Suppr超能文献

复发性肾细胞癌导致多囊肝疾病误诊:一例报告。

Recurrent renal cell carcinoma leading to a misdiagnosis of polycystic liver disease: A case report.

机构信息

Department of Surgery, University of Tsukuba, Tsukuba, Ibaraki Prefecture 3058575, Japan.

Department of Diagnostic Pathology, University of Tsukuba, Tsukuba, Ibaraki Prefecture 3058575, Japan.

出版信息

World J Gastroenterol. 2019 May 14;25(18):2264-2270. doi: 10.3748/wjg.v25.i18.2264.

Abstract

BACKGROUND

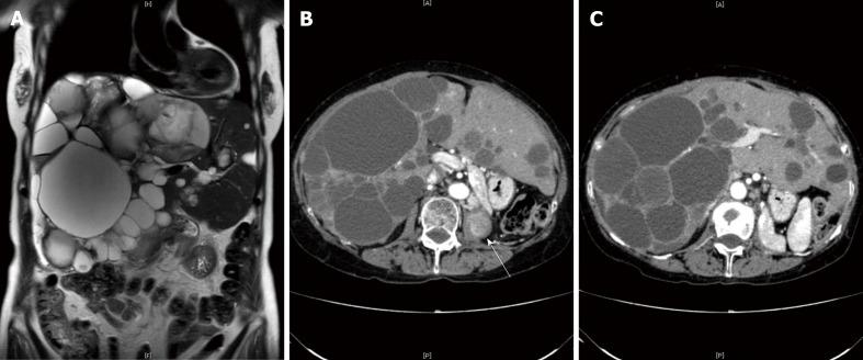
Polycystic liver disease (PCLD) with a large cystic volume deteriorates the quality of life of patients through substantial effects on the adjacent organs, recurrent cyst infections, cyst rupture, and hemorrhage. Surgical or radiological intervention is usually needed to alleviate these symptoms. We report a rare case of the cystic metastasis of renal cell carcinoma (RCC), which was misdiagnosed as PCLD, as a result of the clinical and radiological similarity between these disorders.

CASE SUMMARY

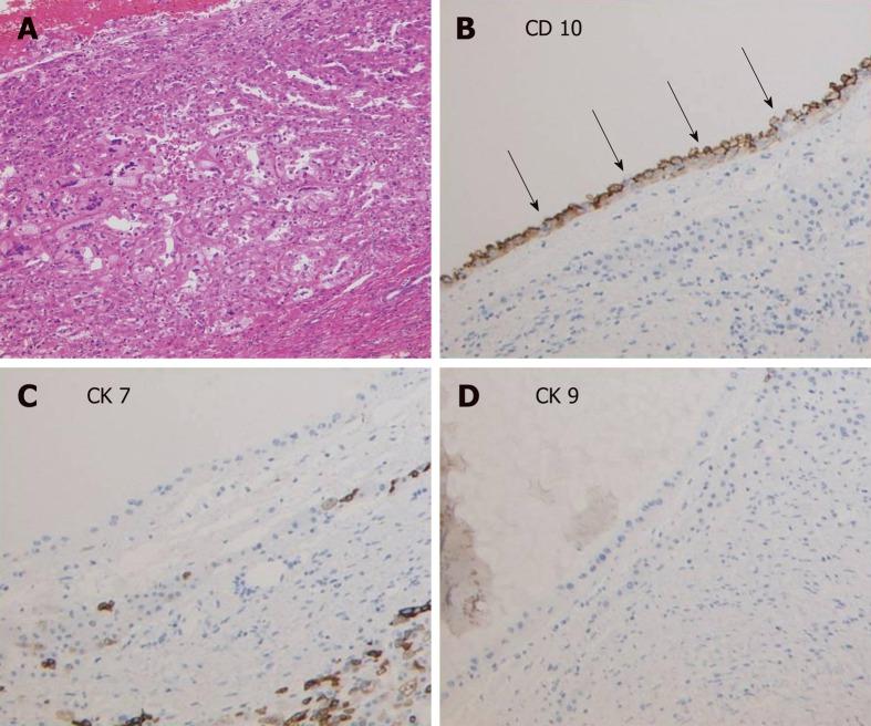
A 74-year-old female who had undergone nephrectomy for papillary-type RCC (PRCC) was suffering from abdominal pain and the recurrent intracystic hemorrhage of multiple cysts in the liver. Imaging studies and aspiration cytology of the cysts showed no evidence of malignancy. With a diagnosis of autosomal dominant polycystic liver disease, the patient received hepatectomy for the purpose of mass reduction and infectious cyst removal. Surgery was performed without complications, and the patient was discharged on postoperative day 14. Postoperatively, the pathology revealed a diagnosis of recurrent PRCC with cystic formation.

CONCLUSION

This case demonstrates the importance of excluding the cystic metastasis of a cancer when liver cysts are observed.

摘要

背景

多囊性肝病(PCLD)的囊肿体积较大,会对邻近器官造成严重影响,导致反复发生囊肿感染、破裂和出血,从而降低患者的生活质量。通常需要手术或放射介入来缓解这些症状。我们报告了一例罕见的肾细胞癌(RCC)囊性转移病例,由于这些疾病在临床表现和影像学上具有相似性,该病例最初被误诊为 PCLD。

病例总结

一名 74 岁女性因乳头状肾细胞癌(PRCC)接受了肾切除术,术后出现腹痛和肝内多个囊肿反复发生囊内出血。囊肿的影像学检查和抽吸细胞学检查均未显示恶性肿瘤的证据。由于考虑为常染色体显性多囊肝病,该患者接受了肝切除术,目的是减少肿块和清除感染性囊肿。手术过程顺利,患者于术后第 14 天出院。术后病理诊断为复发性伴有囊性形成的 PRCC。

结论

当发现肝囊肿时,需要排除癌症的囊性转移,本病例强调了这一点的重要性。

https://cdn.ncbi.nlm.nih.gov/pmc/blobs/7a14/6526153/af00f7cd563d/WJG-25-2264-g001.jpg

文献AI研究员

20分钟写一篇综述,助力文献阅读效率提升50倍。

立即体验

用中文搜PubMed

大模型驱动的PubMed中文搜索引擎

马上搜索

文档翻译

学术文献翻译模型,支持多种主流文档格式。

立即体验