Suppr超能文献

前列腺素E1对胃黏膜及胃液中胃蛋白酶活性的影响。

The effects of prostaglandin E1 on the pepsin activities in gastric mucosa and juice.

作者信息

Ozeki T, Mizuno S, Ohuchi H, Iwaki K, Watanabe S, Ueda H, Kawahara H, Masuda H, Sanefugi H

机构信息

3rd Department of Internal Medicine, School of Medicine, University of Occupational and Environmental Health, Kitakyushu, Japan.

出版信息

Br J Exp Pathol. 1987 Aug;68(4):521-6.

Abstract

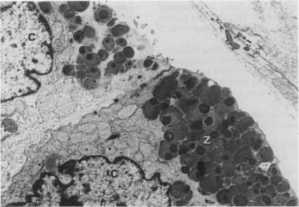
Prostaglandin E1 elevated pepsin activity in gastric mucosa but lowered pepsin activity in the gastric juice of rats treated by pylorus ligation and intragastric administration of hydrochloric acid. In these animals zymogen granules with low electron density were numerous in the gastric chief cells following prostaglandin E1 treatment. The prostaglandin E1-induced increase in mucosal pepsin activity was slightly inhibited by actinomycin D and there was no apparent increase in 3H-thymidine incorporation into gastric mucosa following treatment with prostaglandin E1. It is suggested that prostaglandin E1 causes an elevation of pepsin activity in the gastric mucosa by stimulating pepsin synthesis and perhaps also by facilitating pepsin release from zymogen granules. However, it also appears to inhibit pepsin release from the mucosa into the gastric cavity judging by the decrease of pepsin activity in gastric juice. The reduced pepsin activity in gastric juice may account, in part, for the reported anti-ulcerative action of prostaglandin.

摘要

前列腺素E1可提高胃黏膜中的胃蛋白酶活性,但在幽门结扎并胃内给予盐酸处理的大鼠胃液中,却会降低胃蛋白酶活性。在这些动物中,经前列腺素E1处理后,胃主细胞内低电子密度的酶原颗粒数量众多。放线菌素D对前列腺素E1诱导的胃黏膜胃蛋白酶活性增加有轻微抑制作用,且用前列腺素E1处理后,胃黏膜中3H-胸腺嘧啶核苷掺入量无明显增加。提示前列腺素E1通过刺激胃蛋白酶合成,或许还通过促进胃蛋白酶从酶原颗粒中释放,从而使胃黏膜中胃蛋白酶活性升高。然而,从胃液中胃蛋白酶活性降低来看,它似乎也抑制了胃蛋白酶从黏膜向胃腔的释放。胃液中胃蛋白酶活性降低可能部分解释了前列腺素所报道的抗溃疡作用。

https://cdn.ncbi.nlm.nih.gov/pmc/blobs/b0d8/2013137/591a58ba3951/brjexppathol00010-0053-a.jpg

文献检索

告别复杂PubMed语法,用中文像聊天一样搜索,搜遍4000万医学文献。AI智能推荐,让科研检索更轻松。

立即免费搜索

文件翻译

保留排版,准确专业,支持PDF/Word/PPT等文件格式,支持 12+语言互译。

免费翻译文档

深度研究

AI帮你快速写综述,25分钟生成高质量综述,智能提取关键信息,辅助科研写作。

立即免费体验