Silvanto A, Balamurugan T, Bagwan I N
Departments of Histopathology, Surrey Pathology Services, Frimley Park and Royal Surrey County Hospitals, Guildford, UK.
Pathologica. 2019 Mar;111(1):24-30. doi: 10.32074/1591-951X-41-17.
Adenocarcinoma involving the pancreas shows differences in prognostic parameters including resection margin status depending on subtype.
To assess the reported incidence of each type and the rate of R1 resection using detailed histopathological examination protocol.
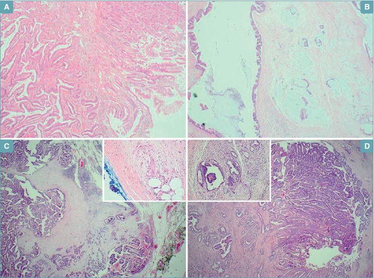
All pancreaticoduodenectomies between June 2011 and June 2013 at our institute were analysed. These were classified according to the site of origin, R1 status, size, stage at resection, lymph node status and the rate of lymphovascular and perineural invasion.
58 adenocarcinomas included 23 ductal, 16 intraductal papillary mucinous neoplasm (IPMN) related, 8 duodenal, 7 ampullary and 4 distal common bile duct (CBD) tumours. The CBD, pancreatic ductal and IPMN-related adenocarcinomas had the highest rates of R1 resection, at 75%, 69.5 and 62.5%, with the posterior and SMV margins most frequently involved. Ampullary adenocarcinoma had lower rates of R1 resection (14%) as well as perineural invasion (0%).
Ampullary adenocarcinomas had a lower rate of R1 resection and perineural invasion, both of which are parameters associated with a poorer outcome. This correlates with literature indicating ampullary tumours have a better prognosis. Our study also highlights the high rate of detection of microscopic margin involvement when a detailed histopathological examination protocol is employed.
累及胰腺的腺癌在预后参数方面存在差异,包括切除边缘状态,具体取决于亚型。
使用详细的组织病理学检查方案评估每种类型的报告发病率和R1切除率。
分析了2011年6月至2013年6月在我院进行的所有胰十二指肠切除术。这些病例根据起源部位、R1状态、大小、切除时的分期、淋巴结状态以及淋巴管和神经周围侵犯率进行分类。
58例腺癌包括23例导管腺癌、16例导管内乳头状黏液性肿瘤(IPMN)相关腺癌、8例十二指肠腺癌、7例壶腹腺癌和4例远端胆总管(CBD)肿瘤。CBD、胰腺导管和IPMN相关腺癌的R1切除率最高,分别为75%、69.5%和62.5%,最常累及后方和肠系膜上静脉切缘。壶腹腺癌的R1切除率(14%)和神经周围侵犯率(0%)较低。
壶腹腺癌的R1切除率和神经周围侵犯率较低,而这两个参数均与较差的预后相关。这与文献表明壶腹肿瘤预后较好相符。我们的研究还强调,采用详细的组织病理学检查方案时,显微镜下切缘受累的检出率较高。