Ningxia Key Laboratory of Clinical and Pathogenic Microbiology, General Hospital of Ningxia Medical University, Yinchuan, China.
Ningxia Key Laboratory of Cerebrocranial Diseases, Ningxia Medical University, Yinchuan, China.
Front Immunol. 2019 May 28;10:1185. doi: 10.3389/fimmu.2019.01185. eCollection 2019.
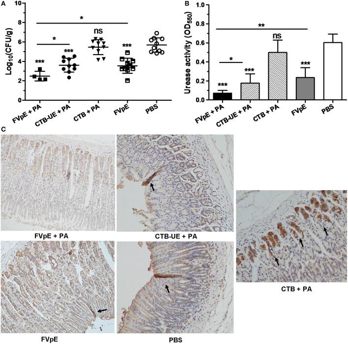
Urease is an effective target for design of a therapeutic epitope vaccine against (). In our previous studies, an epitope vaccine CTB-UE containing Th and B epitopes from urease was constructed, and the CTB-UE vaccine could provide therapeutic effect on infection in mice. However, a multivalent vaccine, combining different antigens participating in different aspects of colonization and pathogenesis, may be more effective as a therapeutic vaccine than a univalent vaccine targetting urease. Therefore, a multivalent epitope vaccine FVpE, containing Th1-type immune adjuvant NAP, three selected functional fragments from CagA and VacA, and an urease multi-epitope peptide (UE) from CTB-UE, was constructed in this study and expected to obtain better sterilizing immunity than the univalent epitope vaccine CTB-UE. The therapeutic effect of multivalent epitope vaccine FVpE with polysaccharide adjuvant (PA) was evaluated in -infected Mongolian gerbil model. The results showed that both FvpE and CTB-UE vaccine could induce similar levels of specific antibodies against urease, and had similar inhibition effect on urease activity. However, only FVpE could induce high levels of specific antibodies to CagA, VacA, and NAP. In addition, oral therapeutic immunization with FVpE plus PA significantly reduced the number of colonies in the stomach of Mongolian gerbils compared with oral immunization with CTB-UE plus PA, or FVpE only, and the FVpE vaccine with PA even exhibited sterilizing immunity. The protection of FVpE was related to the mixed CD4 T cell responses and epitope-specific antibodies against various antigens. These results indicate that a multivalent epitope vaccine targetting various antigens could be a promising candidate against infection.
脲酶是设计针对幽门螺杆菌()治疗性表位疫苗的有效靶点。在我们之前的研究中,构建了一种包含脲酶 Th 和 B 表位的 CTB-UE 表位疫苗,该 CTB-UE 疫苗可在小鼠感染中提供治疗效果。然而,与针对脲酶的单价疫苗相比,结合参与定植和发病机制不同方面的不同抗原的多价疫苗可能作为治疗性疫苗更有效。因此,本研究构建了一种包含 Th1 型免疫佐剂 NAP、三个从 CagA 和 VacA 中选择的功能片段以及来自 CTB-UE 的脲酶多表位肽(UE)的多价表位疫苗 FVpE,期望获得比单价表位疫苗 CTB-UE 更好的杀菌免疫。用多糖佐剂(PA)评价多价表位疫苗 FVpE 的治疗效果蒙古沙鼠感染模型。结果表明,FVpE 和 CTB-UE 疫苗均可诱导针对幽门螺杆菌脲酶的特异性抗体水平相似,对脲酶活性均有相似的抑制作用。然而,只有 FVpE 才能诱导针对 CagA、VacA 和 NAP 的高水平特异性抗体。此外,口服 FVpE 加 PA 治疗性免疫接种可显著降低蒙古沙鼠胃中幽门螺杆菌的菌落数,与口服 CTB-UE 加 PA 或仅 FVpE 免疫接种相比,FVpE 加 PA 疫苗甚至表现出杀菌免疫。FVpE 的保护作用与混合 CD4 T 细胞反应和针对各种幽门螺杆菌抗原的表位特异性抗体有关。这些结果表明,针对多种幽门螺杆菌抗原的多价表位疫苗可能是一种有前途的抗幽门螺杆菌感染候选物。