擎

马上搜索

文档翻译

学术文献翻译模型,支持多种主流文档格式。

立即体验