Suppr超能文献

血液自有通路:胸部侧支血管的影像学综述

Blood finds a way: pictorial review of thoracic collateral vessels.

作者信息

Marini Thomas J, Chughtai Komal, Nuffer Zachary, Hobbs Susan K, Kaproth-Joslin Katherine

机构信息

Department of Imaging Sciences, University of Rochester Medical Center, University of Rochester, 601 Elmwood Ave, Box 648, Rochester, NY, 14642, United States.

出版信息

Insights Imaging. 2019 Jun 13;10(1):63. doi: 10.1186/s13244-019-0753-3.

Abstract

In the healthy patient, blood returns to the heart via classic venous pathways. Obstruction of any one of these pathways will result in blood flow finding new collateral pathways to return to the heart. Although significant anatomic variation exists and multiple collateral vessels are often present in the same patient, it is a general rule that the collateral pathways formed are a function of the site of venous blockage. Therefore, knowledge of typical collateral vessel systems can provide insight in localizing venous obstruction and characterizing its severity and chronicity. In addition, knowledge of collateral anatomy can be essential in interventional procedural and/or surgical planning, especially when placing catheters in patients with venous blockage. In this pictorial review, we provide a systematic approach to understanding collateral pathways in patients with venous obstruction in the upper body.

摘要

在健康患者中,血液通过经典静脉途径回流至心脏。这些途径中任何一条受阻都会导致血流寻找新的侧支途径回流至心脏。尽管存在显著的解剖变异,且同一患者体内常存在多条侧支血管,但一般规律是,形成的侧支途径取决于静脉阻塞的部位。因此,了解典型的侧支血管系统有助于定位静脉阻塞并判断其严重程度和慢性化情况。此外,了解侧支解剖结构对于介入操作和/或手术规划至关重要,尤其是在为静脉阻塞患者放置导管时。在本图文综述中,我们提供了一种系统方法,用于理解上身静脉阻塞患者的侧支途径。

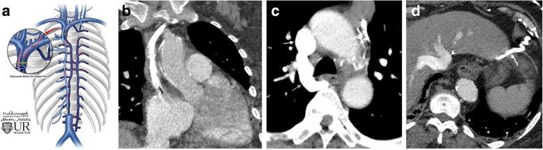
https://cdn.ncbi.nlm.nih.gov/pmc/blobs/fb2f/6565786/4c060c82d70c/13244_2019_753_Fig1_HTML.jpg

文献AI研究员

20分钟写一篇综述,助力文献阅读效率提升50倍。

立即体验

用中文搜PubMed

大模型驱动的PubMed中文搜索引擎

马上搜索

文档翻译

学术文献翻译模型,支持多种主流文档格式。

立即体验