Suppr超能文献

18F-FDG PET/CT 显像:对肺硬化性血管瘤的补充认识。

F-FDG PET/CT imaging: A supplementary understanding of pulmonary sclerosing pneumocytoma.

机构信息

Department of Senior Ward, National Clinical Research Center for Cancer, Tianjin Key Laboratory of Cancer Prevention and Therapy, Tianjin's Clinical Research Center for Cancer, Tianjin Medical University Cancer Institute and Hospital, Tianjin, China.

Imaging Center, The Affiliated Hospital of Jining Medical University, Jining, China.

出版信息

Thorac Cancer. 2019 Jul;10(7):1552-1560. doi: 10.1111/1759-7714.13100. Epub 2019 May 27.

Abstract

BACKGROUND

We sought to investigate the clinical features and F-FDG PET/CT characteristics of pulmonary sclerosing pneumocytoma (PSP).

METHODS

We retrospectively reviewed and comparatively analyzed F-FDG PET/CT imaging results of 22 patients with diagnosed PSP in our hospital from November 2009 to September 2015.

RESULTS

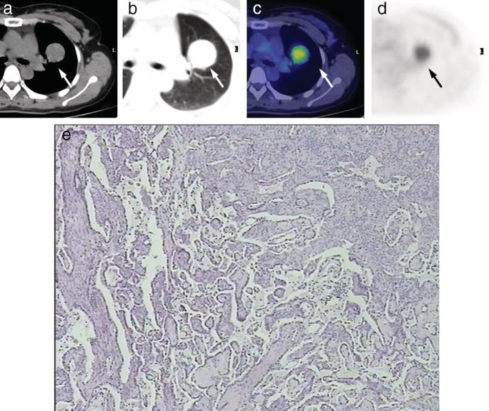
The SUV in tumors was positively correlated with tumor size in typical PSPs (R = 0.806, R = 0.650, P = 0.001); however, the SUV in tumors had no significant correlation with tumor size of atypical PSPs (R = 0.479, R = 0.229, P = 0.162), and the degree of correlation between them attenuated when atypical PSPs were included (R = 0.518, R = 0.268, P = 0.011). A majority (90%) of atypical PSPs were found in males. Symptomatic patients showed a higher SUV than the asymptomatic group (5.68 ± 3.63 vs. 2.76 ± 1.18, respectively, P = 0.002).

CONCLUSION

Tumor size and clinical features may be associated with increased FDG uptake in PSPs. Morphological differences may affect the correlation between tumor size and SUV in PSPs. The atypical form of PSP may be more common in men.

摘要

背景

我们旨在研究肺硬化性血管瘤(PSP)的临床特征和 F-FDG PET/CT 特征。

方法

我们回顾性分析了 2009 年 11 月至 2015 年 9 月在我院确诊的 22 例 PSP 患者的 F-FDG PET/CT 影像学结果,并进行了比较分析。

结果

典型 PSP 中肿瘤 SUV 与肿瘤大小呈正相关(R = 0.806,R = 0.650,P = 0.001);然而,不典型 PSP 中肿瘤 SUV 与肿瘤大小无显著相关性(R = 0.479,R = 0.229,P = 0.162),且当包括不典型 PSP 时,相关性减弱(R = 0.518,R = 0.268,P = 0.011)。大多数(90%)不典型 PSP 发生在男性中。有症状患者的 SUV 高于无症状组(分别为 5.68 ± 3.63 比 2.76 ± 1.18,P = 0.002)。

结论

肿瘤大小和临床特征可能与 PSP 中 FDG 摄取增加有关。形态学差异可能影响 PSP 中肿瘤大小与 SUV 之间的相关性。PSP 的不典型形式在男性中更为常见。

https://cdn.ncbi.nlm.nih.gov/pmc/blobs/770d/6610286/56064a5d3762/TCA-10-1552-g001.jpg

文献AI研究员

20分钟写一篇综述,助力文献阅读效率提升50倍。

立即体验

用中文搜PubMed

大模型驱动的PubMed中文搜索引擎

马上搜索

文档翻译

学术文献翻译模型,支持多种主流文档格式。

立即体验