Rieger Juliane, Drewes Barbara, Hünigen Hana, Plendl Johanna
Department of Veterinary Medicine, Institute of Veterinary Anatomy, Freie Universität Berlin.
Eur J Histochem. 2019 Jun 24;63(2):3030. doi: 10.4081/ejh.2019.3030.
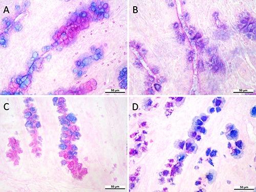
Mucins are of great interest in intestinal research and histochemical methods are often employed to identify them. Since it is in the nature of mucins that they are "hard to hold onto" once they come into contact with water, a frequently used medium in histochemistry, there are a number of challenges that may decrease diagnostic accuracy. As the outcome of methods published for microscopic detection of mucosubstances proved to be unsatisfactory in our hands, the aim was the establishment of a reliable and reproducible protocol. Tissue samples were available from pig feeding experiments. In the present study, we focus on a fixation / staining procedure without making comparisons between differently fed pigs. Several fixation and staining procedures were evaluated for their use in semiautomatic quantification and quality assessment of different mucus fractions simultaneous on one tissue section. Cryostat sectioning, subsequent fixation steps with heat, ethanol and modified Bouin's solution, followed by triple staining with high iron diamine, alcian blue and periodic acid-Schiff turned out to be the best method to identify sulfomucin, sialomucin and neutral mucin simultaneous on one tissue section. This methodology resulted in very good morphology of goblet cells with intact mucin containing vesicles within the cells, which was comparable to ultrastructural electron microscopical observations. Semiautomatic quantification of different mucins was possible. In conclusion, reliable mucus quantification and assessment of mucus quality requires strictly tested procedures. According to our experience, the most important aim after cryosectioning is fast fixation of the mucosubstances, which requires a combination of different fixation steps.
粘蛋白在肠道研究中备受关注,组织化学方法常被用于识别它们。由于粘蛋白一旦与组织化学中常用的介质水接触就“难以保留”,因此存在一些可能降低诊断准确性的挑战。由于我们发现已发表的用于微观检测粘膜物质的方法结果不尽人意,我们的目标是建立一种可靠且可重复的方案。组织样本来自猪饲养实验。在本研究中,我们专注于一种固定/染色程序,而不比较不同喂养方式的猪。我们评估了几种固定和染色程序在半自动定量和质量评估同一组织切片上不同粘液成分的应用。冷冻切片、随后用加热、乙醇和改良的波因氏液进行固定步骤,然后用高铁二胺、阿尔辛蓝和过碘酸希夫氏进行三重染色,结果证明是在同一组织切片上同时识别硫酸粘蛋白、唾液酸粘蛋白和中性粘蛋白的最佳方法。这种方法使杯状细胞具有非常好的形态,细胞内含有完整的含粘蛋白小泡,这与超微结构电子显微镜观察结果相当。对不同粘蛋白进行半自动定量是可行的。总之,可靠的粘液定量和粘液质量评估需要经过严格测试的程序。根据我们的经验,冷冻切片后最重要的目标是快速固定粘膜物质,这需要结合不同的固定步骤。