Suppr超能文献

鼻中隔内黏液囊肿作为鼻中隔鼻成形术翻修术的长期并发症:1例病例报告及对罕见病症的文献复习

Intraseptal Mucocele as a Long-term Complication of Revision Septorhinoplasty: A Case Report and Review of a Rare Entity.

作者信息

Rawl Jordan W, Rossi Nicholas A, Chaaban Mohamad R, Brindley Paul

机构信息

Department of Otolaryngology, University of Texas Medical Branch, Galveston, Texas.

School of Medicine, University of Texas Medical Branch, Galveston, Texas.

出版信息

Allergy Rhinol (Providence). 2019 May 29;10:2152656719845325. doi: 10.1177/2152656719845325. eCollection 2019 Jan-Dec.

Abstract

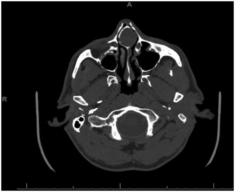
Paranasal sinus mucoceles are benign, expansive, cystic lesions which arise from retention of mucus secretions. They arise primarily in the setting of cystic degeneration of the sinus mucosa or secondarily in the setting of obstruction of the sinus ostium due to mucosal trauma or chronic inflammation. Septal mucoceles are rare. Only 10 cases to our knowledge have previously been reported. Patients are exclusively male, in their middle years, usually with a history of nasal trauma or nasal surgery. Nasal obstruction followed by headache present for 3 months to a year are the most common presenting symptoms. Here, we present a case of septal mucocele with dystrophic bone formation in a 57-year-old man arising 35 years after open septorhinoplasty treated successfully with total excision via an endoscopic, endoseptal approach. A review of the available literature was conducted to provide a consolidated update on diagnosis and management.

摘要

鼻窦黏液囊肿是一种良性、膨胀性、囊性病变,由黏液分泌物潴留引起。它们主要发生在鼻窦黏膜囊性退变的情况下,或继发于由于黏膜创伤或慢性炎症导致的鼻窦口阻塞。鼻中隔黏液囊肿罕见。据我们所知,此前仅报道过10例。患者均为中年男性,通常有鼻外伤或鼻手术史。鼻塞伴头痛3个月至1年是最常见的症状。在此,我们报告一例57岁男性鼻中隔黏液囊肿伴营养不良性骨形成的病例,该病例发生于开放性鼻中隔成形术35年后,通过内镜经鼻中隔入路成功进行了全切除。我们对现有文献进行了综述,以提供关于诊断和治疗的综合更新。

https://cdn.ncbi.nlm.nih.gov/pmc/blobs/f77e/6542106/452a8ca875e2/10.1177_2152656719845325-fig1.jpg

相似文献

1
Intraseptal Mucocele as a Long-term Complication of Revision Septorhinoplasty: A Case Report and Review of a Rare Entity.
Allergy Rhinol (Providence). 2019 May 29;10:2152656719845325. doi: 10.1177/2152656719845325. eCollection 2019 Jan-Dec.
2
The natural history and clinical characteristics of paranasal sinus mucoceles: a clinical review.
Int Forum Allergy Rhinol. 2013 Sep;3(9):712-7. doi: 10.1002/alr.21178. Epub 2013 May 20.
3
Endoscopic sinus surgery for maxillary sinus mucoceles.
Head Face Med. 2006 Sep 6;2:29. doi: 10.1186/1746-160X-2-29.
4
Paranasal mucoceles in children without cystic fibrosis: A case report.
J Family Med Prim Care. 2022 Oct;11(10):6560-6563. doi: 10.4103/jfmpc.jfmpc_649_22. Epub 2022 Oct 31.
5
Osteoplasty flap technique for repair of latent (30-year) post-traumatic frontal sinus mucocele: case report and review of the literature.
J Oral Maxillofac Surg. 2012 Sep;70(9):2092-6. doi: 10.1016/j.joms.2011.10.015. Epub 2012 Apr 26.
6
Frontal mucocele with intracranial extension causing frontal lobe syndrome.
Optom Vis Sci. 2015 Jun;92(6):e138-42. doi: 10.1097/OPX.0000000000000594.
7
Paranasal mucoceles in children with cystic fibrosis.
Int J Pediatr Otorhinolaryngol. 2005 Oct;69(10):1407-13. doi: 10.1016/j.ijporl.2005.03.037.
8
Paranasal sinus mucocele in cystic fibrosis.
Clin Pediatr (Phila). 1989 Sep;28(9):429-30. doi: 10.1177/000992288902800914.
9
[Maxillary mucocele after an orthognathic surgery: case report].
Medwave. 2017 Jan 16;17(1):e6841. doi: 10.5867/medwave.2017.01.6841.

引用本文的文献

1
Uncommon Nasal Mass Presentation: A Radiological Case Series.
J Pers Med. 2024 Dec 9;14(12):1145. doi: 10.3390/jpm14121145.
2
Nasal Septal Mucocele Causing Saddle Nose Deformity.
Perm J. 2022 Jun 29;26(2):144-148. doi: 10.7812/TPP/21.128. Epub 2022 Jun 15.

本文引用的文献

2
Radiology quiz case 2. Diagnosis: intraseptal mucocele.
JAMA Otolaryngol Head Neck Surg. 2013 Jun;139(6):647-8. doi: 10.1001/jamaoto.2013.3179a.
3
Assessment of mucocele formation after endoscopic nasoseptal flap reconstruction of skull base defects.
Allergy Rhinol (Providence). 2013 Spring;4(1):e27-31. doi: 10.2500/ar.2013.4.0050.
4
Mucocele formation under pedicled nasoseptal flap.
Am J Otolaryngol. 2012 Sep-Oct;33(5):634-6. doi: 10.1016/j.amjoto.2012.05.003. Epub 2012 Jul 6.
5
Atypical presentation of primary giant nasal septal mucopyocele.
J Craniofac Surg. 2012 Jan;23(1):e5-7. doi: 10.1097/SCS.0b013e3182420711.
6
Pneumatization of perpendicular plate of the ethmoid bone and nasal septal mucocele.
Acta Otolaryngol. 2004 Mar;124(2):221-2. doi: 10.1080/00016480310015849.
7
Mucocele of the nasal septum.
J Otolaryngol. 2002 Aug;31(4):246-7. doi: 10.2310/7070.2002.21184.
9
Endoscopic management of 108 sinus mucoceles.
Laryngoscope. 2001 Dec;111(12):2131-4. doi: 10.1097/00005537-200112000-00009.
10
Mucoceles of the paranasal sinuses: uncommon location.
J Laryngol Otol. 1998 Sep;112(9):840-4. doi: 10.1017/s0022215100141854.

文献AI研究员

20分钟写一篇综述,助力文献阅读效率提升50倍。

立即体验

用中文搜PubMed

大模型驱动的PubMed中文搜索引擎

马上搜索

文档翻译

学术文献翻译模型,支持多种主流文档格式。

立即体验