Suppr超能文献

习惯性睡眠时间和主观睡眠质量可预测人类大脑白质差异。

Habitual sleep durations and subjective sleep quality predict white matter differences in the human brain.

作者信息

Khalsa Sakh, Hale Joanne R, Goldstone Aimee, Wilson Rebecca S, Mayhew Stephen D, Bagary Manny, Bagshaw Andrew P

机构信息

Centre for Human Brain Health and School of Psychology, University of Birmingham, Birmingham, UK.

Department of Neuropsychiatry, The Barberry National Centre for Mental Health, Birmingham, UK.

出版信息

Neurobiol Sleep Circadian Rhythms. 2017 Mar 20;3:17-25. doi: 10.1016/j.nbscr.2017.03.001. eCollection 2017 Jun.

Abstract

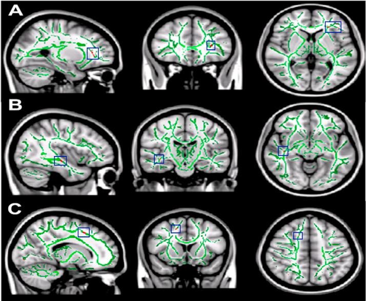
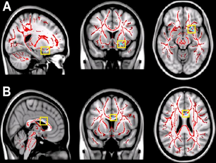
Self-imposed short sleep durations are increasingly commonplace in society, and have considerable health and performance implications for individuals. Reduced sleep duration over multiple nights has similar behavioural effects to those observed following acute total sleep deprivation, suggesting that lack of sleep affects brain function cumulatively. A link between habitual sleep patterns and functional connectivity has previously been observed, and the effect of sleep duration on the brain's intrinsic functional architecture may provide a link between sleep status and cognition. However, it is currently not known whether differences in habitual sleep patterns across individuals are related to changes in the brain's white matter, which underlies structural connectivity. In the present study we use diffusion-weighted imaging and a group comparison application of tract based spatial statistics (TBSS) to investigate changes to fractional anisotropy (FA) and mean diffusivity (MD) in relation to sleep duration and quality, hypothesising that white matter metrics would be positively associated with sleep duration and quality. Diffusion weighted imaging data was acquired from a final cohort of 33 (23-29 years, 10 female, mean 25.4 years) participants. Sleep patterns were assessed for a 14 day period using wrist actigraphs and sleep diaries, and subjective sleep quality with the Pittsburgh Sleep Quality Index (PSQI). Median splits based on total sleep time and PSQI were used to create groups of shorter/longer and poorer/better sleepers, whose imaging data was compared using TBSS followed by post-hoc correlation analysis in regions identified as significantly different between the groups There were significant positive correlations between sleep duration and FA in the left orbito-frontal region and the right superior corona radiata, and significant negative correlations between sleep duration and MD in right orbito-frontal white matter and the right inferior longitudinal fasciculus. Improved sleep quality was positively correlated with FA in left caudate nucleus, white matter tracts to the left orbito-frontal region, the left anterior cingulum bundle and the white matter tracts associated with the right operculum and insula, and negatively correlated with MD in left orbito-frontal white matter and the left anterior cingulum bundle. Our findings suggest that reduced cumulative total sleep time (cTST) and poorer subjective sleep quality are associated with subtle white matter micro-architectural changes. The regions we identified as being related to habitual sleep patterns were restricted to the frontal and temporal lobes, and the functions they support are consistent with those which have previously been demonstrated as being affected by short sleep durations (e.g., attention, cognitive control, memory). Examining how inter-individual differences in brain structure are related to habitual sleep patterns could help to shed light on the mechanisms by which sleep habits are associated with brain function, behaviour and cognition, as well as potentially the networks and systems responsible for variations in sleep patterns themselves.

摘要

自我设定的短睡眠时间在社会中越来越普遍,对个人的健康和表现有相当大的影响。多个晚上睡眠时长减少所产生的行为影响,与急性完全睡眠剥夺后观察到的影响相似,这表明睡眠不足会累积影响大脑功能。此前已观察到习惯性睡眠模式与功能连接之间存在联系,而睡眠时间对大脑内在功能结构的影响可能为睡眠状态与认知之间提供一种联系。然而,目前尚不清楚个体之间习惯性睡眠模式的差异是否与大脑白质的变化有关,而白质是结构连接的基础。在本研究中,我们使用扩散加权成像和基于束的空间统计学(TBSS)的组间比较应用,来研究分数各向异性(FA)和平均扩散率(MD)与睡眠时间和质量相关的变化,假设白质指标与睡眠时间和质量呈正相关。扩散加权成像数据是从33名(年龄在23 - 29岁之间,10名女性,平均25.4岁)参与者的最终队列中获取的。使用腕部活动记录仪和睡眠日记对睡眠模式进行了为期14天的评估,并使用匹兹堡睡眠质量指数(PSQI)评估主观睡眠质量。基于总睡眠时间和PSQI的中位数分割用于创建短/长睡眠者和差/好睡眠者组,对他们的成像数据使用TBSS进行比较,随后在组间差异显著的区域进行事后相关分析。睡眠时间与左侧眶额区域和右侧放射冠上部的FA之间存在显著正相关,而睡眠时间与右侧眶额白质和右侧下纵束的MD之间存在显著负相关。睡眠质量改善与左侧尾状核、连接至左侧眶额区域的白质束、左侧前扣带回束以及与右侧岛盖和脑岛相关的白质束中的FA呈正相关,与左侧眶额白质和左侧前扣带回束中的MD呈负相关。我们的研究结果表明,累积总睡眠时间(cTST)减少和主观睡眠质量较差与白质微观结构的细微变化有关。我们确定的与习惯性睡眠模式相关的区域局限于额叶和颞叶,它们所支持的功能与先前已证明受短睡眠时间影响的功能(如注意力、认知控制、记忆)一致。研究大脑结构的个体差异如何与习惯性睡眠模式相关,有助于阐明睡眠习惯与大脑功能、行为和认知相关的机制,以及潜在地揭示负责睡眠模式变化的网络和系统。

https://cdn.ncbi.nlm.nih.gov/pmc/blobs/da04/6575574/cffee648e797/gr1.jpg

文献AI研究员

20分钟写一篇综述,助力文献阅读效率提升50倍。

立即体验

用中文搜PubMed

大模型驱动的PubMed中文搜索引擎

马上搜索

文档翻译

学术文献翻译模型,支持多种主流文档格式。

立即体验