Suppr超能文献

表皮调节素通过 JAK2-STAT3 通路重编程癌相关成纤维细胞,促进口腔鳞状细胞癌侵袭。

Epiregulin reprograms cancer-associated fibroblasts and facilitates oral squamous cell carcinoma invasion via JAK2-STAT3 pathway.

机构信息

Department of Oral & Maxillofacial Surgery Nanjing Stomatological Hospital, Medical School of Nanjing University, 30 Zhongyang Road, Nanjing, 210008, China.

Central Laboratory Nanjing Stomatological Hospital, Medical School of Nanjing University, 30 Zhongyang Road, Nanjing, 210008, China.

出版信息

J Exp Clin Cancer Res. 2019 Jun 24;38(1):274. doi: 10.1186/s13046-019-1277-x.

Abstract

BACKGROUND

Local resident normal fibroblasts (NFs) are the major source of cancer-associated fibroblasts (CAFs), which are distinguishable from NFs by their tumor-supportive properties. However, the mechanism and the effects underlying the transition of NFs to CAFs in oral squamous cell carcinoma (OSCC) remain unclear.

METHODS

Five pairs of matching primary NFs and CAFs derived from OSCC patients were sent for RNA sequencing. Epiregulin (EREG) expression was analyzed by IHC in fibroblasts from OSCC patients. The role of EREG in the NF-CAF transition and the consequential effects on OSCC progression were examined by upregulation/downregulation of EREG in NFs/CAFs both in vitro and in vivo.

RESULTS

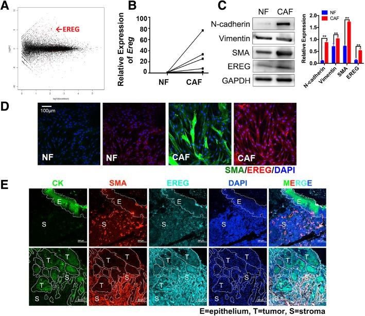
Here, we identified epiregulin (EREG) as the most remarkably upregulated gene in CAFs. High EREG expression in CAFs correlated with higher T stage, deeper invasion and inferior worst pattern of invasion (WPOI) in OSCC patients and predicted shorter overall survival. Overexpression of EREG in NFs activated the CAF phenotype. Mechanistically, the JAK2/STAT3 pathway was enhanced by EREG in parallel with increased IL-6 expression, which could be inhibited by the JAK2 inhibitor AG490. Recombinant IL-6 upregulated the JAK2/STAT3/EREG pathway in a feedback loop. Moreover, EREG-induced CAF activation promoted the epithelial-mesenchymal transition (EMT) necessary for migration and invasion, which was dependent on JAK2/STAT3 signaling and IL-6. In vivo, EREG expression in stroma fibroblasts promoted tumor growth with high stromal α-SMA, phospho-JAK2/STAT3, and IL-6 expression and upregulated EMT in HSC3 cells.

CONCLUSIONS

EREG is essential for the NF-CAF transformation needed to induce EMT of tumor cells in a JAK2-STAT3- and IL-6-dependent manner in OSCC.

摘要

背景

局部常驻正常成纤维细胞(NFs)是癌相关成纤维细胞(CAFs)的主要来源,CAFs 与 NFs 不同,具有支持肿瘤的特性。然而,口腔鳞状细胞癌(OSCC)中 NFs 向 CAFs 转化的机制和影响仍不清楚。

方法

将 5 对来自 OSCC 患者的配对原发性 NFs 和 CAFs 进行 RNA 测序。免疫组化分析 OSCC 患者成纤维细胞中表皮调节素(EREG)的表达。通过上调/下调 NFs/CAFs 中的 EREG,在体外和体内研究 EREG 在 NF-CAF 转化中的作用及其对 OSCC 进展的影响。

结果

在这里,我们确定表皮调节素(EREG)是 CAFs 中表达上调最显著的基因。CAFs 中高 EREG 表达与 OSCC 患者的更高 T 分期、更深侵袭和更差的侵犯模式(WPOI)相关,预测总生存期更短。EREG 在 NFs 中的过表达激活了 CAF 表型。在机制上,EGER 平行增强 JAK2/STAT3 通路,同时增加 IL-6 表达,这可被 JAK2 抑制剂 AG490 抑制。重组 IL-6 在反馈回路中上调 JAK2/STAT3/EREG 通路。此外,EGER 诱导的 CAF 激活促进了迁移和侵袭所必需的上皮-间充质转化(EMT),这依赖于 JAK2/STAT3 信号和 IL-6。在体内,基质成纤维细胞中 EREG 的表达促进肿瘤生长,伴有高基质 α-SMA、磷酸化-JAK2/STAT3 和 IL-6 表达,并上调 HSC3 细胞中的 EMT。

结论

EGER 对于 NF-CAF 转化至关重要,这种转化以 JAK2-STAT3-和 IL-6 依赖的方式诱导 OSCC 中肿瘤细胞的 EMT。

https://cdn.ncbi.nlm.nih.gov/pmc/blobs/a417/6591968/f6bfecb38a98/13046_2019_1277_Fig1_HTML.jpg

文献AI研究员

20分钟写一篇综述,助力文献阅读效率提升50倍。

立即体验

用中文搜PubMed

大模型驱动的PubMed中文搜索引擎

马上搜索

文档翻译

学术文献翻译模型,支持多种主流文档格式。

立即体验