Department of Immunology, School of Basic Medical Sciences, Southern Medical University, Guangzhou, China.
Geriatrics Center, General Hospital of Southern Theater Command, PLA, Guangzhou, China.
Front Immunol. 2019 Jun 4;10:1239. doi: 10.3389/fimmu.2019.01239. eCollection 2019.
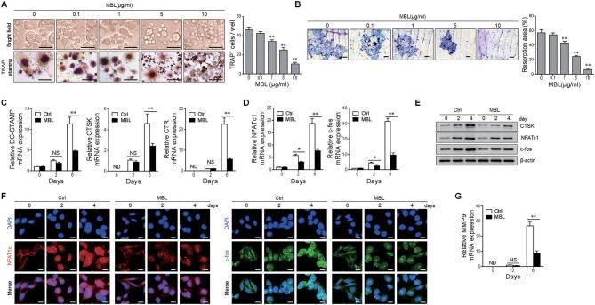
Mannan-binding lectin (MBL) is a vital element in the host innate immune system, which is primarily produced by the liver and secreted into the circulation. Low serum level of MBL is reported to be associated with an increased risk of arthritis. However, the underlying mechanism by which MBL contributes to the pathogenesis of arthritis is poorly understood. In this study, we investigated the precise role of MBL on the course of experimental murine adjuvant-induced arthritis (AIA). MBL-deficient (MBL) AIA mice showed significantly increased inflammatory responses compared with wild-type C57BL/6 AIA mice, including exacerbated cartilage damage, enhanced histopathological features and high level of tartrate-resistant acid phosphatase (TRAP)-positive cells. MBL protein markedly inhibited the osteoclast formation from human blood monocytes induced by receptor activator of nuclear factor-κB ligand (RANKL) and macrophage colony-stimulating factor (M-CSF) . Mechanistic studies established that MBL inhibited osteoclast differentiation down-regulation of p38 signaling pathway and subsequent nuclear translocation of c-fos as well as activation of nuclear factor of activated T-cells c1 (NFATc1) pathway. Importantly, we have provided the evidence that concentrations of MBL correlated negatively with the serum levels of amino-terminal propeptide of type I procollagen (PINP) and C-terminal telopeptide of type I collagen (β-CTX), serum markers of bone turnover, in patients with arthritis. Our study revealed an unexpected function of MBL in osteoclastogenesis, thus providing new insight into inflammatory arthritis and other bone-related diseases in patients with MBL deficiency.
甘露聚糖结合凝集素 (MBL) 是宿主固有免疫系统的重要组成部分,主要由肝脏产生并分泌到循环中。低血清 MBL 水平与关节炎风险增加相关。然而,MBL 促进关节炎发病机制的潜在机制尚未完全了解。在这项研究中,我们研究了 MBL 在实验性鼠佐剂诱导关节炎 (AIA) 中的确切作用。与野生型 C57BL/6 AIA 小鼠相比,MBL 缺陷 (MBL) AIA 小鼠表现出明显增强的炎症反应,包括更严重的软骨损伤、增强的组织病理学特征和高浓度抗酒石酸酸性磷酸酶 (TRAP) 阳性细胞。MBL 蛋白显著抑制核因子-κB 受体激活物配体 (RANKL) 和巨噬细胞集落刺激因子 (M-CSF) 诱导的人外周血单核细胞来源的破骨细胞形成。机制研究表明,MBL 通过下调 p38 信号通路和随后的 c-fos 核易位以及激活 T 细胞激活核因子 c1 (NFATc1) 途径来抑制破骨细胞分化。重要的是,我们提供了证据表明,MBL 浓度与关节炎患者血清Ⅰ型前胶原氨基端肽 (PINP) 和Ⅰ型胶原 C 端肽 (β-CTX) 的血清水平呈负相关,这些标志物是骨转换的血清标志物。我们的研究揭示了 MBL 在破骨细胞发生中的意想不到的作用,从而为 MBL 缺乏症患者的炎症性关节炎和其他与骨骼相关的疾病提供了新的见解。