Suppr超能文献

心脏磁共振成像和经胸超声心动图:两种方法测量心腔的一致性研究。

Cardiac Magnetic Resonance Imaging and Transthoracic Echocardiography: Investigation of Concordance between the Two Methods for Measurement of the Cardiac Chamber.

机构信息

Department of Cardiology, School of Medicine, Trakya University, Edirne 22030, Turkey.

Department of Radiology, School of Medicine, Trakya University, Edirne 22030, Turkey.

出版信息

Medicina (Kaunas). 2019 Jun 9;55(6):260. doi: 10.3390/medicina55060260.

Abstract

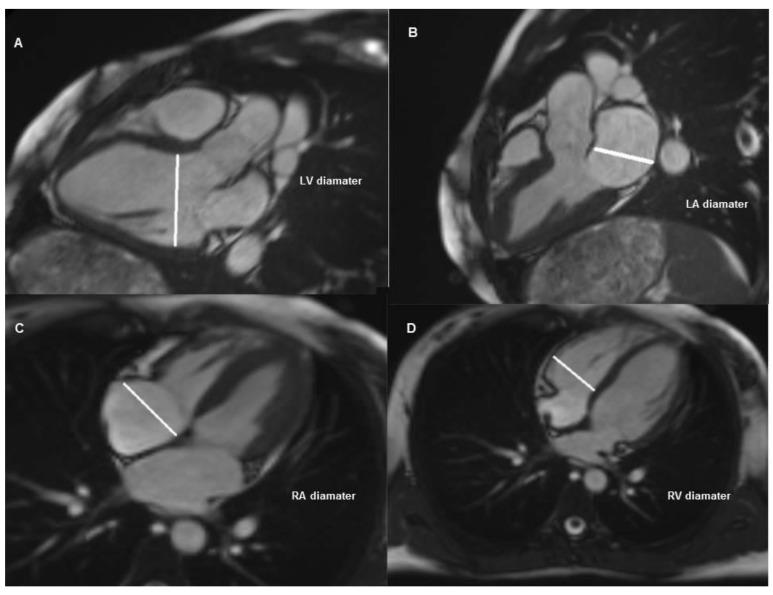
Cardiac magnetic resonance (CMR) imaging is the gold standard method for the detection of ventricular volumes and myocardial edema/scar. Transthoracic echocardiography (TTE) imaging is primarily used in the evaluation of cardiac functions and chamber dimensions. This study aims to investigate whether the chamber diameter measurements are concordant with each other in the same patient group who underwent TTE and CMR. The study included 41 patients who underwent TTE and CMR imaging. Ventricular and atrial diameter measurements from TTE-derived standard parasternal long axis and apical four-chamber views and CMR-derived three- and four-chamber views were recorded. The concordance between the two methods was compared using intra-class correlation coefficients (ICC) and Bland-Altman plots. Of the patients, 25 (61%) were male and the mean age was 48.12 ± 16.79. The mean ICC for LVDD between CMR observers was 0.957 (95% CI: 0.918-0.978), while the mean ICC between CMR and TTE measurements were 0.849 (95% CI: 0.709-0.922) and 0.836 (95% CI: 0.684-0.915), respectively. The mean ICC for the right ventricle between CMR observers was 0.985 (95% CI: 0.971-0.992), while the mean ICC between CMR and TTE measurements were 0.869 (95% CI: 0.755-0.930) and 0.892 (95% CI: 0.799-0.942), respectively. Passing-Bablok Regression and Bland-Altman plots indicated high concordance between the two methods. TTE and CMR indicated high concordance in chamber diameter measurements for which the CMR should be considered in patients for whom optimal evaluation with TTE could not be performed due to their limitations.

摘要

心脏磁共振(CMR)成像被认为是检测心室容积和心肌水肿/瘢痕的金标准方法。经胸超声心动图(TTE)成像主要用于评估心脏功能和心室尺寸。本研究旨在探讨 TTE 和 CMR 检查的同一患者组的腔径测量值是否相互一致。该研究纳入了 41 例行 TTE 和 CMR 成像的患者。记录 TTE 衍生的标准胸骨旁长轴和心尖四腔视图以及 CMR 衍生的三腔和四腔视图的心室和心房直径测量值。使用组内相关系数(ICC)和 Bland-Altman 图比较两种方法的一致性。患者中,25 例(61%)为男性,平均年龄为 48.12±16.79 岁。CMR 观察者之间的 LVDD 平均 ICC 为 0.957(95%CI:0.918-0.978),而 CMR 和 TTE 测量值之间的平均 ICC 分别为 0.849(95%CI:0.709-0.922)和 0.836(95%CI:0.684-0.915)。CMR 观察者之间右心室的平均 ICC 为 0.985(95%CI:0.971-0.992),而 CMR 和 TTE 测量值之间的平均 ICC 分别为 0.869(95%CI:0.755-0.930)和 0.892(95%CI:0.799-0.942)。Passing-Bablok 回归和 Bland-Altman 图表明两种方法具有高度一致性。TTE 和 CMR 在腔径测量方面具有高度一致性,对于因 TTE 局限性而无法进行最佳评估的患者,应考虑使用 CMR。

https://cdn.ncbi.nlm.nih.gov/pmc/blobs/ab9a/6631713/2431c74e6710/medicina-55-00260-g001.jpg

文献AI研究员

20分钟写一篇综述,助力文献阅读效率提升50倍。

立即体验

用中文搜PubMed

大模型驱动的PubMed中文搜索引擎

马上搜索

文档翻译

学术文献翻译模型,支持多种主流文档格式。

立即体验